アクア治療例14 | 浜松市 矯正審美歯科センター 見えない矯正 ワイヤー矯正 ブライダル矯正

矯正歯科 治療例

画像をクリックすると拡大表示します。

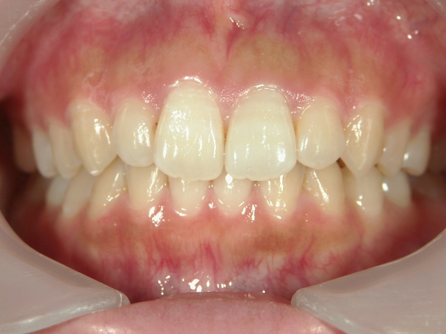
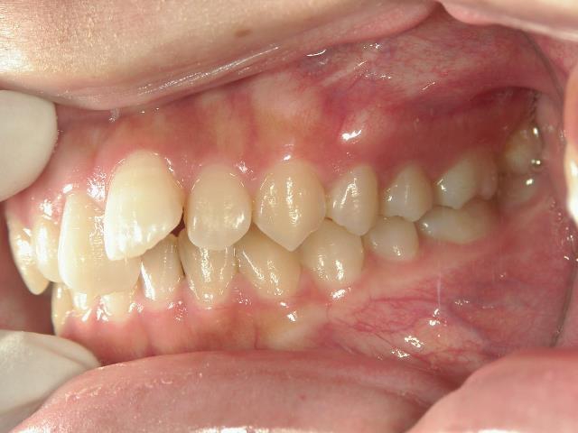
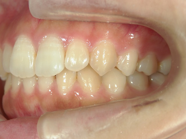
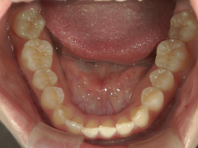
アクアシステム(透明マウスピース矯正)/上顎のみ 症例(14)

25歳 女性 磐田市在住 治療期間2年

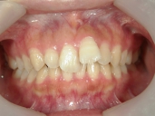
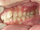
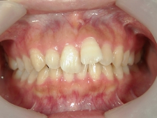
矯正歯科 治療前矯正歯科 治療前

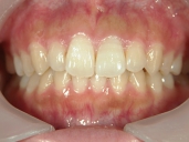
矯正歯科 治療後矯正歯科 アクアシステム(透明マウスピース矯正) 治療後矯正歯科(アクアシステム)治療後

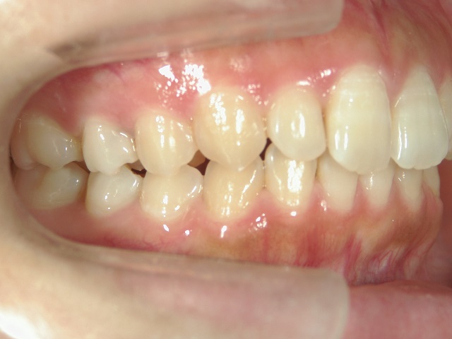
矯正歯科 治療前

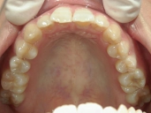
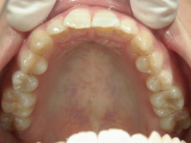
矯正歯科 治療前 上顎



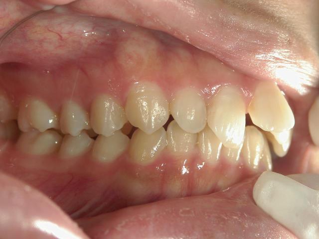
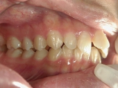
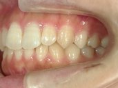
矯正歯科 治療前 右

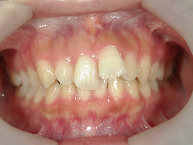
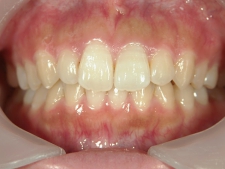
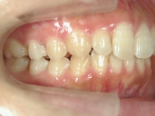
矯正歯科 治療前 正面

矯正歯科 治療前 左

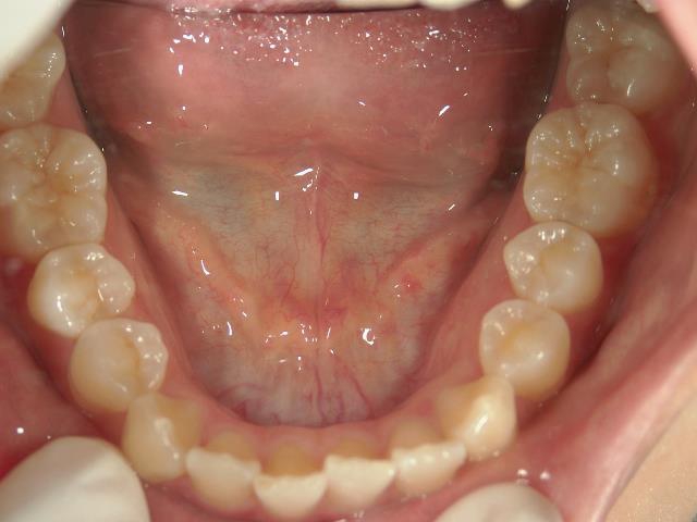
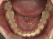
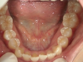
矯正歯科 治療前 下顎



矯正歯科 治療後

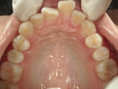
矯正歯科 治療後 上顎



矯正歯科 治療後 右

矯正歯科 治療後 正面

矯正歯科 治療後 左

矯正歯科 治療後 下顎