全顎矯正治療例12 of 浜松市 矯正審美歯科センター

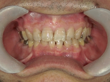
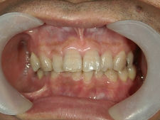
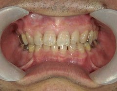
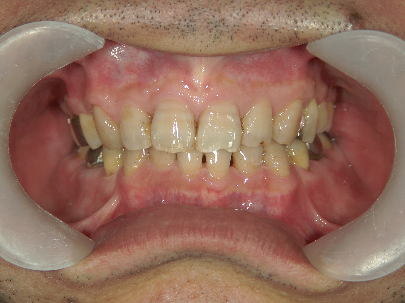
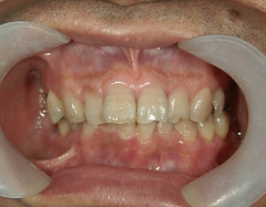
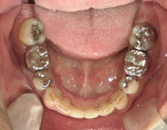
矯正歯科 治療前矯正歯科 治療前

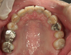
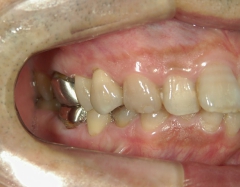
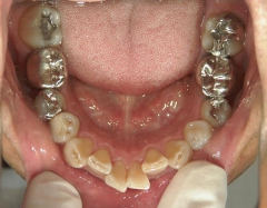
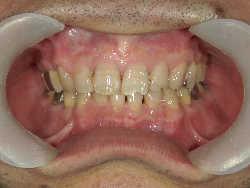
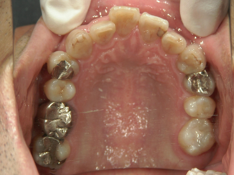
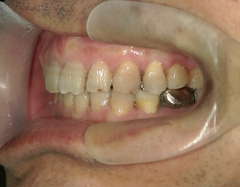
矯正歯科 治療後矯正歯科 全顎ワイヤー矯正 治療後矯正歯科(全顎ワイヤー矯正)治療後

全顎ワイヤー矯正 症例(12

46歳男性 浜松市浜北区在住
治療期間2年2ヶ月
主訴:下の歯がガタガタ。

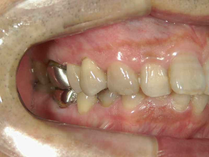
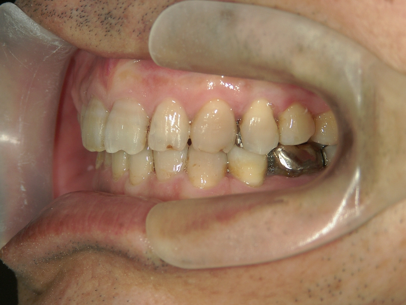
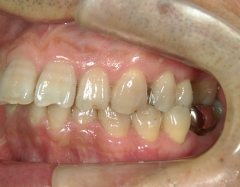
矯正歯科 治療前 右上4番、左右下4番 計3本抜歯し、叢生を改善
矯正_灰色.pngno.22_8175_治療前_上.jpg矯正_灰色.png

no.22_8175_治療前_右.jpgno.22_8175_治療前_正面.jpgno.22_8175_治療前_左.jpg

矯正_灰色.pngno.22_8175_治療前_下.jpg矯正_灰色.png

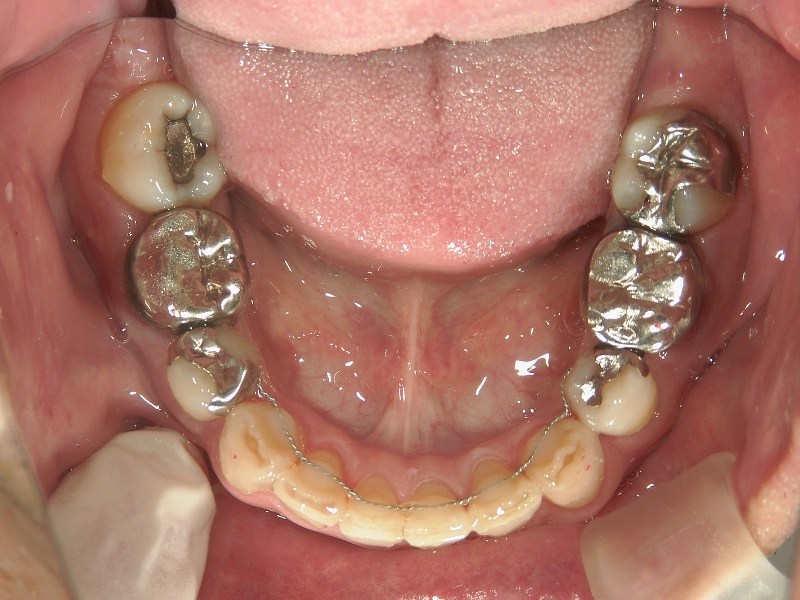
矯正歯科 治療後 左上6番欠損のため、7番を6番の位置へ前方牽引

矯正_灰色.pngno.22_8175_治療後_上.jpg矯正_灰色.png

no.22_8175_治療後_右.jpgno.22_8175_治療後_正面.jpgno.22_8175_治療後_左.jpg

矯正_灰色.pngno.22_8175_治療後_下.jpg矯正_灰色.png