全顎矯正治療例13 of 浜松市 矯正審美歯科センター

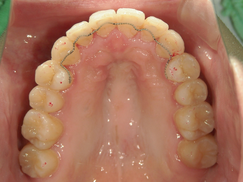
矯正歯科 全顎ワイヤー矯正 治療後矯正歯科(全顎ワイヤー矯正)治療後

矯正歯科 治療後矯正歯科 全顎ワイヤー矯正 治療後矯正歯科(全顎ワイヤー矯正)治療後

全顎ワイヤー矯正 症例(13

29歳女性 浜松市浜北区在住
治療期間1年10ヶ月
主訴:上下の歯並びが悪いので治したい。

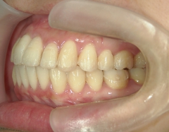
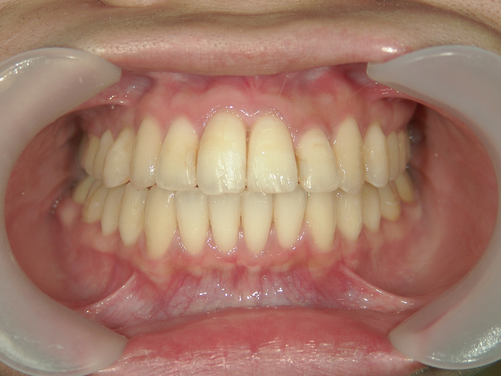
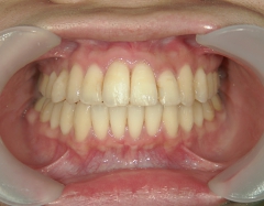
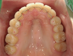
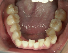
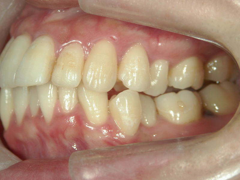
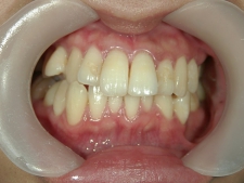
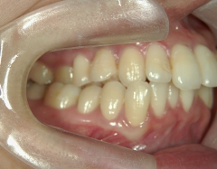
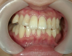
矯正歯科 治療前 ㊤急速拡大㊦BHでアーチを拡大  非抜歯

矯正_灰色.pngno.23_8204_治療前_上.jpg矯正_灰色.png

no.23_8204_治療前_右.jpgno.23_8204_治療前_正面.jpgno.23_8204_治療前_左.jpg

矯正_灰色.pngno.23_8204_治療前_下.jpg矯正_灰色.png

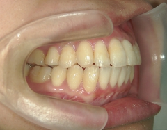
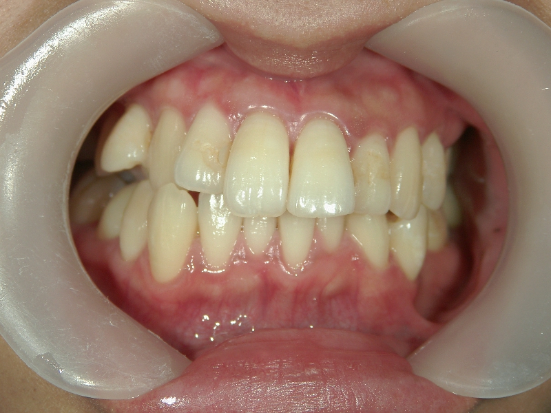
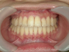
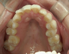
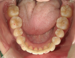
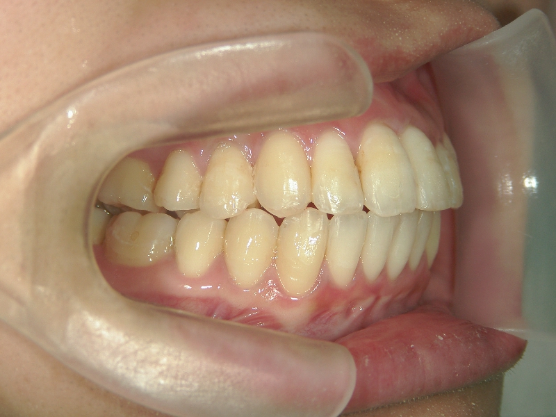
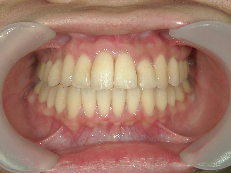
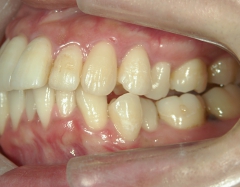
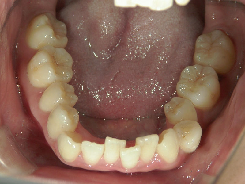
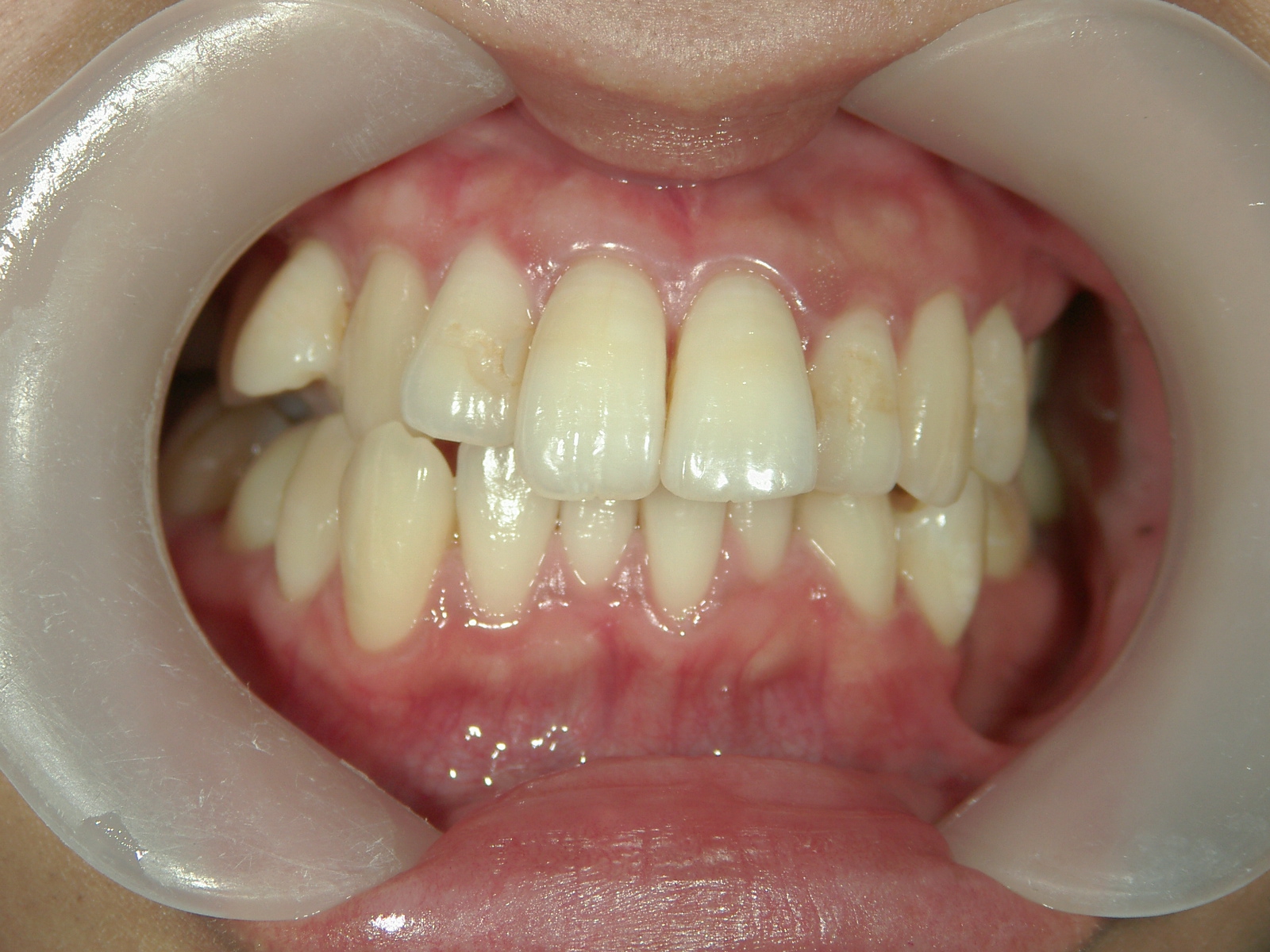
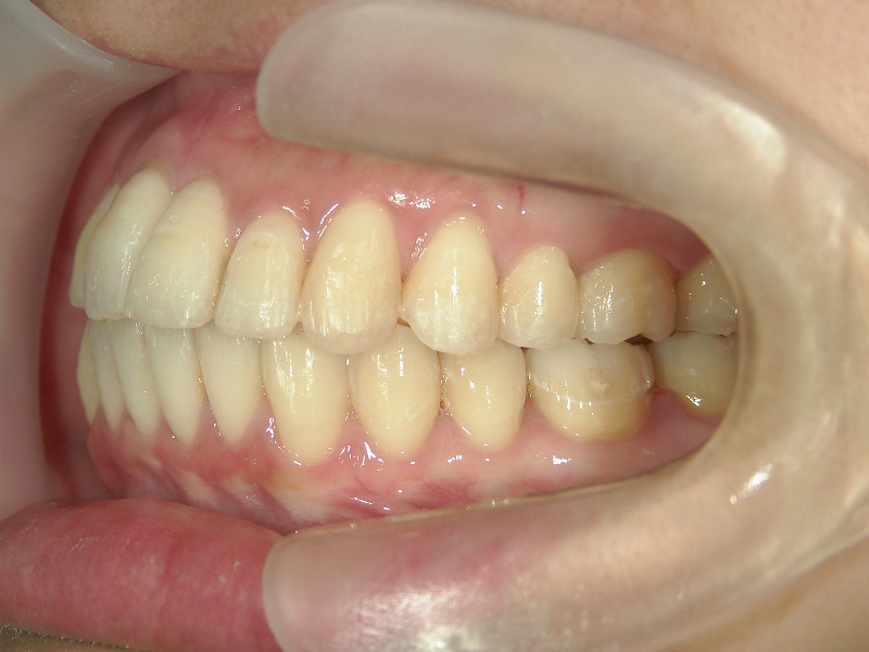
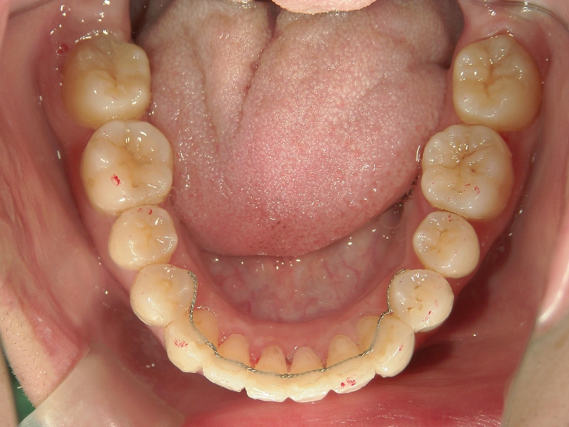
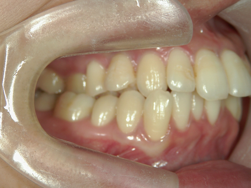
矯正歯科 治療後 E-AMXというセラミックにて左右上1番を被せ直しました。

矯正_灰色.pngno.23_8204_治療後_上.jpg矯正_灰色.png

no.23_8204_治療後_右.jpgno.23_8204_治療後_正面.jpgno.23_8204_治療後_左.jpg

矯正_灰色.pngno.23_8204_治療後_下.jpg矯正_灰色.png