プチ矯正治療例27 of 浜松市 矯正審美歯科センター

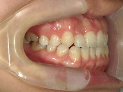
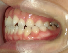
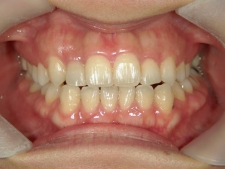
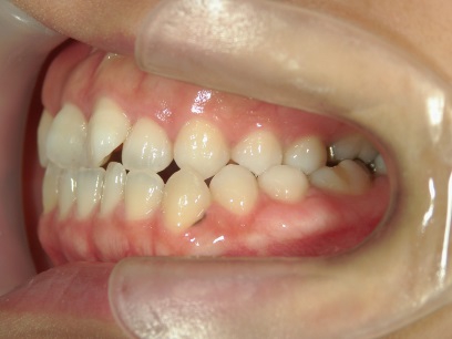
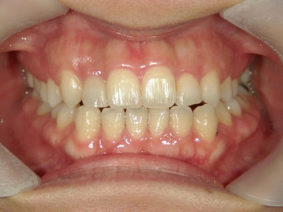
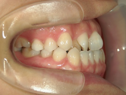
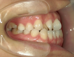
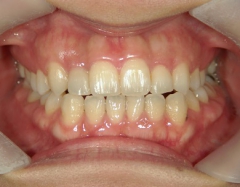
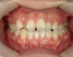
矯正歯科 治療前矯正歯科 治療前

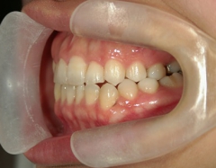
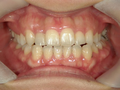
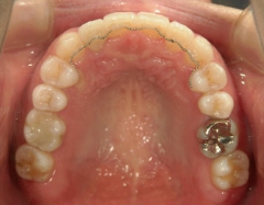
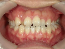
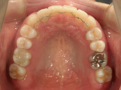
矯正歯科 治療後矯正歯科 プチワイヤー矯正 治療後矯正歯科(プチワイヤー矯正)治療後

プチワイヤー矯正症例(27)

37歳女性 浜松市東区在住
治療期間 1年4カ月 
主訴:上顎の前歯の歯並びが気になる。反対咬合。

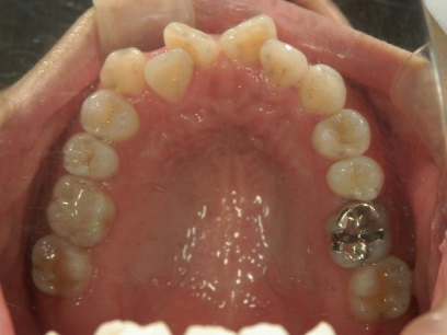
矯正歯科 治療前 
矯正_灰色.pngp055_8995_治療前_上.jpg矯正_灰色.png

p055_8995_治療前_右.jpgp055_8995_治療前_正面.jpgp055_8995_治療前_左.jpg

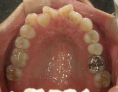
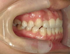
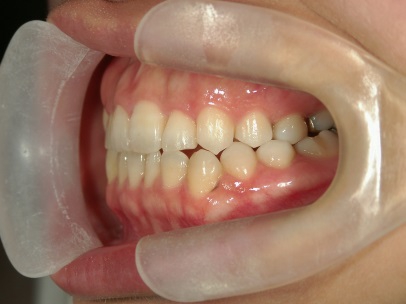
矯正歯科 治療後 
矯正_灰色.pngp055_8995_治療後_上.jpg矯正_灰色.png

p055_8995_治療後_右.jpgp055_8995_治療後_正面.jpgp055_8995_治療後_左.jpg