全顎矯正治療例16 of 浜松市 矯正審美歯科センター

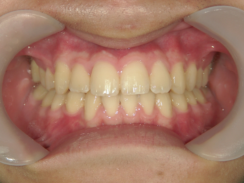
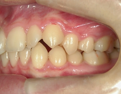
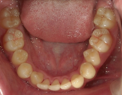
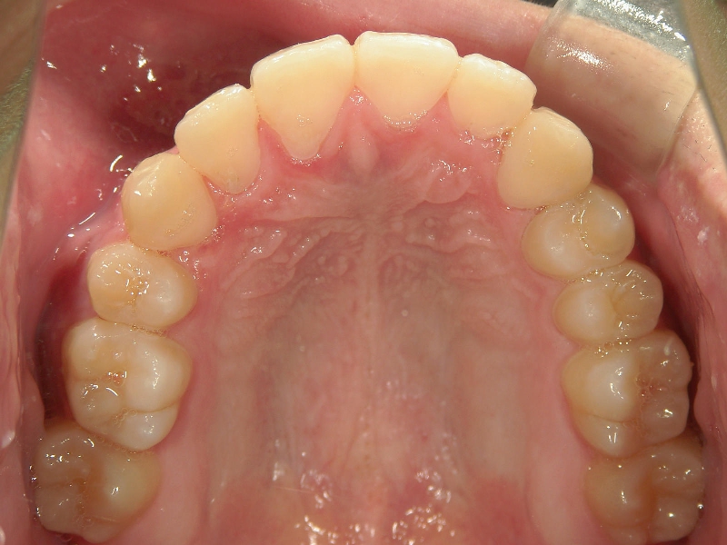
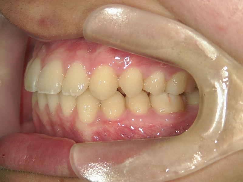
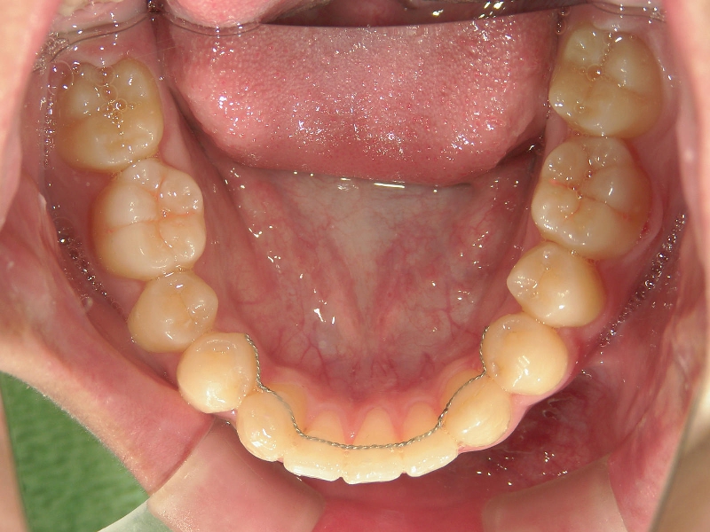
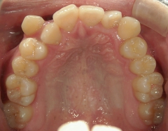
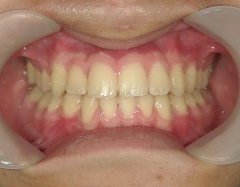
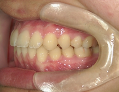
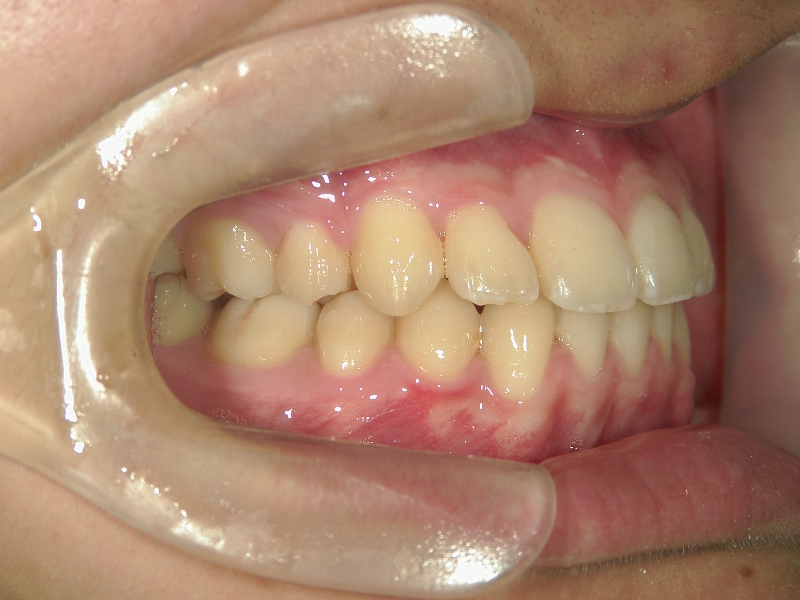
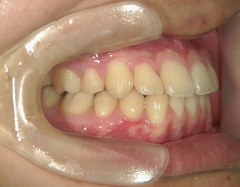
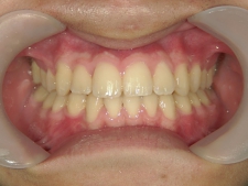
矯正歯科 全顎ワイヤー矯正 治療後矯正歯科(全顎ワイヤー矯正)治療後

矯正歯科 治療後矯正歯科 全顎ワイヤー矯正 治療後矯正歯科(全顎ワイヤー矯正)治療後

全顎ワイヤー矯正 症例(16)

16歳男性 浜松市南区在住
治療期間1年9ヶ月
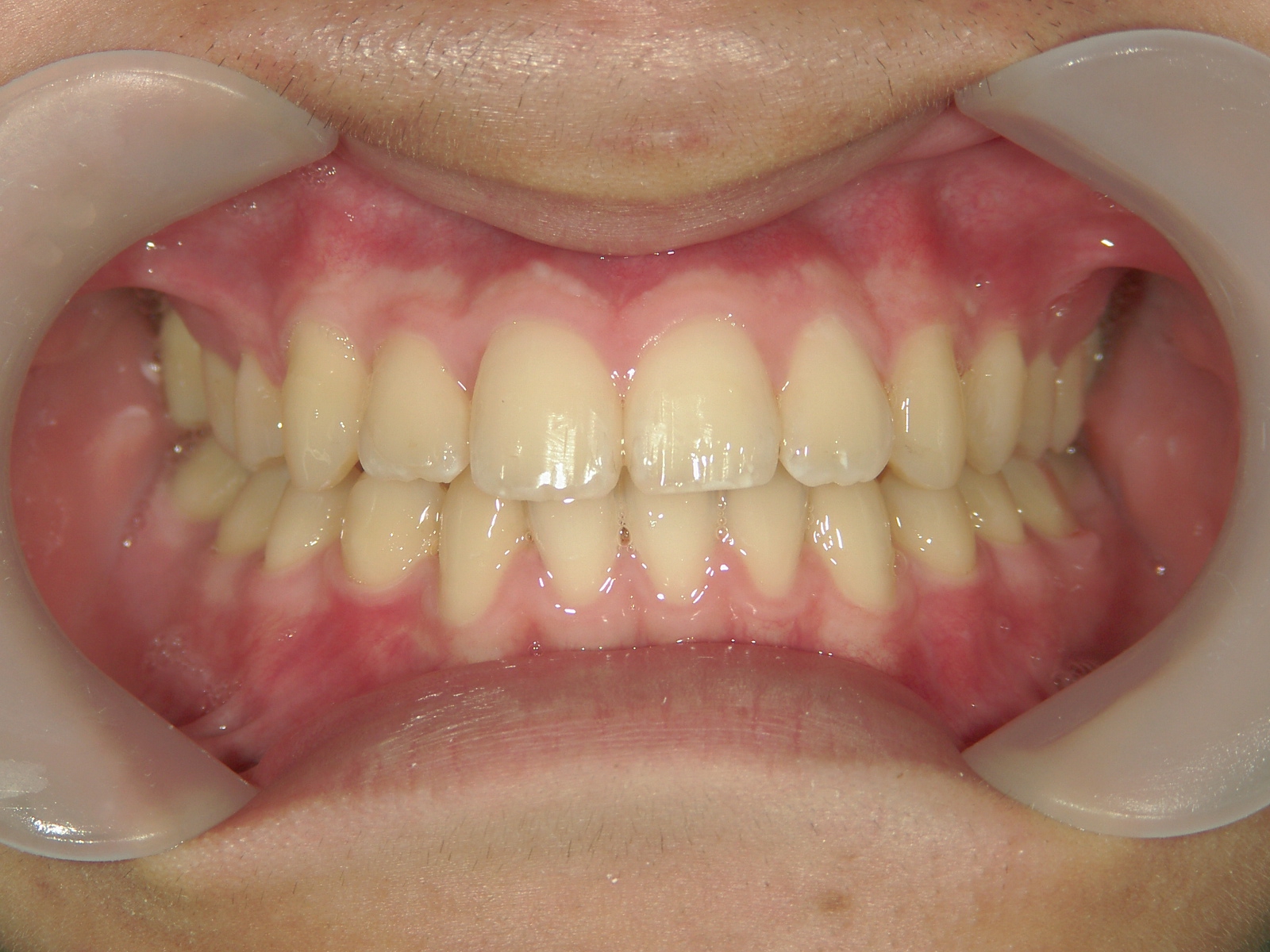
主訴:転んだ時に、右上3番(八重歯)に当たって怪我をしたことがあるので治したい。

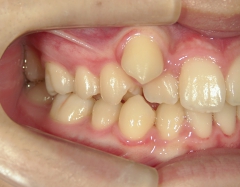
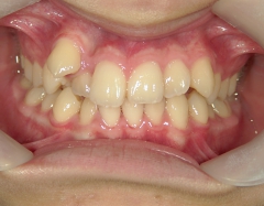
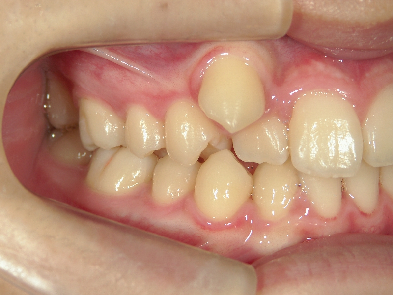
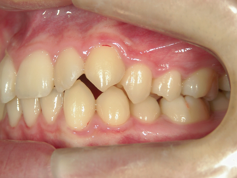
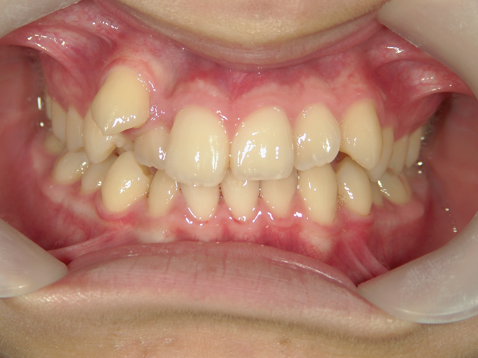
矯正歯科 治療前  右上4番 1本抜歯( 右上3番 唇側転位改善の為)

矯正_灰色.pngno.26_8432_治療前_上.jpg矯正_灰色.png

no.26_8432_治療前_右.jpgno.26_8432_治療前_正面.jpgno.26_8432_治療前_左.jpg

矯正_灰色.pngno.26_8432_治療前_下.jpg矯正_灰色.png

矯正歯科 治療後  

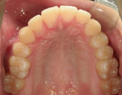
矯正_灰色.pngno.26_8432_治療後_上.jpg矯正_灰色.png

no.26_8432_治療後_右.jpgno.26_8432_治療後_正面.jpgno.26_8432_治療後_左.jpg

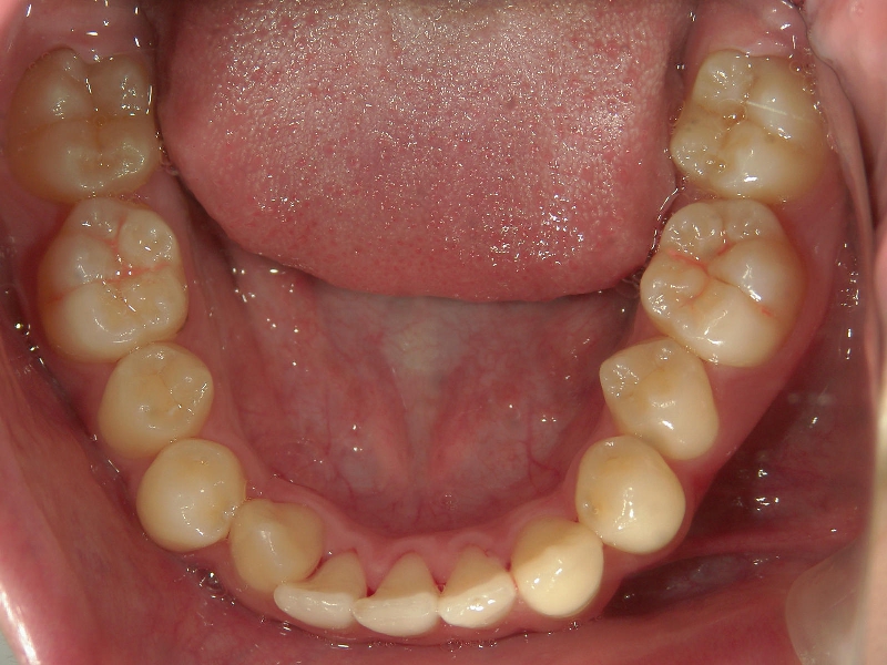
矯正_灰色.pngno.26_8432_治療後_下.jpg矯正_灰色.png