プチワイヤー矯正
小臼歯から小臼歯まで計8本に装置をとりつけ、前歯のみを矯正する治療法です。
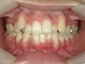
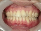
19歳女性・浜松市中区在住。上顎のみ
| |
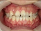
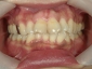
64歳 女性 浜松市中区在住。
| |
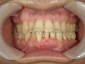
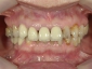
61歳女性・新城市在住。下顎のみ
| |
44歳女性・浜松市中区在住。上顎のみ
| |
21歳女性・浜松市北区在住。上下顎
| |
36歳女性・浜松市中区在住。上下顎
| |
37歳女性・浜松市西区在住。上顎のみ
| |
44歳女性・浜松市中区在住。下顎のみ
| |
18歳男性・浜松市北区在住。上顎のみ
| |
17歳男性・浜松市南区在住。上顎のみ
| |
26歳女性・沼津市在住。上顎のみ
| |
41歳女性・浜松市中区在住。上下顎
| |
28歳女性・浜松市西区在住。上顎のみ
| |
34歳女性・袋井市在住。上顎のみ
|
49歳男性・浜松市浜北区在住。上下顎
| |
67歳女性・浜松市中区在住。上下顎
| |
42歳男性・浜松市中区在住。下顎のみ
| |
65歳女性・浜松市浜北区在住。上下顎
| |
23歳女性・磐田市在住。上下顎
| |
26歳女性・浜松市西区在住。上下顎
| |
52歳女性・浜松市西区在住。上下顎
| |
39歳男性・浜松市東区在住。上顎のみ
| |
41歳女性・浜松市浜北区在住。上下顎
| |
28歳女性・浜松市中区在住。上下顎
| |
24歳女性・浜松市中区在住。上下顎
| |
41歳女性・浜松市中区在住。上下顎
| |
37歳女性・浜松市東区在住。上顎のみ
|



















