矯正歯科 治療例
矯正治療を行うと、気になる歯列の凸凹やすき間等を改善し、見た目の美しさはもちろん、虫歯や歯周病になりにくい健康な歯並びを作り、頭痛・肩こりなどの改善にも効果的です。
※写真は矯正治療前のものです。矯正治療によってどのように改善されたか、詳しくは各ページをご覧ください。
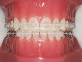
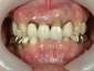
全顎ワイヤー矯正

![]()
歯の表面に2~5㎜程度のブラケットという装置をつけて、そこにワイヤーを通すことで歯の位置を移動させる治療です。全顎(奥歯から奥歯まですべての歯)に装置を装着し、すべての不正咬合から噛み合わせまで改善することができます。全体の歯を移動させる為、治療期間は1年半~3年かかります。
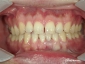
プチワイヤー矯正

![]()
治療法はワイヤー矯正と基本的に同じですが、プチワイヤー矯正は動かす歯を前歯のみに限定し、小臼歯から小臼歯までの計8本に装置を装着し前歯のみを矯正します。歯の移動距離が少なくすむため、治療期間は約6ヶ月~1年程と短期間です。スペースがなく抜歯を必要とする症例には適しません。
19歳女性・浜松市中区在住。上顎のみ
| |
64歳女性・浜松市東区在住。下顎のみ
|
61歳女性・新城市在住。下顎のみ
|
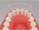
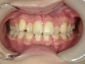
アクアシステム(透明マウスピース矯正)

![]()
透明で目立たず、取り外しができるマウスピースをつかった矯正治療です。アクアフレームと呼ばれる透明のプラスチック製のフレームを歯列にかぶせ、フレーム1枚につき約0.2㎜から0.5㎜ずつ歯を動かす仕組みで、歯の動きに合わせてその都度フレームを付け替えていきます。一日20時間装着で、治療期間は約半年から1年、通院は3週間に1回が基本です。 矯正できるのは前歯のみで、抜歯を必要とする症例には適しません。
28歳女性・浜松市中区在住。上顎アクアシステム(マウスピース)矯正
| |
19歳男性・浜松市中区在住。上顎アクアシステム(マウスピース)矯正
|
34歳男性・浜松市北区在住。上顎アクアシステム(マウスピース)矯正
|
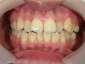
舌側ワイヤー矯正

![]()
ブラケットやワイヤーなど、矯正装置をすべて歯の裏側(舌側)につけ、矯正装置が全く人目に触れないようにする方法です。費用は通常の矯正よりも割高ですが、動かす歯を前歯のみに限定するプチワイヤー舌側矯正を選択することによりお手頃な価格で治療することも可能です。裏側からの治療は、上顎前突、開咬の方に特に効果的です。装置が裏側につくため、はじめは一時的に滑舌が悪くなりやすいです。
35歳男性・浜松市中区在住。上顎舌側プチワイヤー矯正
| |
14歳女性・袋井市在住。アクアシステム→上顎舌側プチワイヤー矯正
|
23歳女性・浜松市西区在住。上顎舌側プチワイヤー矯正
| |
22歳女性・浜松市西区在住。上顎舌側プチワイヤー矯正
|




















