全顎矯正治療例3 of 浜松市 矯正審美歯科センター

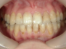
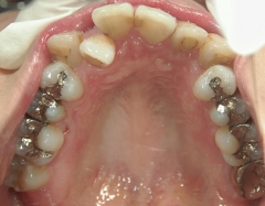
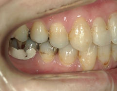
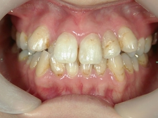
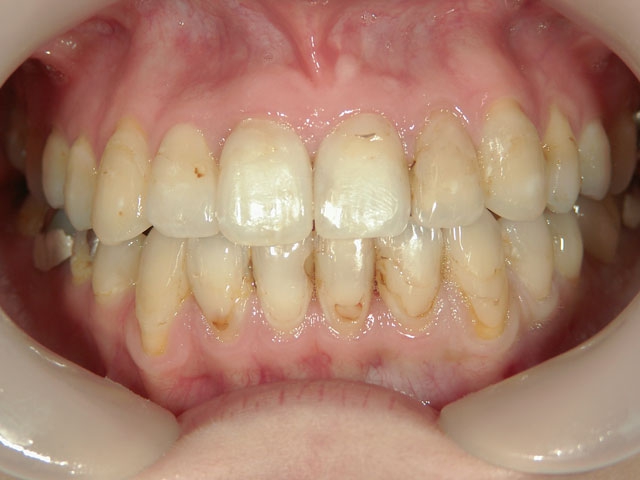
矯正歯科 治療前矯正歯科 治療前

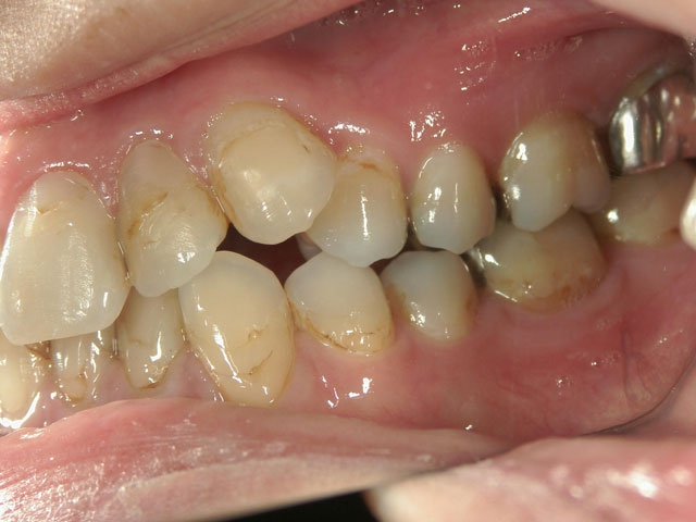
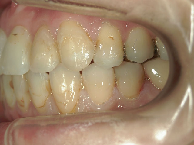
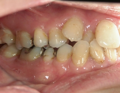
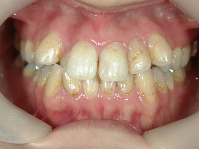
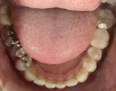
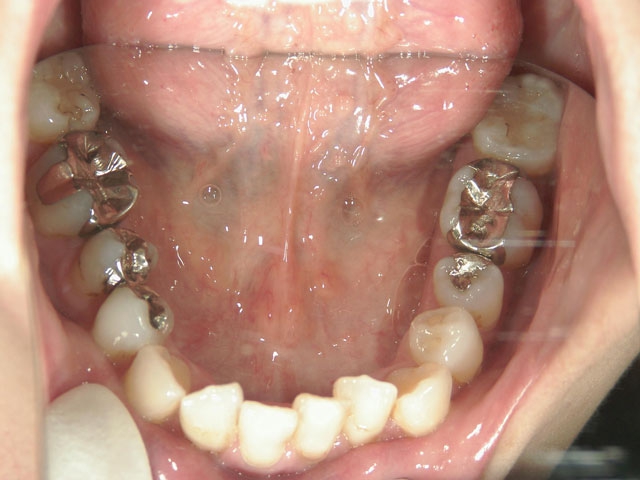
矯正歯科 治療後矯正歯科 全顎ワイヤー矯正 治療後矯正歯科(全顎ワイヤー矯正)治療後

全顎ワイヤー矯正 症例(3)

28歳女性 浜松市中区在住
治療期間2年6ヶ月

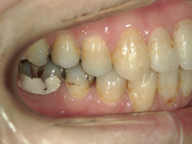
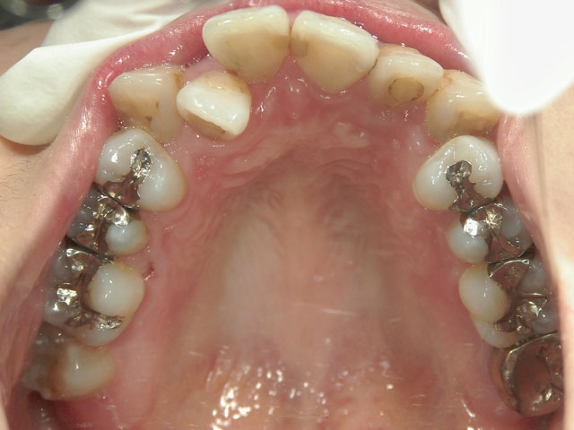
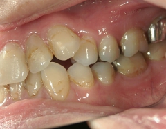
矯正歯科 治療前 外科手術併用(コルチコトミー)、非抜歯
矯正_灰色.pngno.7_6967_治療前_上_01.jpg矯正_灰色.png

no.7_6967_治療前_右_01.jpgno.7_6967_治療後_正面_01.jpgno.7_6967_治療前_左_01.jpg

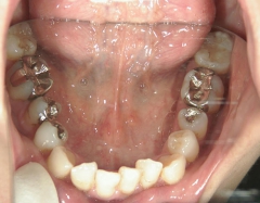
矯正_灰色.pngno.7_6967_治療前_下_01.jpg矯正_灰色.png

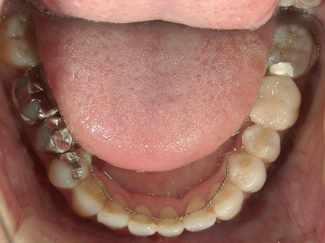
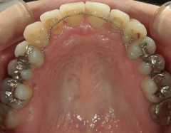
矯正歯科 治療後 

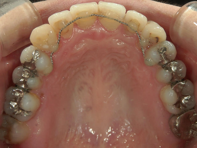
矯正_灰色.pngno.7_6967_治療後_上_01.jpg矯正_灰色.png

no.7_6967_治療後_右_01_640_480_やや高画質.jpgno.7_6967_治療後_正面_01.jpgno.7_6967_治療後_左_01.jpg

矯正_灰色.pngno.7_6967_治療後_下_01.jpg矯正_灰色.png