アクア治療例3 | 浜松市 矯正審美歯科センター 見えない矯正 ワイヤー矯正 ブライダル矯正

矯正歯科 治療例

画像をクリックすると拡大表示します。

アクアシステム(透明マウスピース矯正)/上顎のみ 症例(3)

34歳 男性 浜松市北区在住 治療期間9ヶ月

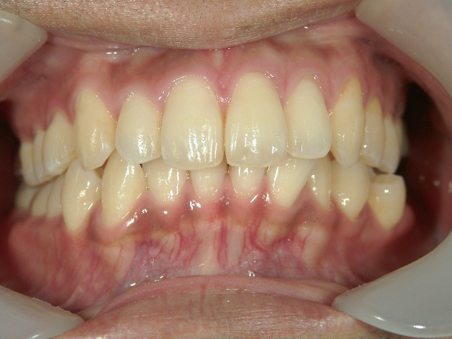
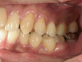
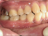
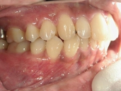
矯正歯科 治療前矯正歯科 治療前

矯正歯科 治療後矯正歯科 アクアシステム(透明マウスピース矯正) 治療後矯正歯科(アクアシステム)治療後

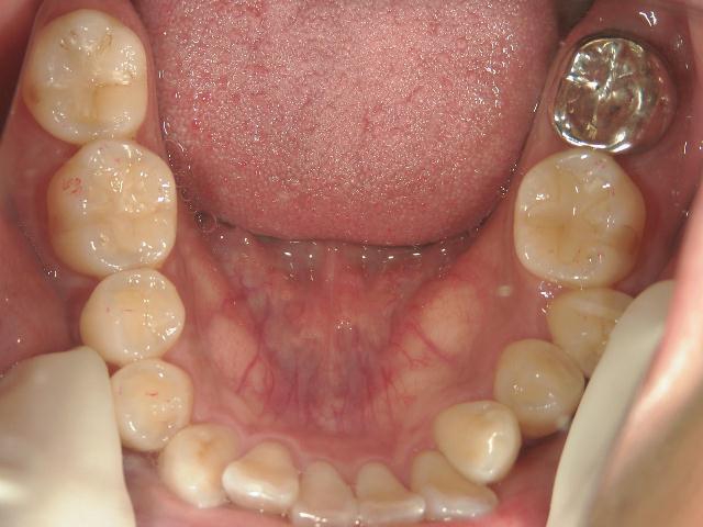
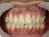
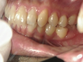
矯正歯科 治療前

矯正歯科 治療前 上顎



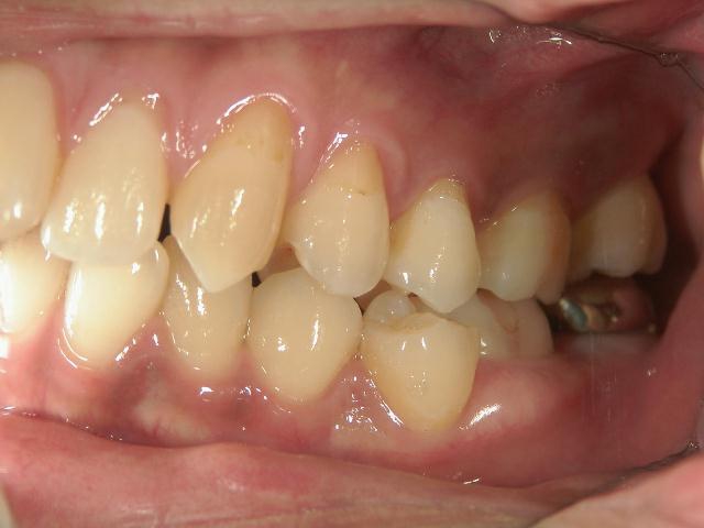
矯正歯科 治療前 右

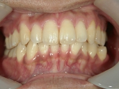
矯正歯科 治療前 正面

矯正歯科 治療前 左

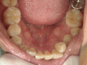
矯正歯科 治療前 下顎



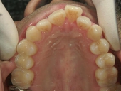
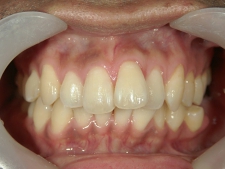
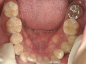
矯正歯科 治療後

矯正歯科 治療後 上顎



矯正歯科 治療後 右

矯正歯科 治療後 正面

矯正歯科 治療後 左

矯正歯科 治療後 下顎