全顎矯正治療例2 of 浜松市 矯正審美歯科センター
Top
透明マウスピース矯正
治療例
クリニック
予約
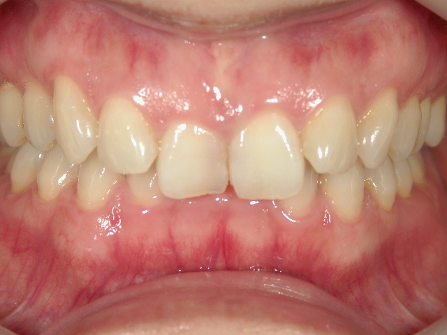
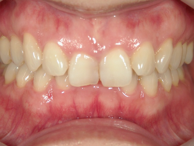
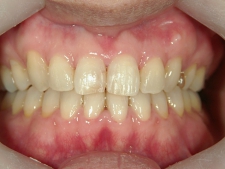
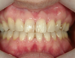
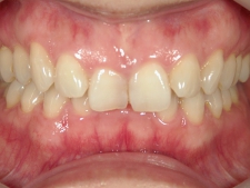
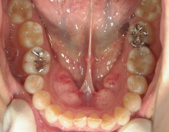
矯正歯科 治療前
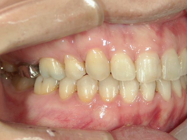
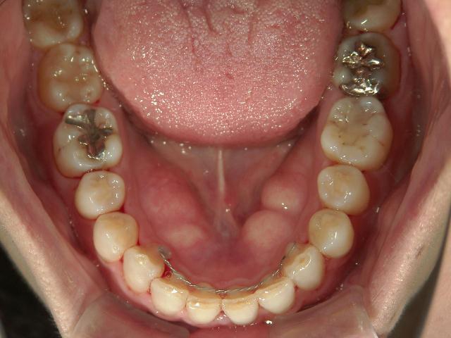
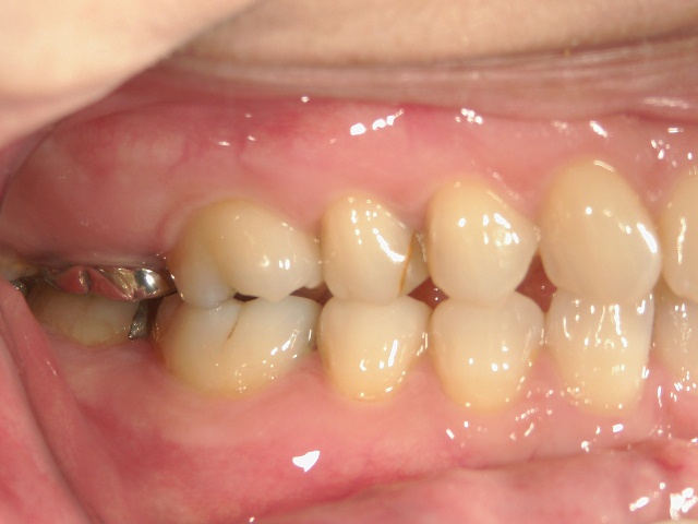
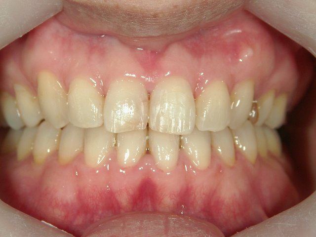
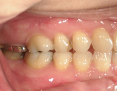
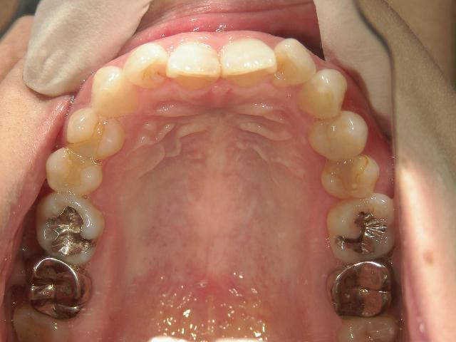
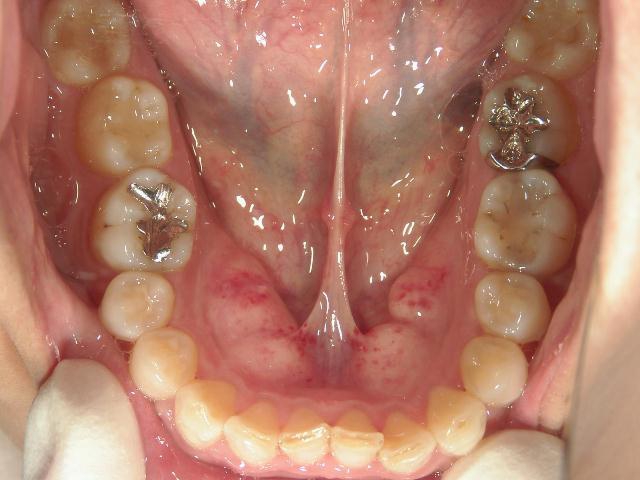
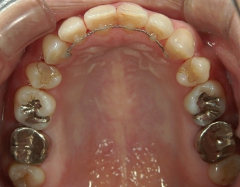
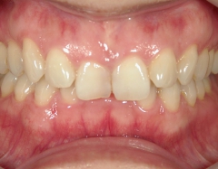
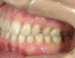
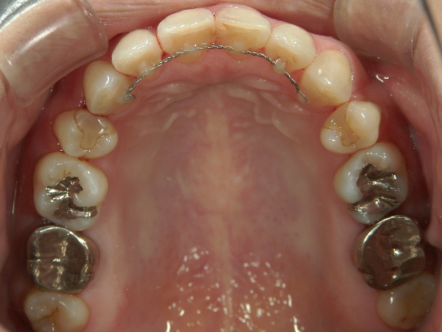
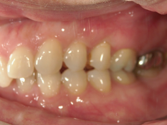
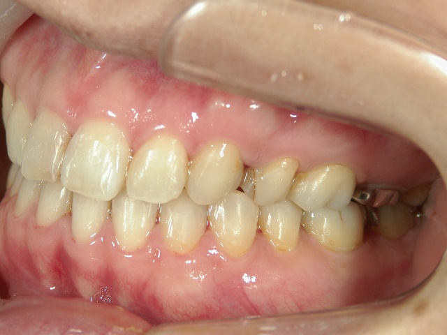
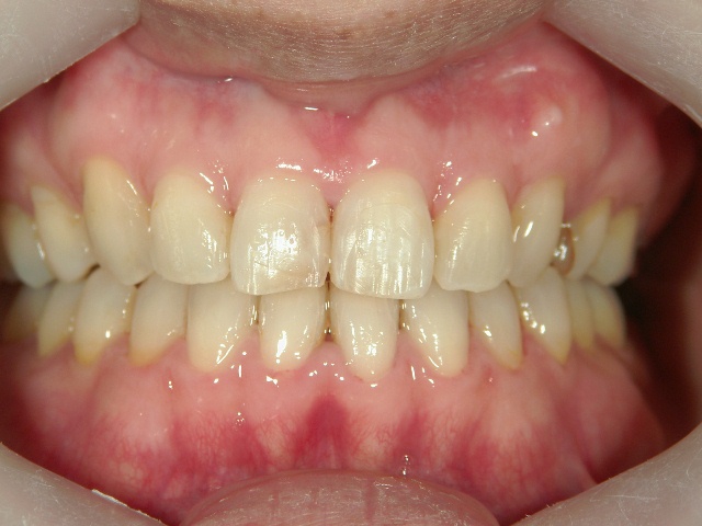
矯正歯科(全顎ワイヤー矯正)治療後
全顎ワイヤー矯正 症例(2)
36歳女性 磐田市
在住
治療期間2年6
ヶ月
全顎矯正治療例1
全顎矯正治療例3
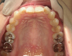
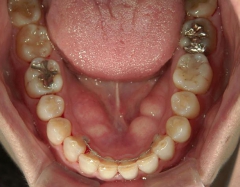
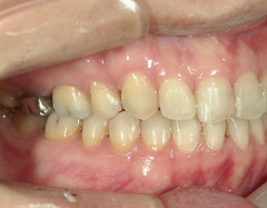
矯正歯科 治療前
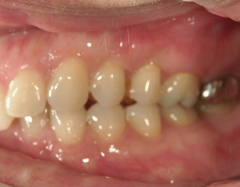
矯正歯科 治療後
全顎矯正治療例1
HOME
全顎矯正治療例3
ページトップへ