全顎矯正治療例11 of 浜松市 矯正審美歯科センター

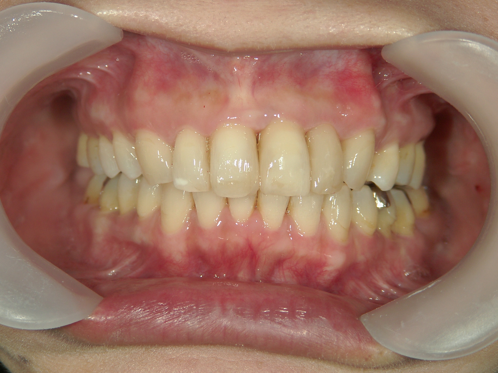
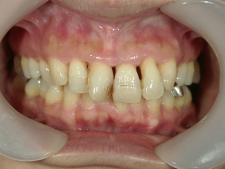
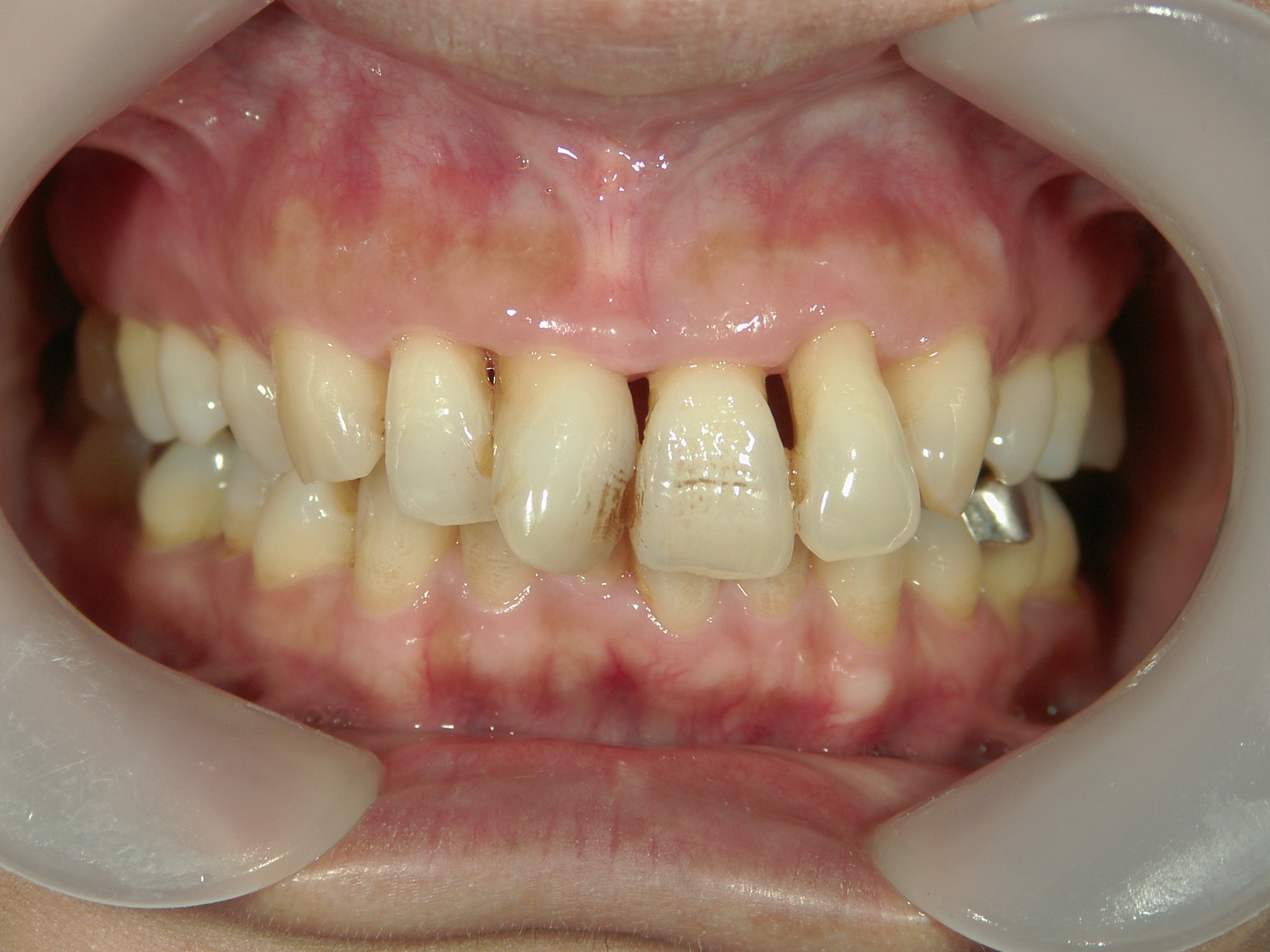
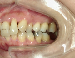
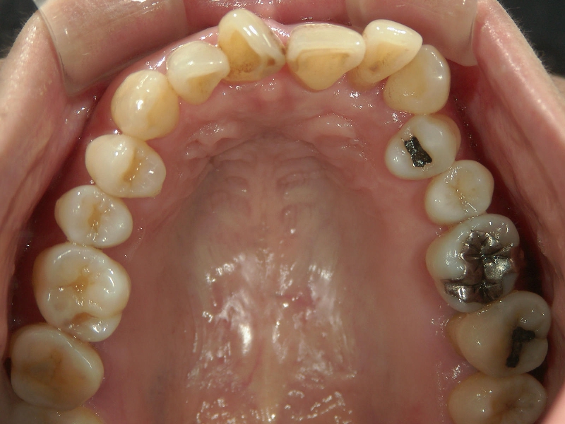
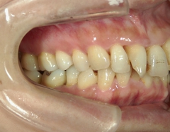
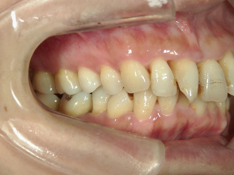
矯正歯科 治療前矯正歯科 治療前

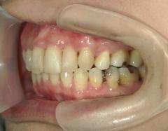
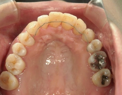
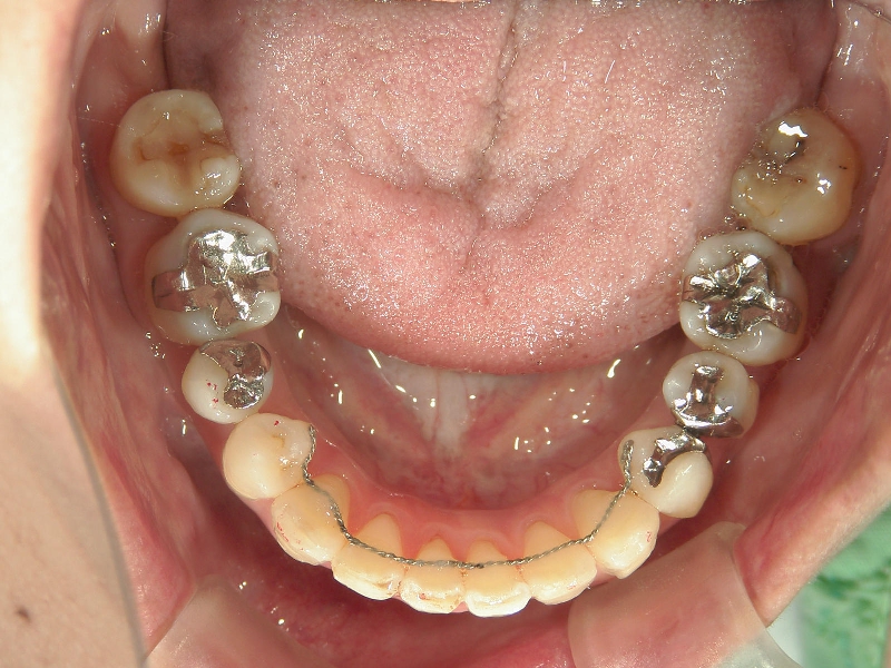
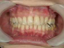
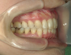
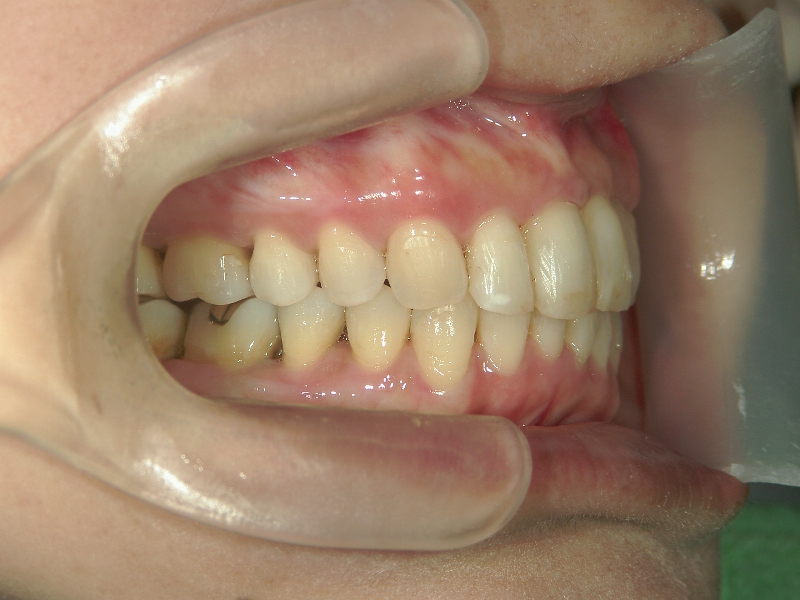
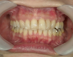
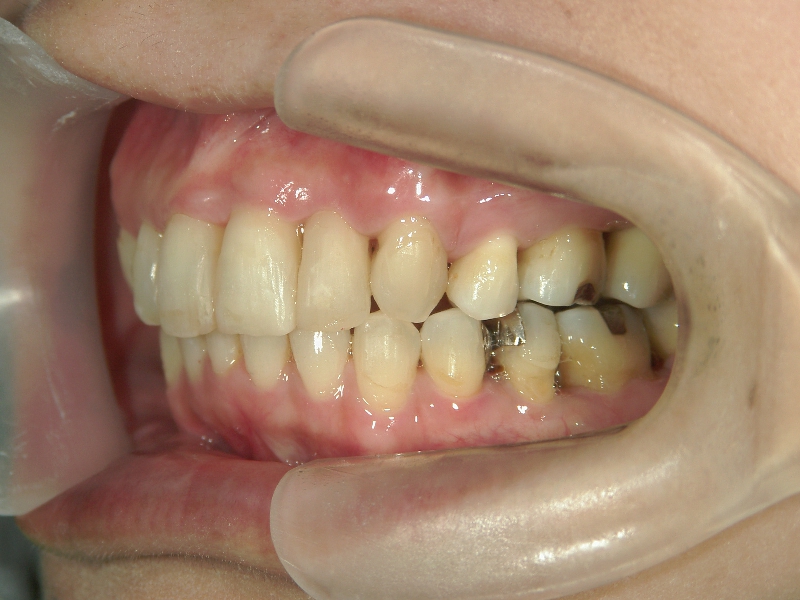
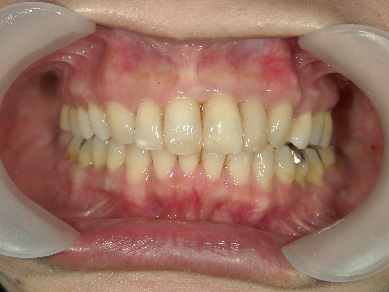
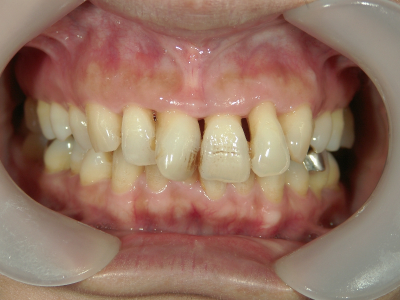
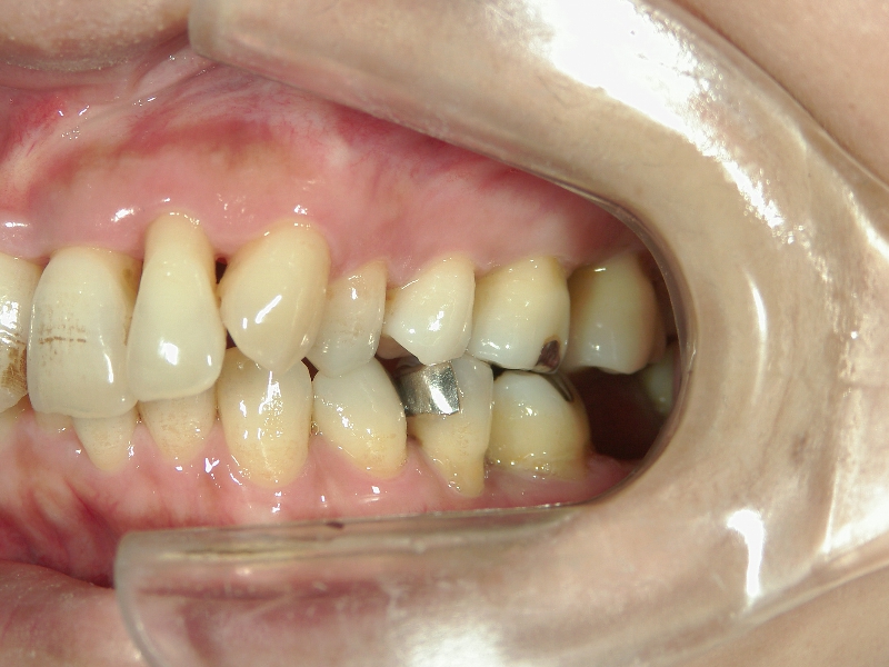
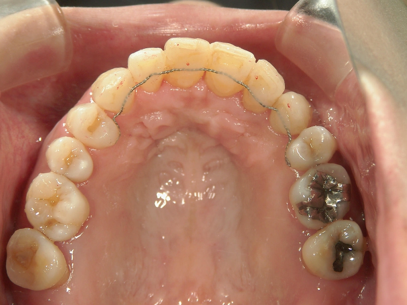
矯正歯科 治療後矯正歯科 全顎ワイヤー矯正 治療後矯正歯科(全顎ワイヤー矯正)治療後

全顎ワイヤー矯正 症例(11

43歳女性 浜松市西区在住
治療期間2年4ヶ月
主訴:歯並びも気になるが、歯と歯の隙間が気になる。

矯正歯科 治療前 左右上8番、左上4番、右下8番 計4本抜歯
矯正_灰色.pngno.20_8058_治療前_上.jpg矯正_灰色.png

no.20_8058_治療前_右.jpgno.20_8058_治療前_正面.jpgno.20_8058_治療前_左.jpg

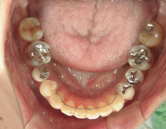
矯正_灰色.pngno.20_8058_治療前_下.jpg矯正_灰色.png

矯正歯科 治療後 

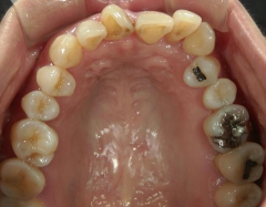
矯正_灰色.pngno.20_8058_治療後_上.jpg矯正_灰色.png

no.20_8058_治療後_右.jpgno.20_8058_治療後_正面.jpgno.20_8058_治療後_左.jpg

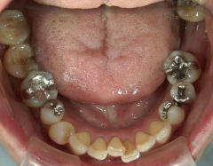
矯正_灰色.pngno.20_8058_治療後_下.jpg矯正_灰色.png