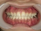
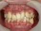
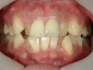
全顎ワイヤー矯正
歯並びとともに咬み合わせを正常にする治療です。すべての歯にブラケットという器具をつけ、そこにワイヤーを通し、少しずつ歯並びを改善する一般的な治療法です。
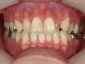
14歳女性・浜松市中区在住。
| |
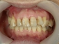
36歳女性・磐田市在住。
| |
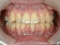
28歳女性・浜松市中区在住。外科手術併用
| |
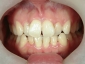
30歳女性・浜松市浜北区在住。
| |
20歳女性・浜松市東区在住。
| |
58歳女性・浜松市浜北区在住。
| |
28歳女性・浜松市西区在住。
| |
54歳女性・浜松市東区在住。
| |
18歳女性・浜松市中区在住。
| |
25歳女性・浜松市中区在住。
| |
54歳女性・浜松市東区在住。
|
46歳男性・浜松市浜北区在住。
| |
33歳男性・浜松市東区在住。
| |
33歳男性・浜松市東区在住。
| |
26歳女性・浜松市南区在住。
| |
16歳男性・浜松市南区在住。
| |
12歳女性・浜松市中区在住。
| |
30歳女性・浜松市北区在住。
| |
26歳女性・浜松市西区在住。
| |
24歳女性・浜松市中区在住。
| |
26歳女性・浜松市浜北区在住。
| |
35歳女性・浜松市浜北区在住。
|
























