全顎矯正治療例10 of 浜松市 矯正審美歯科センター

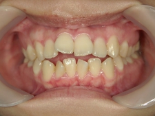
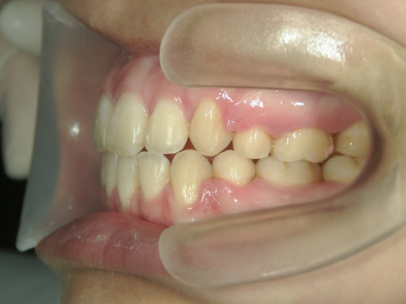
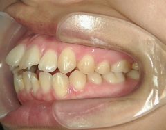
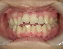
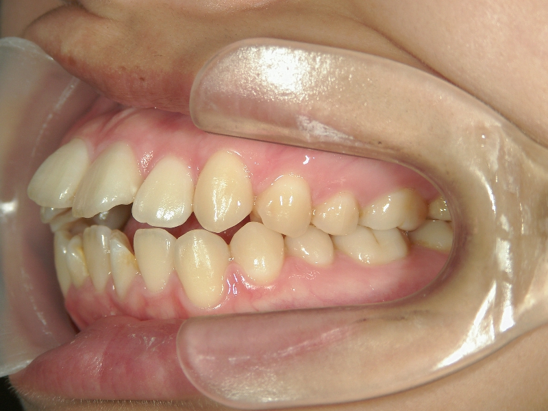
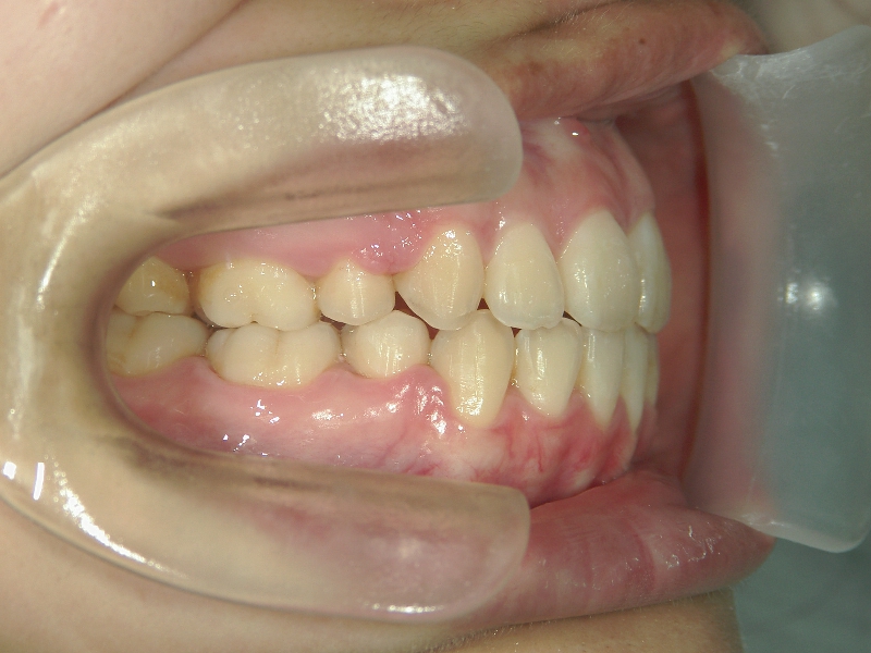
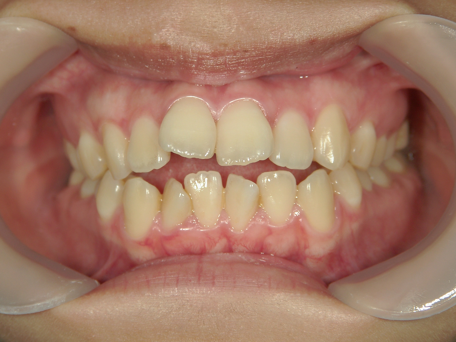
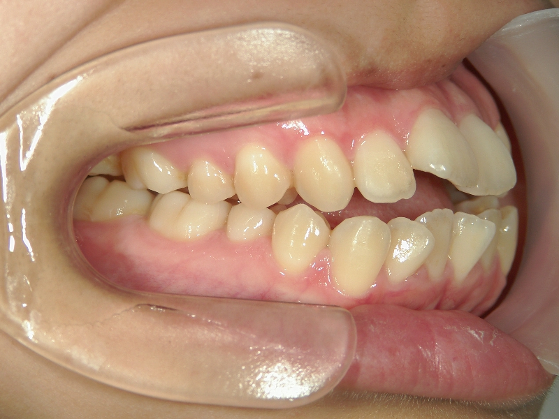
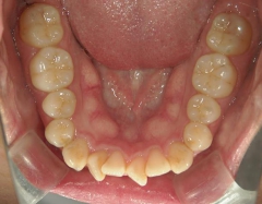
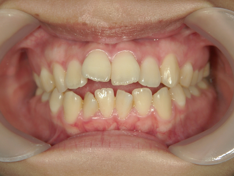
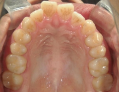
矯正歯科 治療前矯正歯科 治療前

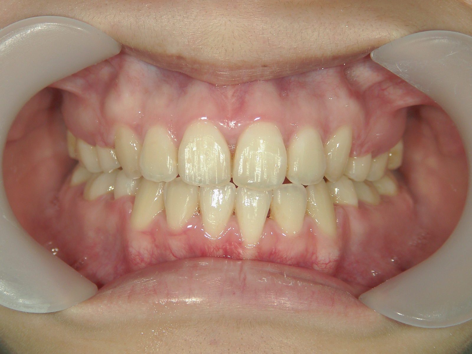
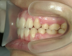
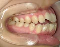
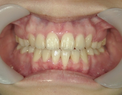
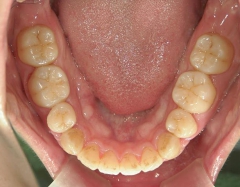
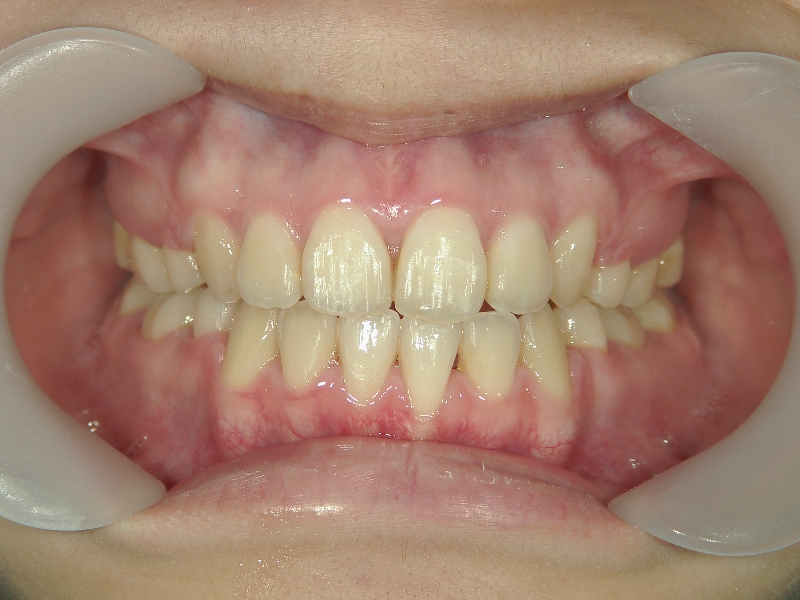
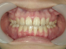
矯正歯科 治療後矯正歯科 全顎ワイヤー矯正 治療後矯正歯科(全顎ワイヤー矯正)治療後

全顎ワイヤー矯正 症例(10

25歳女性 浜松市中区在住
治療期間1年6ヶ月
主訴:上下の歯並びと、開咬(オープンバイト)が気になる。

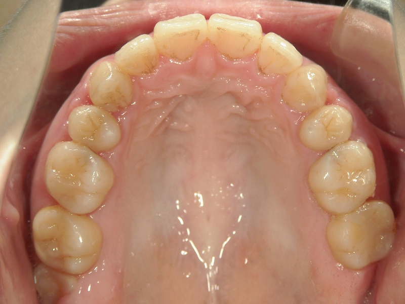
矯正歯科 治療前 左右上4番、左右下4番、右下8番 計4本抜歯
矯正_灰色.pngno.19_5074_治療前_上.jpg矯正_灰色.png

no.19_5074_治療前_右.jpgno.19_5074_治療前_正面.jpgno.19_5074_治療前_左.jpg

矯正_灰色.pngno.19_5074_治療前_下.jpg矯正_灰色.png

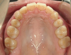
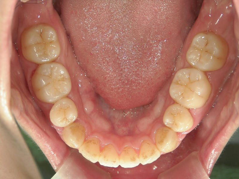
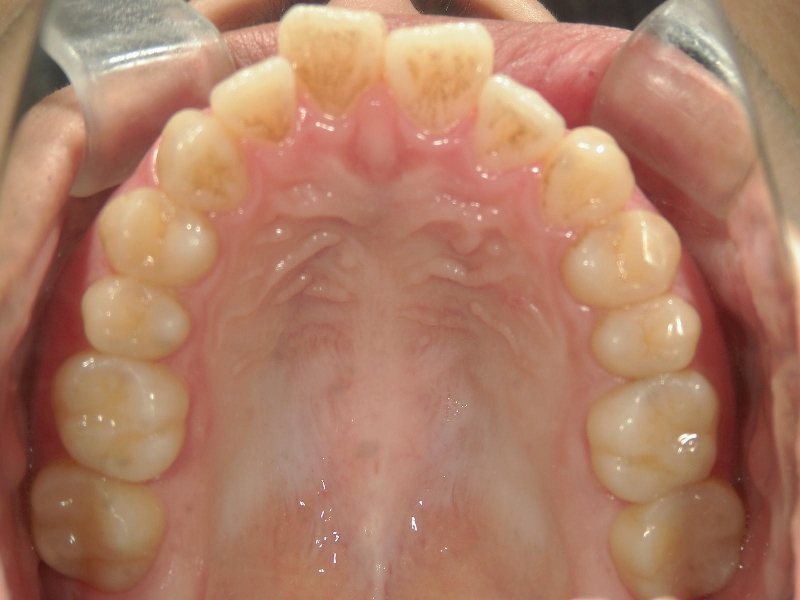
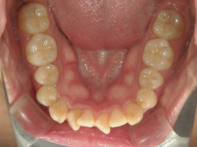
矯正歯科 治療後 

矯正_灰色.pngno.19_5074_治療後_上.jpg矯正_灰色.png

no.19_5074_治療後_右.jpgno.19_5074_治療後_正面.jpgno.19_5074_治療後_左.jpg

矯正_灰色.pngno.19_5074_治療後_下.jpg矯正_灰色.png