全顎矯正治療例15 of 浜松市 矯正審美歯科センター

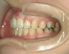
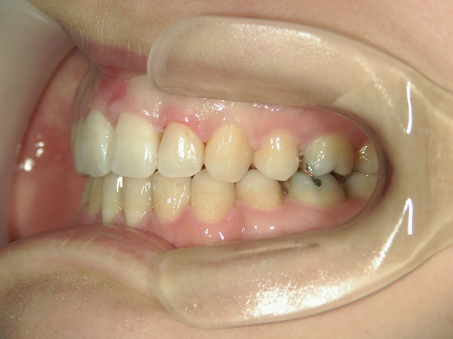
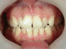
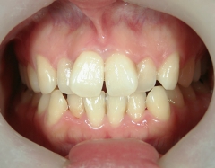
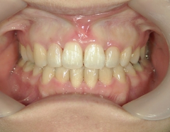
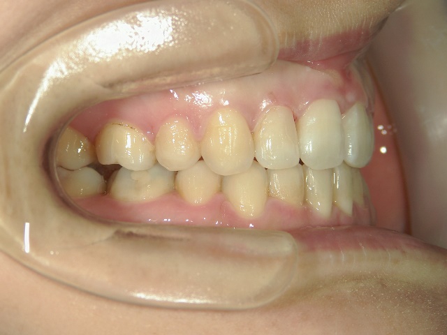
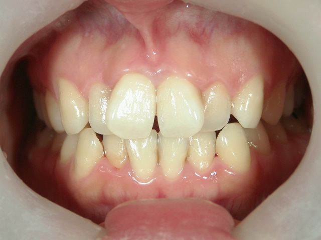
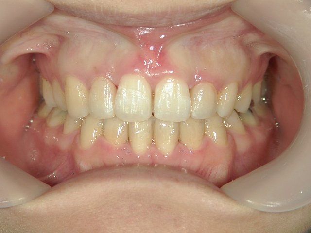
矯正歯科 治療前矯正歯科 治療前

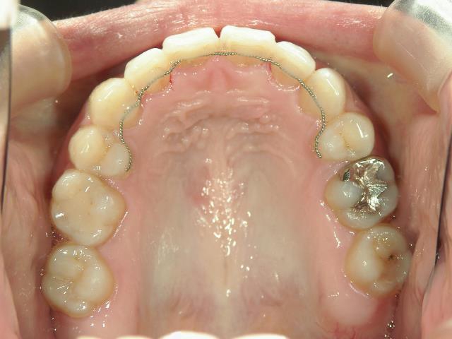
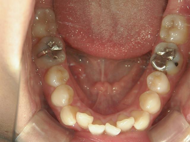
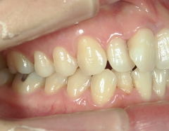
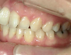
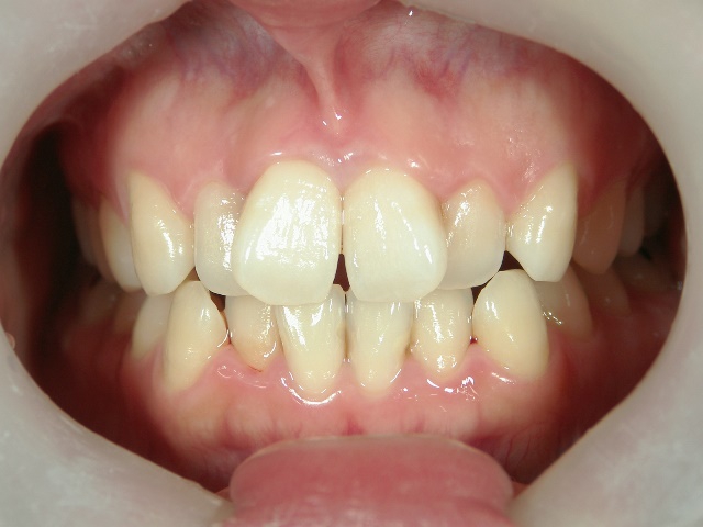
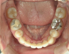
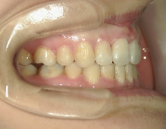
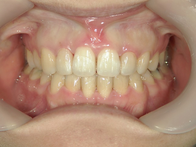
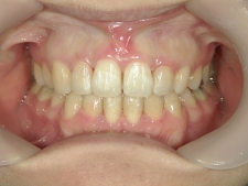
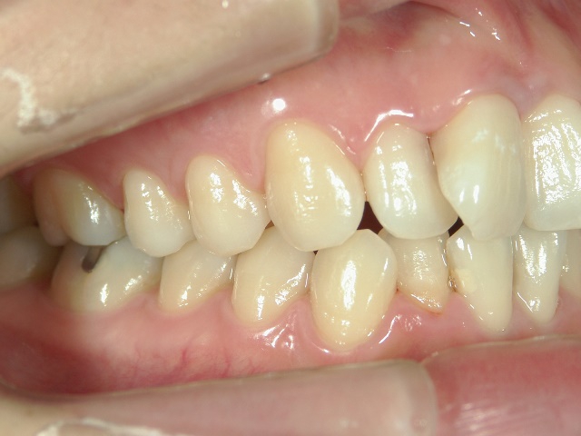
矯正歯科 治療後矯正歯科 全顎ワイヤー矯正 治療後矯正歯科(全顎ワイヤー矯正)治療後

全顎ワイヤー矯正 症例(15)

26歳男性 浜松市南区在住
治療期間2年9ヶ月
主訴:前歯の歯並びが気になる。

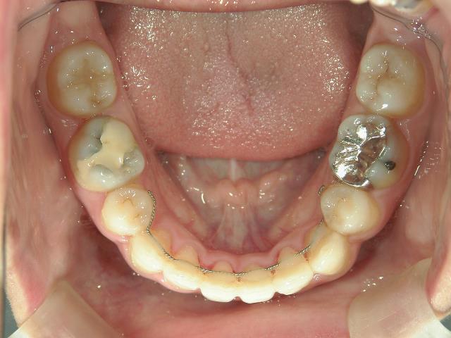
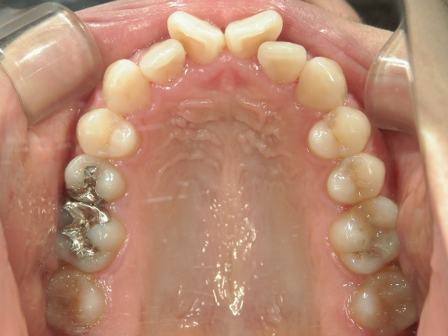
矯正歯科 治療前 上顎の左右4番、下顎の左右5番の計4本を抜歯 叢生改善

矯正_灰色.pngno.25_7508_治療前_上.jpg矯正_灰色.png

no.25_7508_治療前_右.jpgno.25_7508_治療前_正面.jpgno.25_7508_治療前_左.jpg

矯正_灰色.pngno.25_7508_治療前_下.jpg矯正_灰色.png

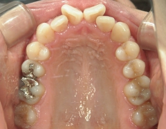
矯正歯科 治療後  

矯正_灰色.pngno.25_7508_治療後_上.jpg矯正_灰色.png

no.25_7508_治療後_右.jpgno.25_7508_治療後_正面.jpgno.25_7508_治療後_左.jpg

矯正_灰色.pngno.25_7508_治療後_下.jpg矯正_灰色.png