スタッフ矯正体験談

全顎ワイヤー矯正
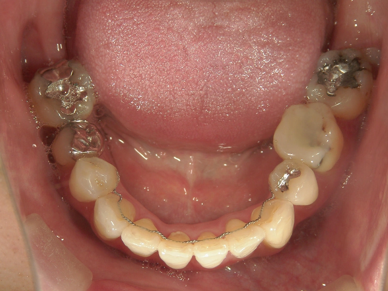
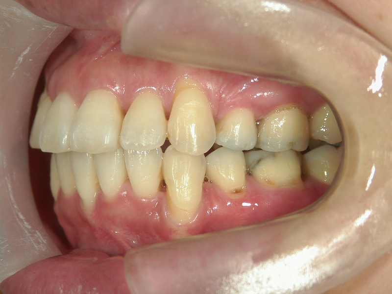
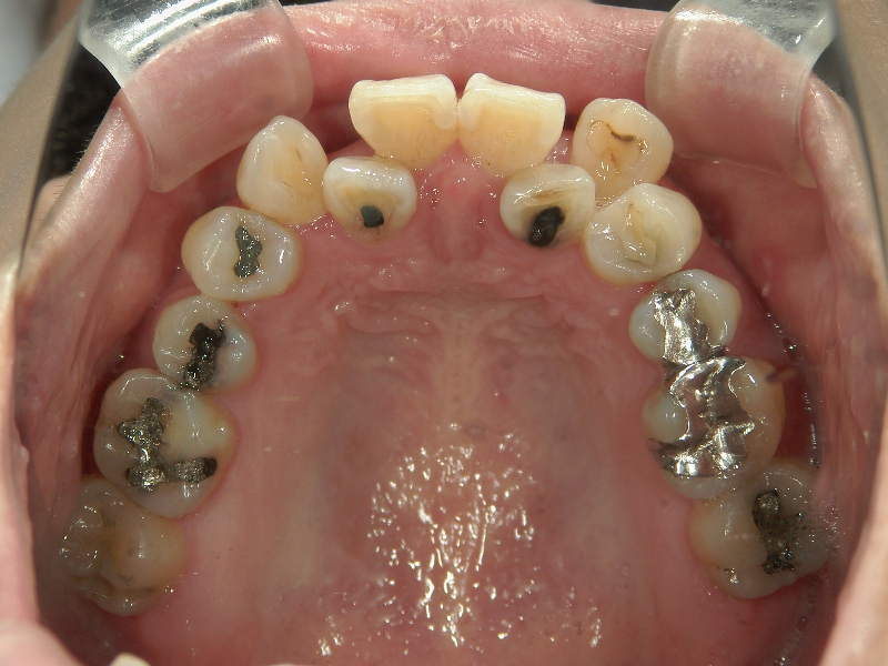
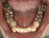
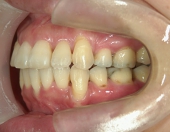
治療期間:2年2カ月
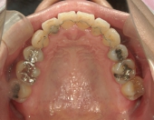
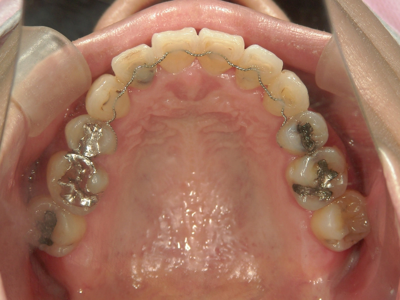
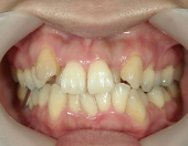
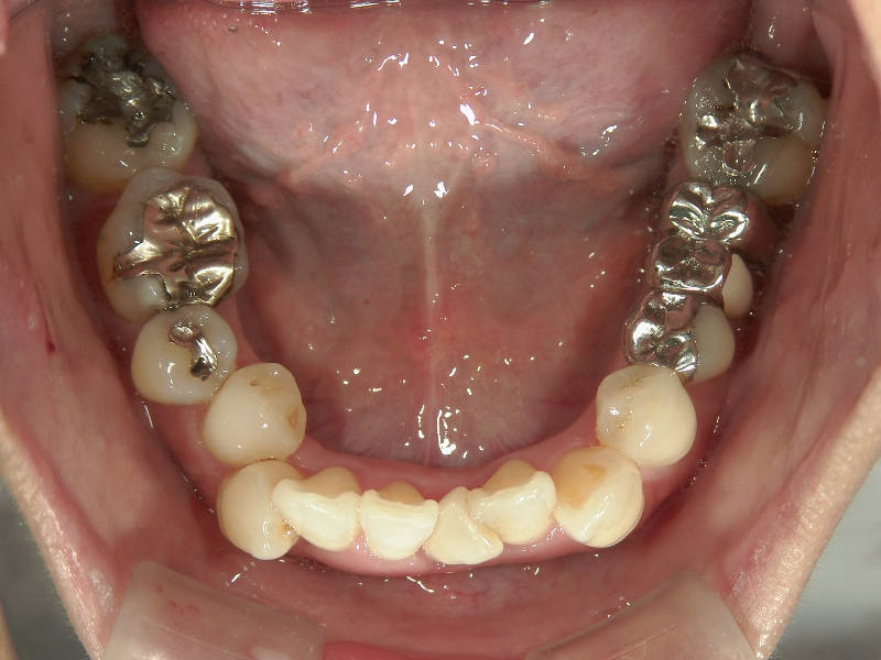
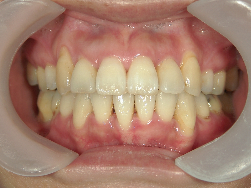
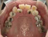
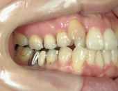
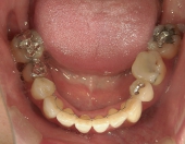
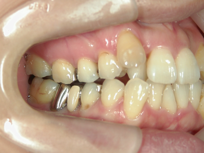
主訴:上下とも歯がでこぼこしている
(歯科助手・羽深 由利子 様)
━━ 当院で働いている羽深由利子さんが、歯列の叢生を全顎ワイヤー矯正で治療しました。
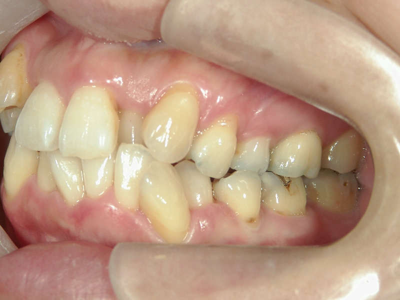
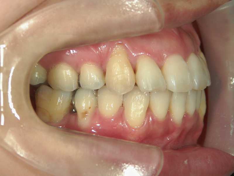
私は幼い頃から歯が並ぶスペースが少なかったため、重なり合って生えていて、八重歯が目立っていました。話す時は手をかざして口元を隠したり、写真撮影では口を閉じて笑うようにしたり、なるべく歯並びが目立たないようにしていました。
矯正治療は経済的に難しく躊躇していましたが、伊藤歯科医院で働くようになり、院長に「歯列矯正をしたらどうか?」と提案されました。歯並びは気になっていましたが、矯正することで身体に影響はでないか、30代で今更治療しても…と、年齢的な問題はないか心配でした。
かなりひどい歯並びだったため、実際に矯正器具をつけてみると、ワイヤーが複雑だったり、痛みがあったり、ブラッシングがやりにくい状態に最初はとても苦労しました。
しかし、矯正中の周囲の反応は意外と好感触で、友人は「私もワイヤーをつけてみたい!」という子までいて自分で思っているほど矯正中の見た目は悪くなかったようです。
だんだんと歯並びが良くなっていくことでモチベーションが上がり、矯正中でも人前で笑えるようになりました。
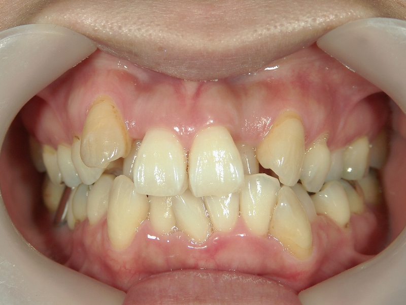
2年2か月で治療が終わり、改めて歯並びを見直すと、正直ここまでキレイに並ぶとは思っていなかったのでとても嬉しい気持ちになりました。期間だけみると長く感じますが、終わってみるとあっという間だった気がします。
歯並びが良くなって、口を開けて笑顔で写真を撮れるようになりました。家族は昔からの歯並びを知っているので、とても驚いていましたし、同年代の友人や周囲の方も矯正に興味をもってくれました。30代40代でも矯正できるんだ!と皆さんに身をもって伝える事ができたと思います。
矯正の中でも、ワイヤー矯正は目立つため敬遠されがちですが、周囲の人たちはそこまで口元をみていません。ワイヤーがついている事より、歯並びがキレイになっていく事に興味を持ってくれたり喜んでくれたりする人がほとんどです。不安な事が多いとは思いますが、一度相談に来てください。矯正をしていた人間だからこそ、わかる事、経験してきた事をお伝えしていきたいと思います。






