全顎矯正治療例17 of 浜松市 矯正審美歯科センター

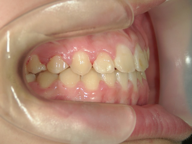
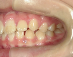
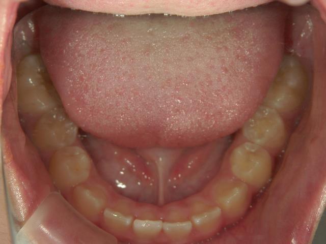
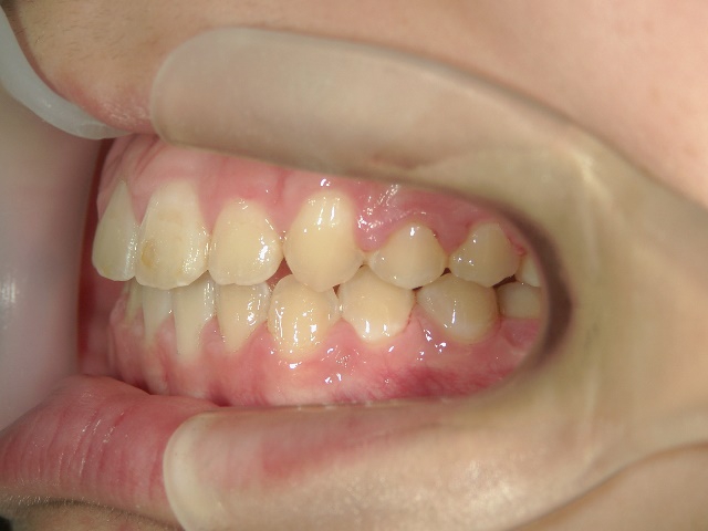
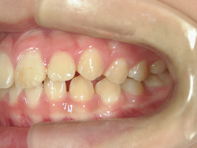
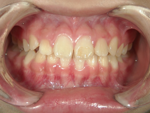
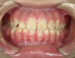
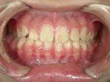
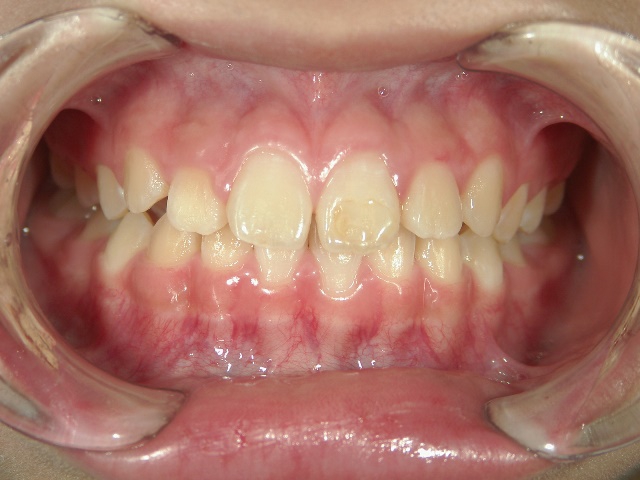
矯正歯科 治療前矯正歯科 治療前

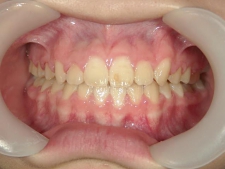
矯正歯科 治療後矯正歯科 全顎ワイヤー矯正 治療後矯正歯科(全顎ワイヤー矯正)治療後

全顎ワイヤー矯正 症例(17)

12歳女性 浜松市中区在住
治療期間1年4ヶ月
主訴:前歯が出ている。下顎がすきっ歯。

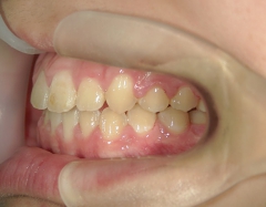
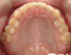
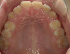
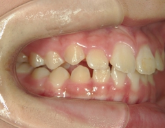
矯正歯科 治療前  非抜歯

矯正_灰色.pngno.27_8596_治療前_上.jpg矯正_灰色.png

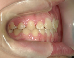
no.27_8596_治療前_右.jpgno.27_8596_治療前_正面.jpgno.27_8596_治療前_左.jpg

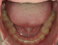
矯正_灰色.pngno.27_8596_治療前_下.jpg矯正_灰色.png

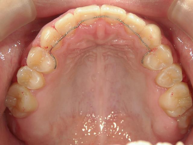
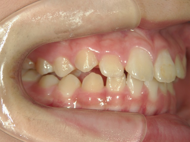
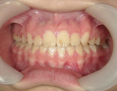
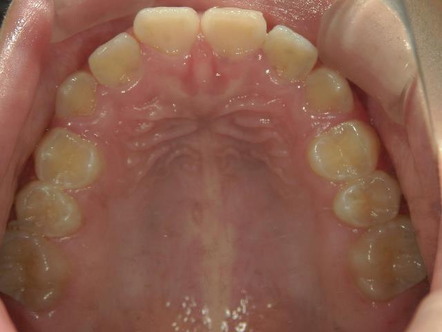
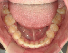
矯正歯科 治療後  

矯正_灰色.pngno.27_8596_治療後_上.jpg矯正_灰色.png

no.27_8596_治療後_右.jpgno.27_8596_治療後_正面.jpgno.27_8596_治療後_左.jpg

矯正_灰色.pngno.27_8596_治療後_下.jpg矯正_灰色.png