全顎矯正治療例14 of 浜松市 矯正審美歯科センター

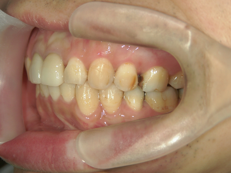
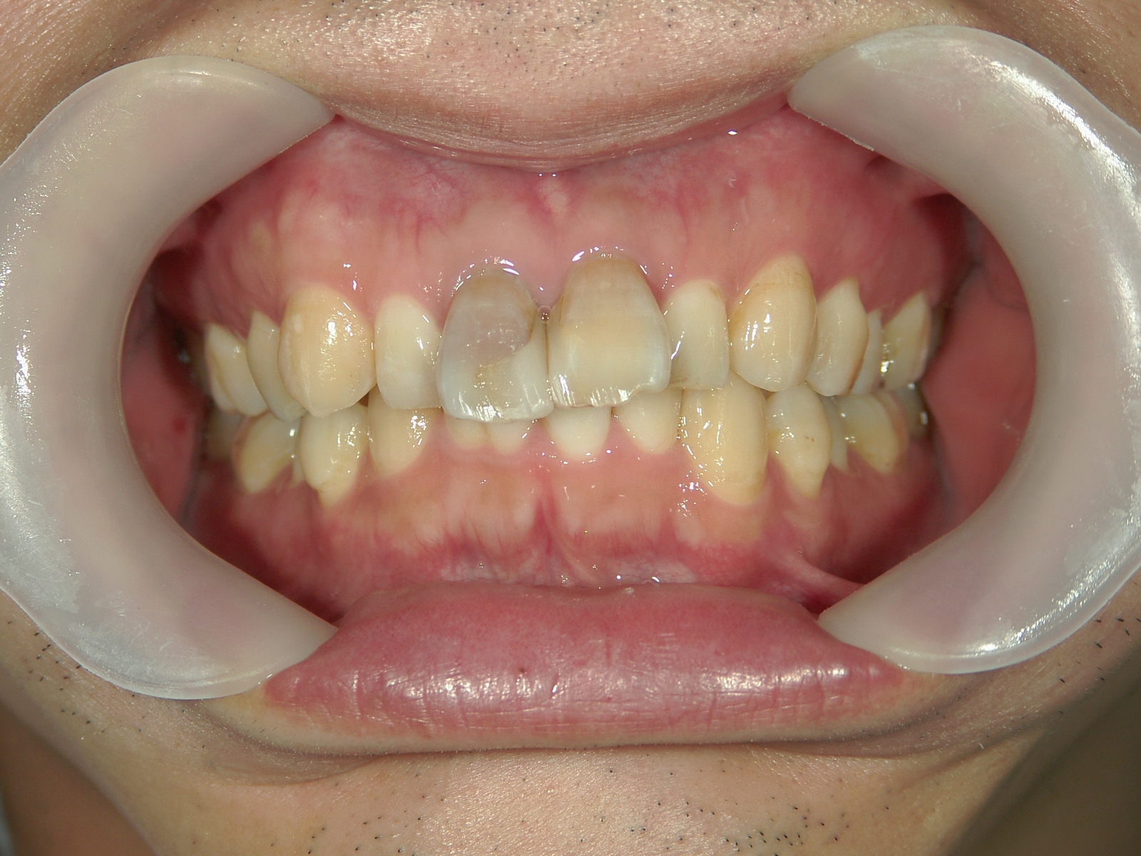
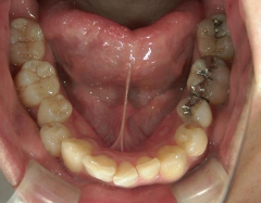
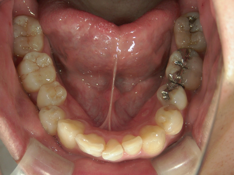
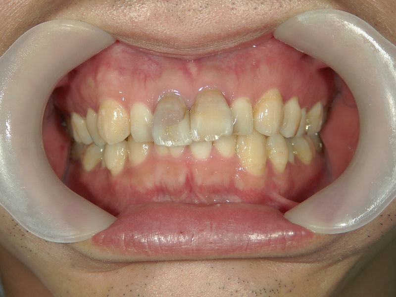
矯正歯科 治療前矯正歯科 治療前

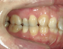
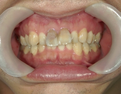
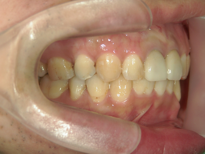
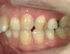
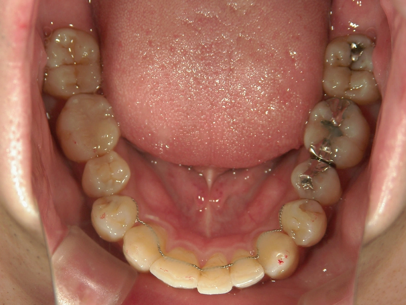
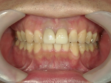
矯正歯科 治療後矯正歯科 全顎ワイヤー矯正 治療後矯正歯科(全顎ワイヤー矯正)治療後

全顎ワイヤー矯正 症例(14)

33歳男性 浜松市東区在住
治療期間1年7ヶ月
主訴:前歯の歯並びが気になる。

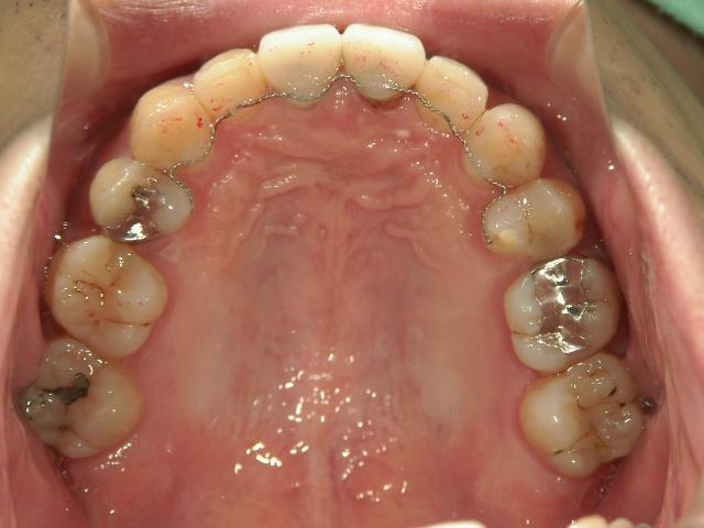
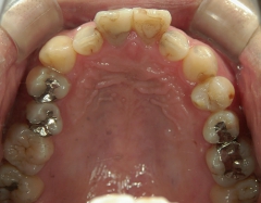
矯正歯科 治療前 上顎の左右4番計2本を抜歯し叢生を改善。

矯正_灰色.pngno.24_8228_治療前_上.jpg矯正_灰色.png

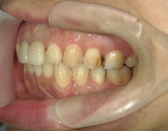
no.24_8228_治療前_右.jpgno.24_8228_治療前_正面.jpgno.24_8228_治療前_左.jpg

矯正_灰色.pngno.24_8228_治療前_下.jpg矯正_灰色.png

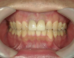
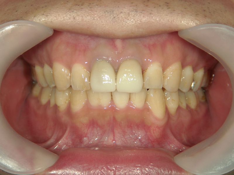
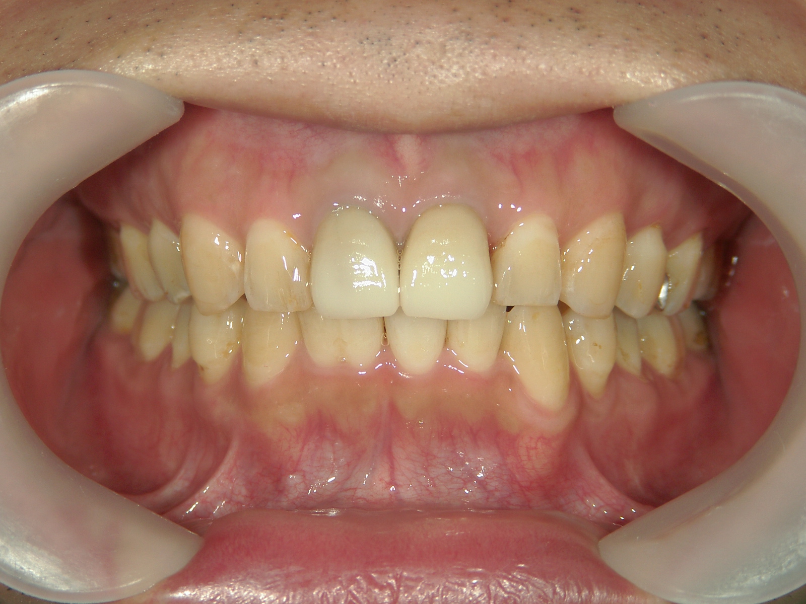
矯正歯科 治療後 E-AMXというセラミックにて左右上1番を被せ直しました。

矯正_灰色.pngno.24_8228_治療後_上.jpg矯正_灰色.png

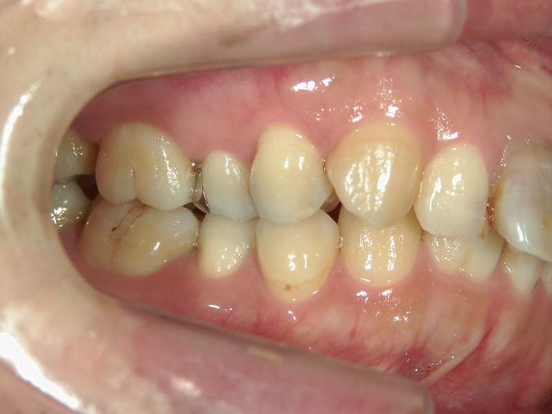
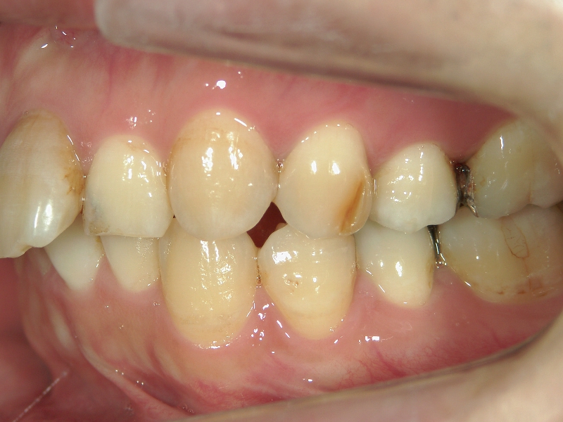
no.24_8228_治療後_右.jpgno.24_8228_治療後_正面.jpgno.24_8228_治療後_左.jpg

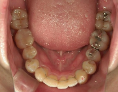
矯正_灰色.pngno.24_8228_治療後_下.jpg矯正_灰色.png