プチ矯正治療例26 of 浜松市 矯正審美歯科センター

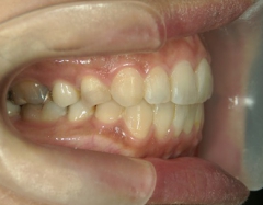
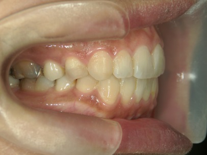
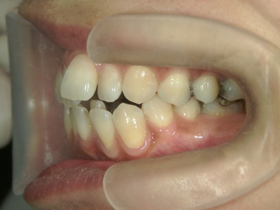
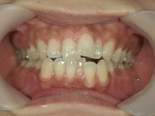
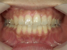
矯正歯科 治療前矯正歯科 治療前

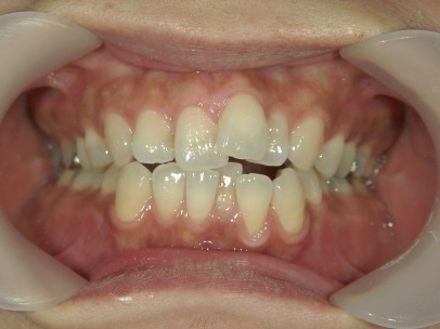
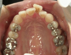
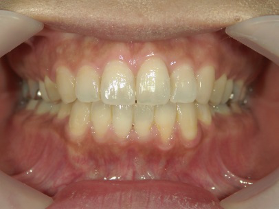
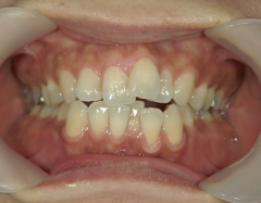
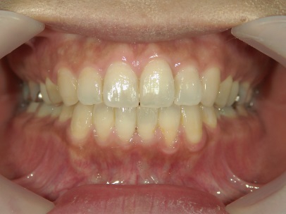
矯正歯科 治療後矯正歯科 プチワイヤー矯正 治療後矯正歯科(プチワイヤー矯正)治療後

プチワイヤー矯正 症例(26

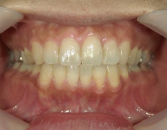
41歳女性 浜松市中区在住
治療期間 9ヶ月
主訴:幼少期に矯正したが、後戻りしてしまった。 上と下の一番真ん中の歯の乱れが気になる。

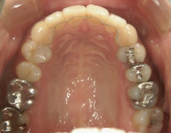
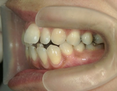
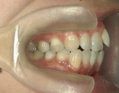
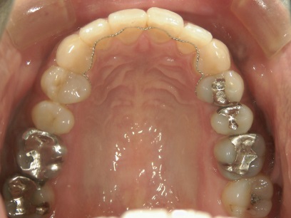
矯正歯科 治療前
矯正_灰色.pngp054_9154_治療前_上.jpg矯正_灰色.png

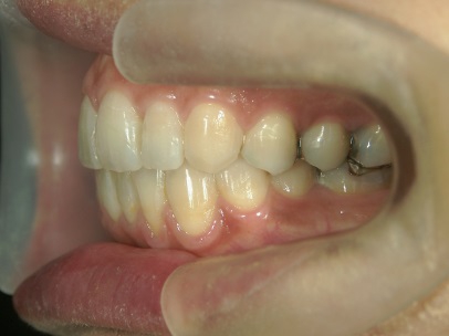
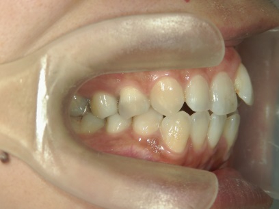
p054_9154_治療前_右.jpgp054_9154_治療前_正面.jpgp054_9154_治療前_左.jpg

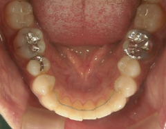
矯正_灰色.pngp054_9154_治療前_下.jpg矯正_灰色.png

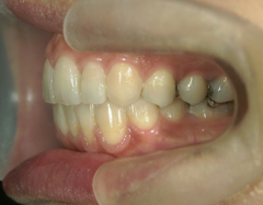
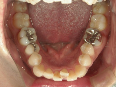
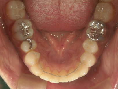
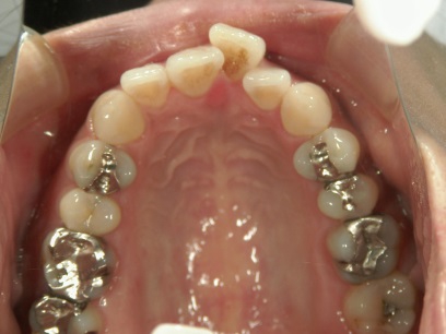
矯正歯科 治療後 
矯正_灰色.pngp054_9154_治療後_上.jpg矯正_灰色.png

p054_9154_治療後_右.jpgp054_9154_治療後_正面.jpgp054_9154_治療後_左.jpg

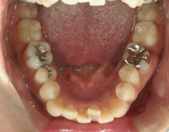
矯正_灰色.pngp054_9154_治療後_下.jpg矯正_灰色.png