アクア治療例17 | 浜松市 矯正審美歯科センター 見えない矯正 ワイヤー矯正 ブライダル矯正

矯正歯科 治療例

画像をクリックすると拡大表示します。

アクアシステム(透明マウスピース矯正)/上顎のみ 症例(17)

31歳 女性 磐田市在住 治療期間1年1ヶ月

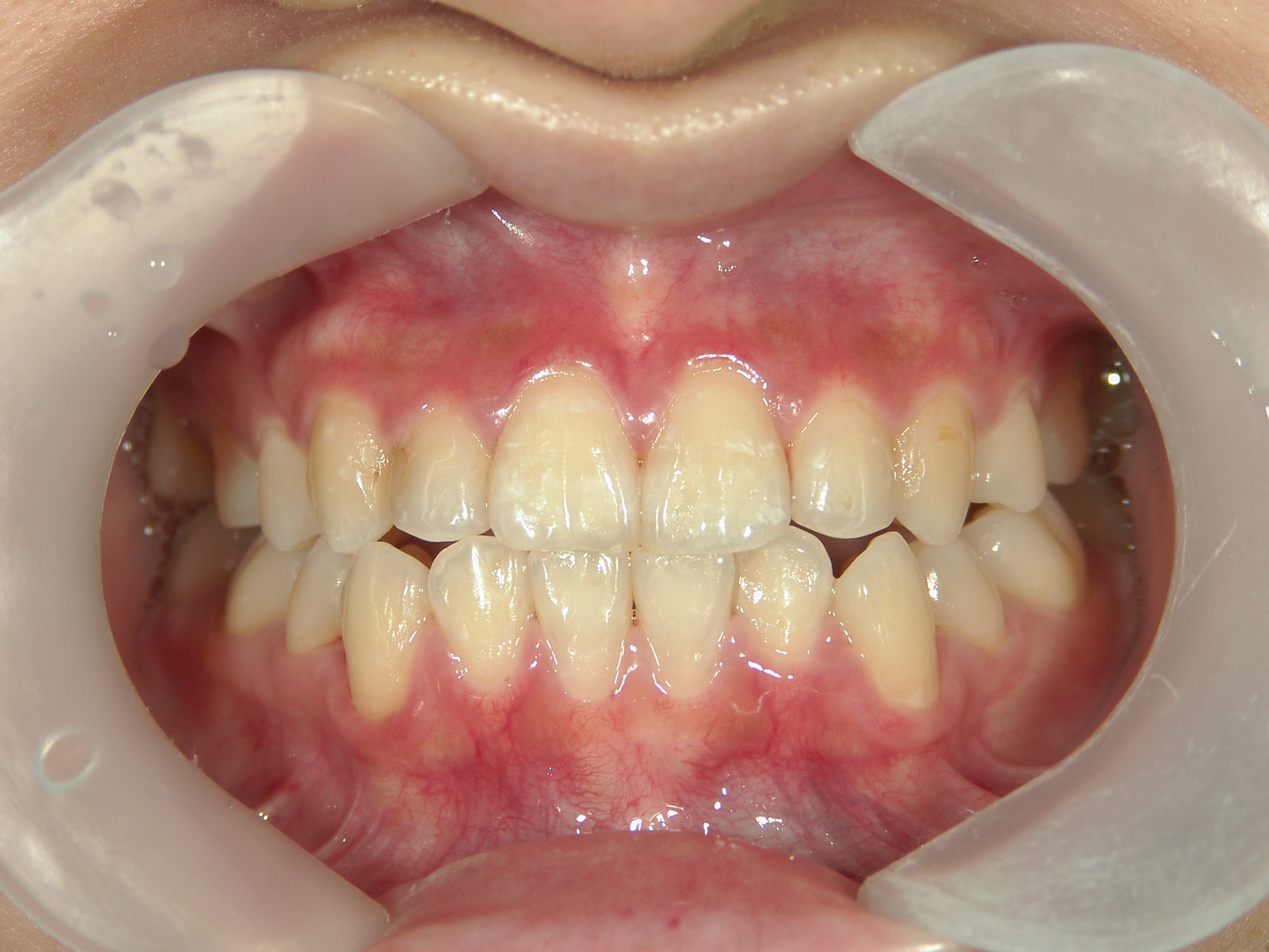
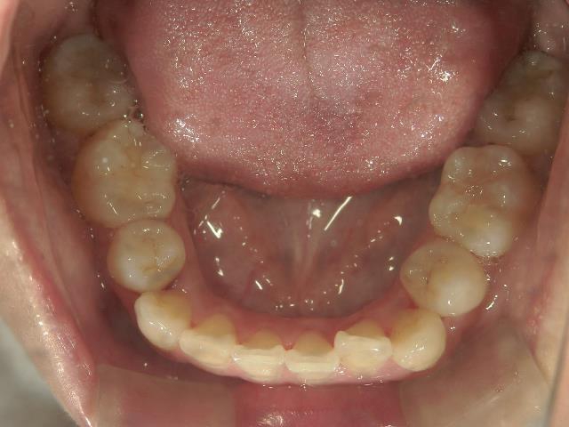
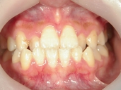
矯正歯科 治療前矯正歯科 治療前

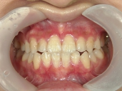
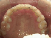
矯正歯科 治療後矯正歯科 プチワイヤー矯正 治療後矯正歯科(プチワイヤー矯正)治療後

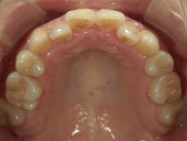
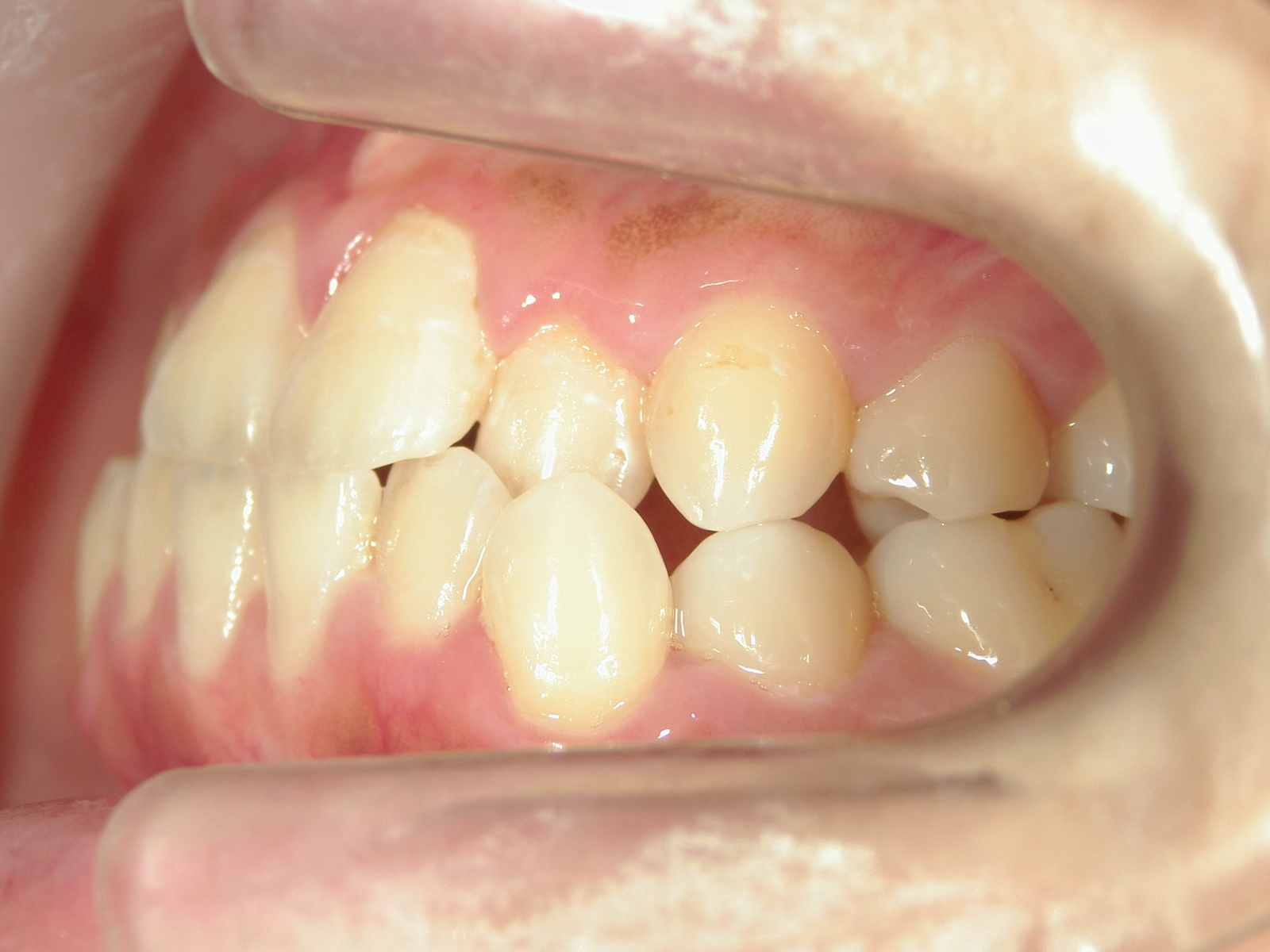
矯正歯科 治療前

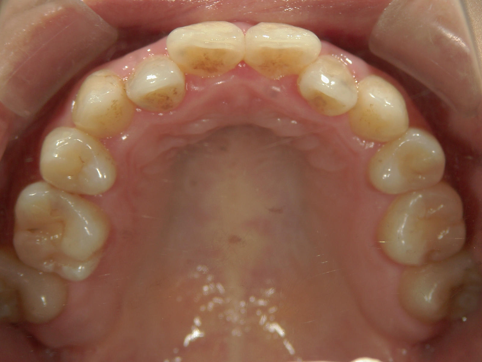
矯正歯科 治療前 上顎



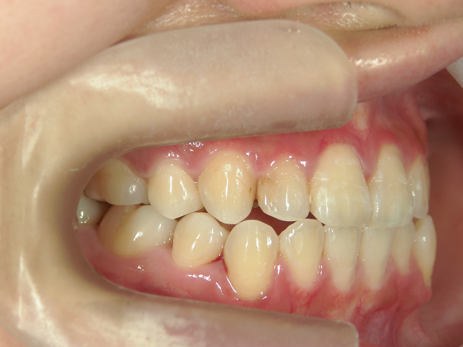
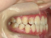
矯正歯科 治療前 右

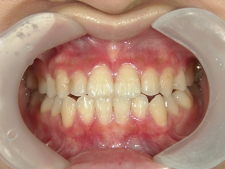
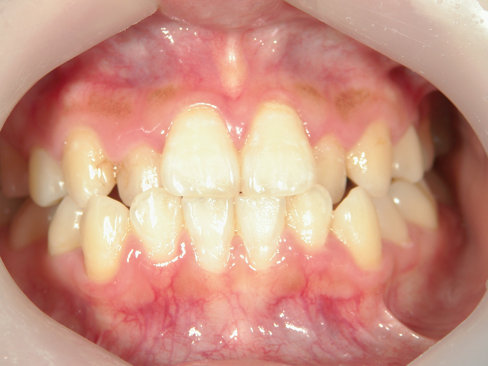
矯正歯科 治療前 正面

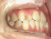
矯正歯科 治療前 左

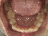
矯正歯科 治療前 下顎



矯正歯科 治療後

矯正歯科 治療後 上顎



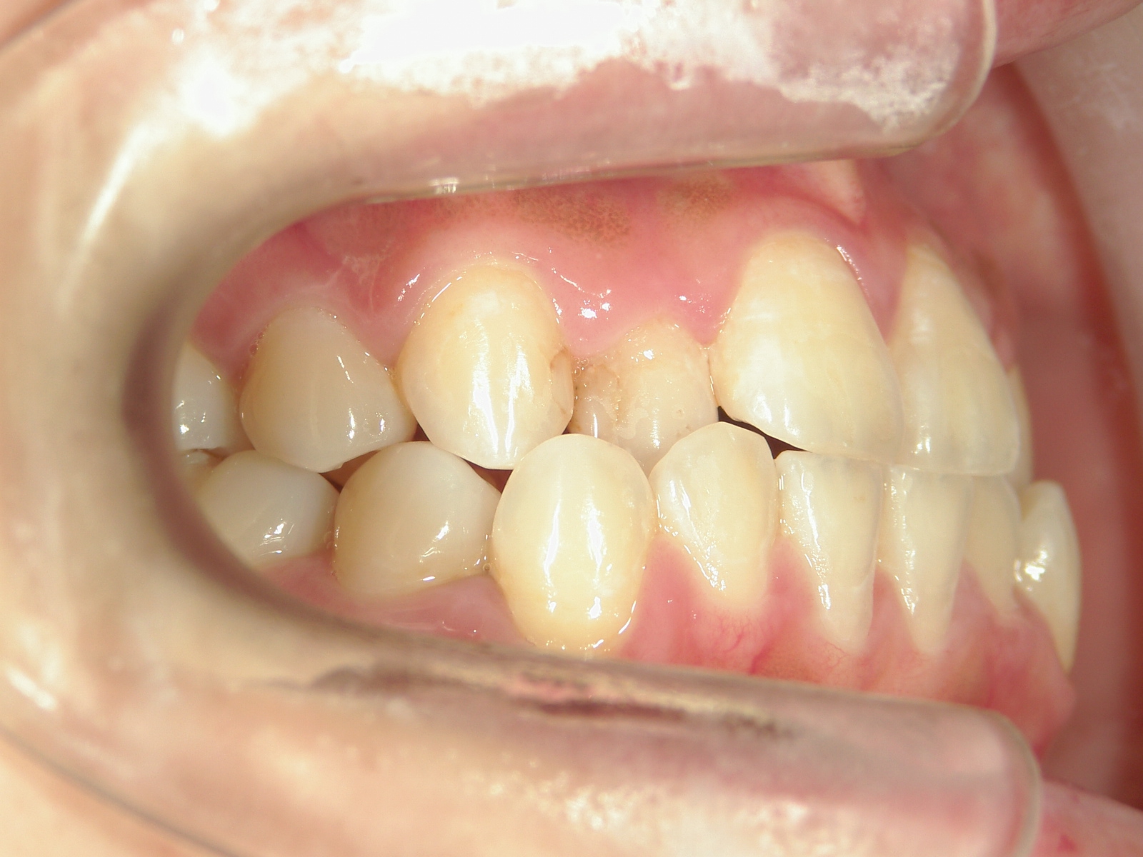
矯正歯科 治療後 右

矯正歯科 治療後 正面

矯正歯科 治療後 左

矯正歯科 治療後 下顎