全顎矯正治療例1 of 浜松市 矯正審美歯科センター

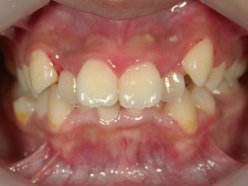
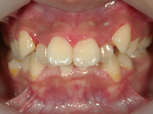
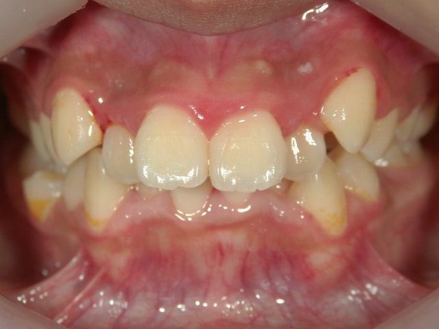
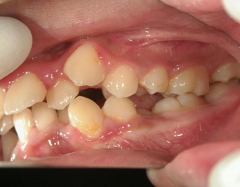
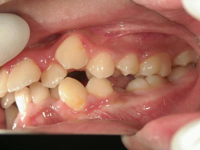
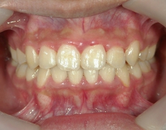
矯正歯科 治療前矯正歯科 治療前

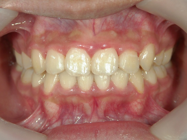
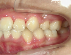
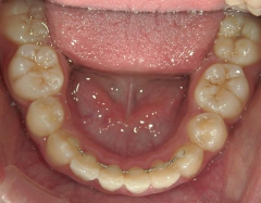
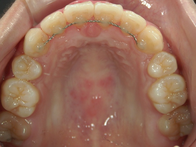
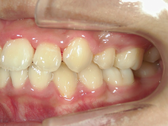
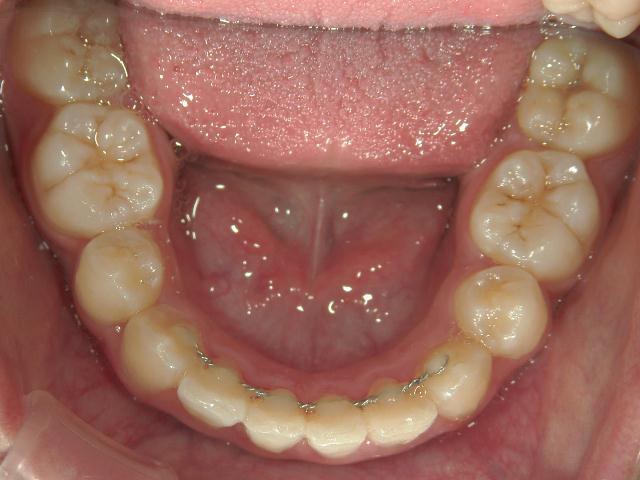
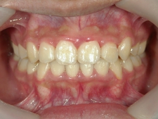
矯正歯科 治療後矯正歯科 全顎ワイヤー矯正 治療後矯正歯科(全顎ワイヤー矯正)治療後

全顎ワイヤー矯正 症例(1)

14歳女性 浜松市中区在住
治療期間1年5ヶ月

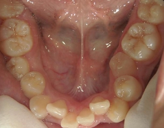
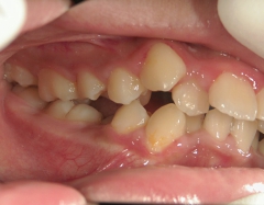
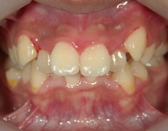
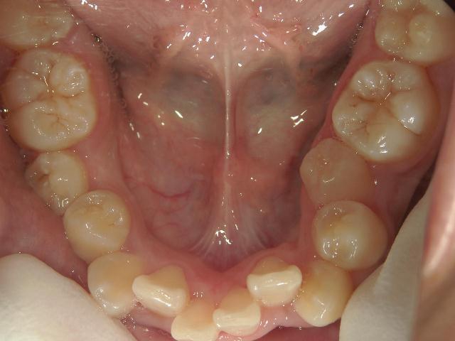
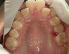
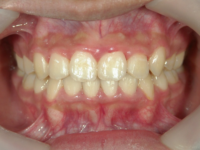
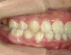
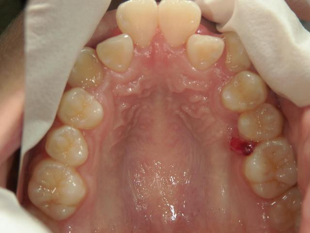
矯正歯科 治療前 
矯正_灰色.pngno.4_1219_治療前_上_01.jpg矯正_灰色.png

no.4_1219_治療前_右_01.jpgno.4_1219_治療前_正面_01.jpgno.4_1219_治療前_左_01.jpg

矯正_灰色.pngno.4_1219_治療前_下_01.jpg矯正_灰色.png

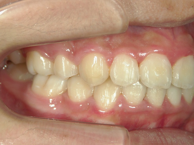
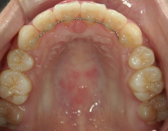
矯正歯科 治療後 

矯正_灰色.pngno.4_1219_治療後_上_01.jpg矯正_灰色.png

no.4_1219_治療後_右_01.jpgno.4_1219_治療後_正面_01.jpgno.4_1219_治療後_左_01.jpg

矯正_灰色.pngno.4_1219_治療後_下_01.jpg矯正_灰色.png