スタッフ矯正体験談

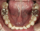
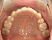
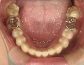
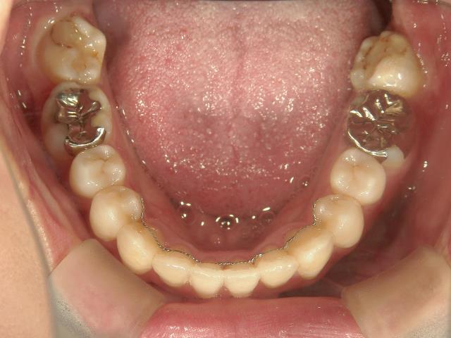
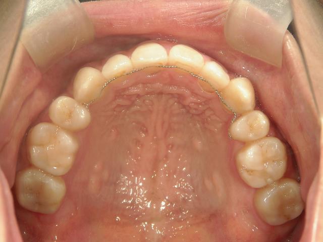
舌側ワイヤー矯正
治療期間:2年1カ月
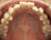
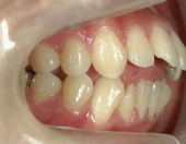
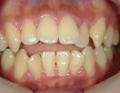
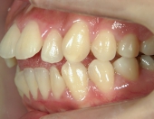
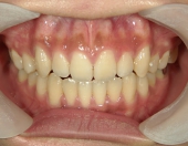
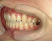
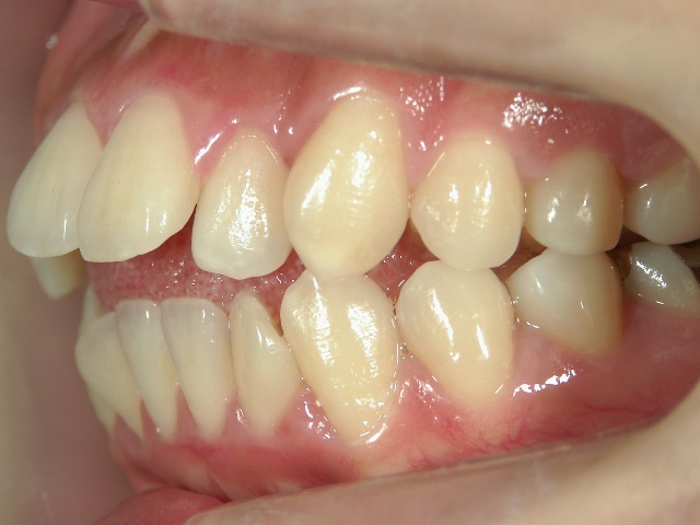
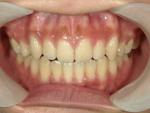
主訴:奥歯で噛んだときに前歯が噛み合わない
(歯科事務・池谷 彩乃 様)
━━ 当院で働いている池谷彩乃さんが、前突および開咬を舌側ワイヤー矯正で治療しました。
中学生になり第二大臼歯が生えてから、真ん中の前歯2本が出てきて、八重歯も目立つようになりました。はじめは八重歯がチャームポイントだと捉えて気にしていませんでしたが、年々歯並びが悪化している気がしました。そのうち前突が原因で口が閉じづらく、寝ている時は口呼吸になってしまいました。
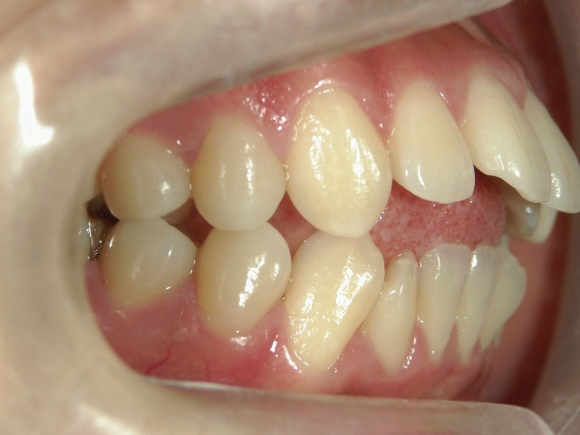
高校時代には、歯並びを改善しようと様々な矯正サイトを閲覧し、自分自身が開咬であることを知りました。開咬とは、上下の歯を噛み合わせた時に前歯に隙間ができることを言います。そういえば、麺を前歯で噛みきること、ハンバーガーにガブッと噛みつくことができませんでした。
矯正を考えましたが、学生なので予算がなく、低コストでできるセラミッククラウン治療に興味を持ちました。
この治療は、歯をひと回り小さく削り、上からセラミック製の歯をかぶせることで、部分的な歯並びを短期間で治す方法です。
しかし、自身の健康な歯を小さく削ってしまう点、歯根の傾きなどは治せない為また悪化する可能性が高い点が気になり断念しました。今思えば懸命な判断だったと思います。
その後、伊藤歯科医院に入社し、やっと矯正をする機会に恵まれました。矯正しているのが目立ちにくい治療を希望し、舌側ワイヤー矯正に挑戦することになりました。
はじめて歯の裏側に器具をつけた時は違和感がとてもあり、特に「さ行」が発音しづらかったのを覚えています。舌が器具に当たりやすいので、傷付きやすく、スペースが狭いため窮屈な感じがしました。
はじめは気になることばかりでしたが、2,3週間するとすっかりと慣れ、しゃべりづらさも改善してきました。それと同時に歯並びも動き始め、月に一回調整をする度に自分で歯の写真を撮って変化を楽しみました。舌側矯正だったので、あまり周囲の人から矯正をしていることを気づかれずに治せたことは嬉しかったです。ずっと悩んでいましたが、矯正をはじめるとあっという間に時間が過ぎていきました。
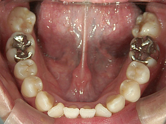
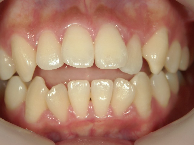
2年を少し過ぎたころには歯並びが良くなり、開咬もだいぶ改善されました。結婚式を予定していたため早期終了をさせていただきましたが、開咬が治ってハンバーガーをガブッと噛みきることができるようになって、とっても嬉しいです。式でもきれいな歯並びで、思いっきり笑うことができました。
出っ歯や八重歯などの歯並びの悪さばかりが気になっていましたが、開咬には前歯で物が噛みきれない、しゃべるときに息が漏れるなどの症状の他に、奥歯ばかりに負担がかかる為、歯の寿命を縮めてしまう可能性がありました。矯正で改善することができて本当によかっと思います。みなさんも歯並びで気になることがあったら、気軽に相談してみてくださいね。
















