アクア治療例6 | 浜松市 矯正審美歯科センター 見えない矯正 ワイヤー矯正 ブライダル矯正

矯正歯科 治療例

画像をクリックすると拡大表示します。

アクアシステム(透明マウスピース矯正)/上下顎 症例(6)

24歳 女性 浜松市東区在住 治療期間約1年
(上顎の治療終了後、下顎の治療を開始)

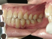
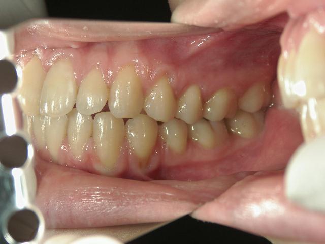
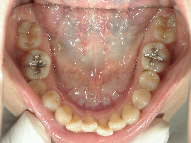
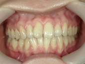
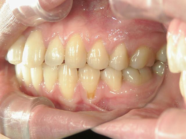
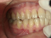
矯正歯科 治療前矯正歯科 治療前

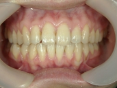
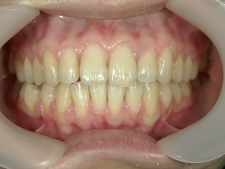
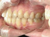
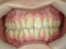
矯正歯科 治療後矯正歯科 アクアシステム(透明マウスピース矯正) 治療後矯正歯科(アクアシステム)治療後

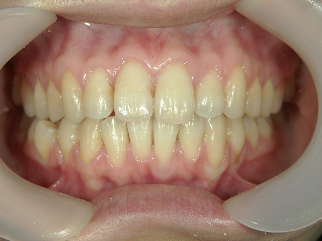
矯正歯科 治療前

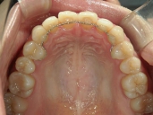
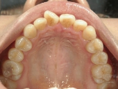
矯正歯科 治療前 上顎



矯正歯科 治療前 右

矯正歯科 治療前 正面

矯正歯科 治療前 左

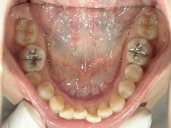
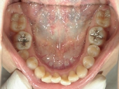
矯正歯科 治療前 下顎



矯正歯科 治療後

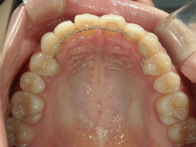
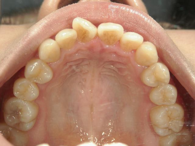
矯正歯科 治療後 上顎



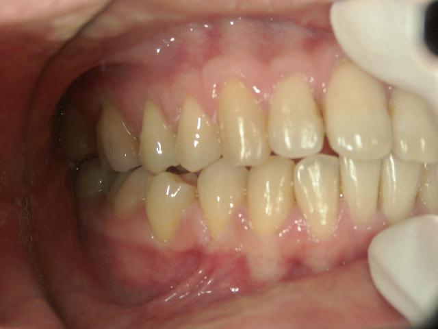
矯正歯科 治療後 右

矯正歯科 治療後 正面

矯正歯科 治療後 左

矯正歯科 治療後 下顎