全顎矯正治療例9 of 浜松市 矯正審美歯科センター

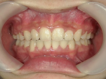
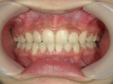
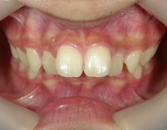
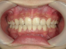
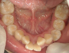
矯正歯科 治療前矯正歯科 治療前

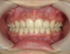
矯正歯科 治療後矯正歯科 全顎ワイヤー矯正 治療後矯正歯科(全顎ワイヤー矯正)治療後

全顎ワイヤー矯正 症例(9

18歳女性 浜松市中区在住
治療期間3年11ヶ月
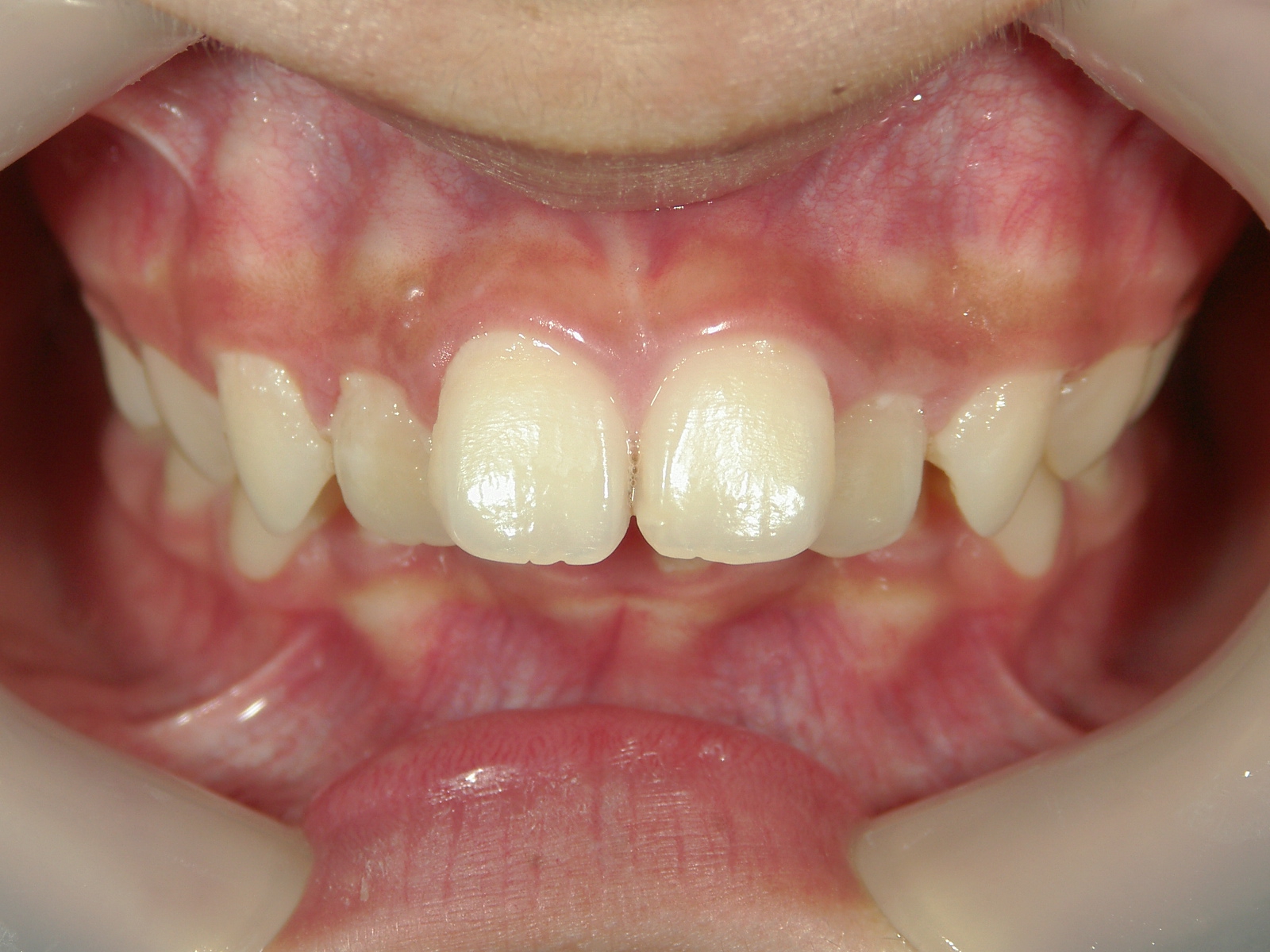
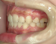
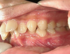
主訴:上の歯が前に出ている。

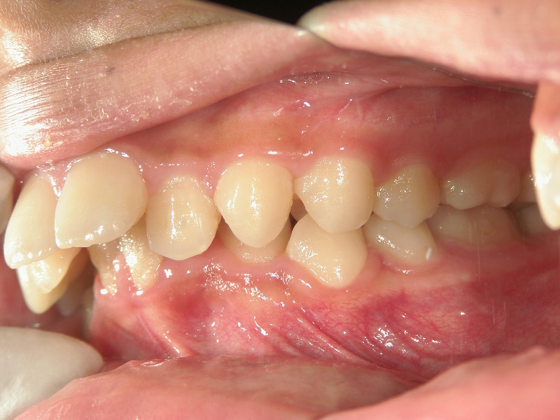
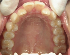
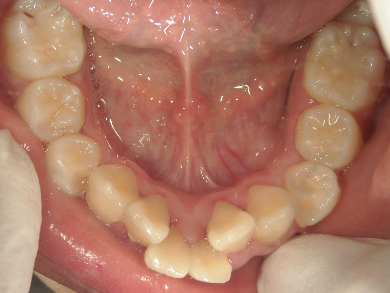
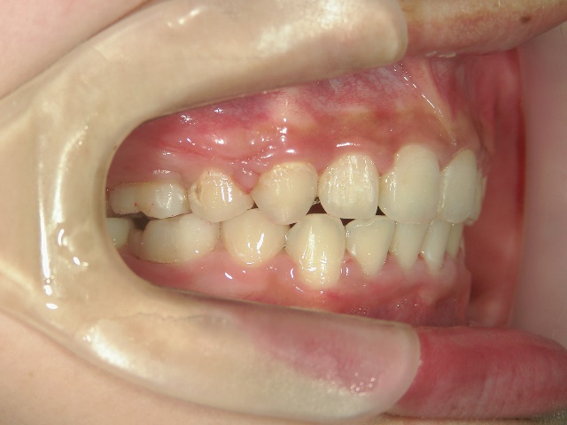
矯正歯科 治療前 左右上下4番  計4本抜歯
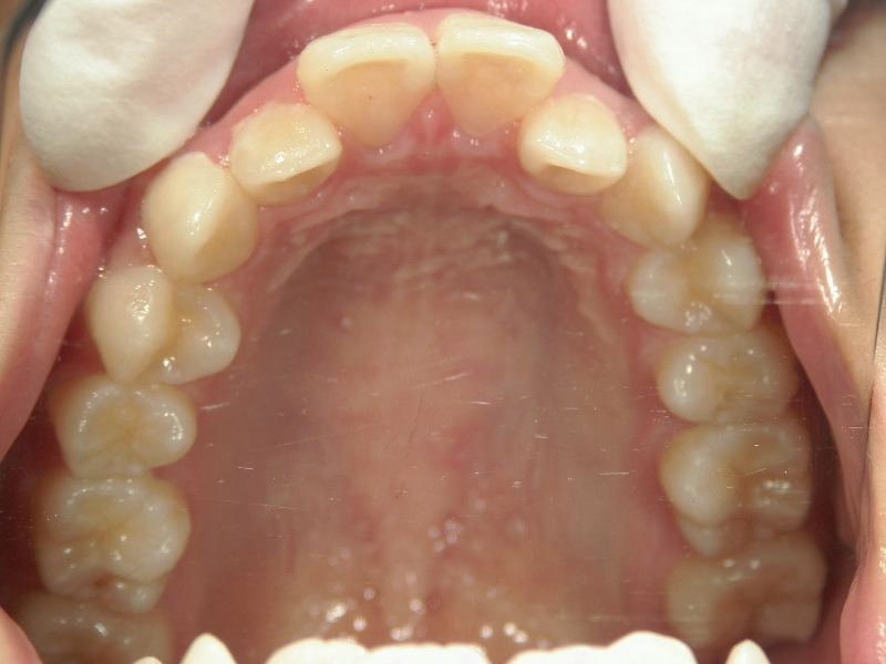
矯正_灰色.pngno.18_2196_治療前_上.jpg矯正_灰色.png

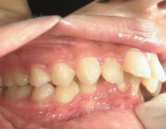
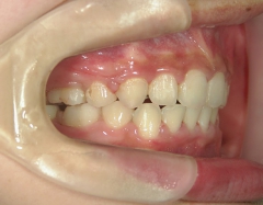
no.18_2196_治療前_右.jpgno.18_2196_治療前_正面.jpgno.18_2196_治療前_左.jpg

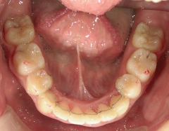
矯正_灰色.pngno.18_2196_治療前_下.jpg矯正_灰色.png

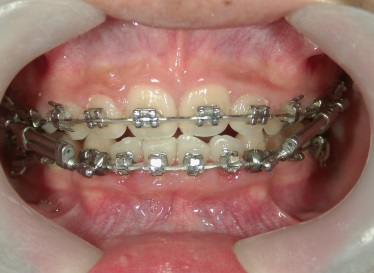
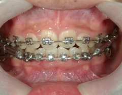
矯正歯科 治療途中 下顎の後退を改善する為、ツインフォースで下顎を前に出す
no.18_2196_治療中_右.jpgno.18_2196_治療中_正面.jpgno.18_2196_治療中_左.jpg

矯正歯科 治療後 

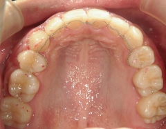
矯正_灰色.pngno.18_2196_治療後_上.jpg矯正_灰色.png

no.18_2196_治療後_右.jpgno.18_2196_治療後_正面.jpgno.18_2196_治療後_左.jpg

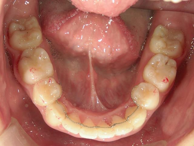
矯正_灰色.pngno.18_2196_治療後_下.jpg矯正_灰色.png