全顎矯正治療例18 of 浜松市 矯正審美歯科センター

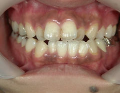
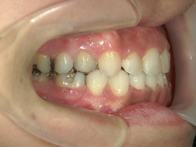
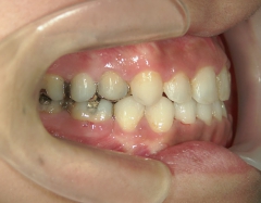
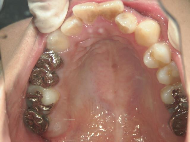
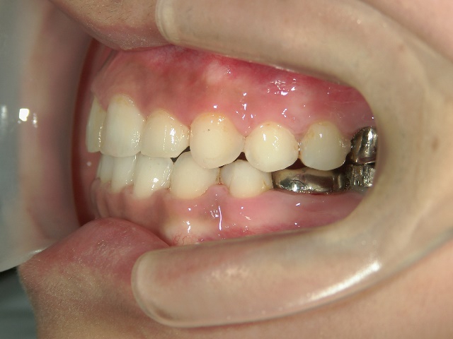
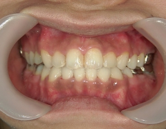
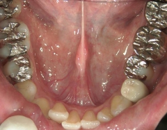
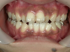
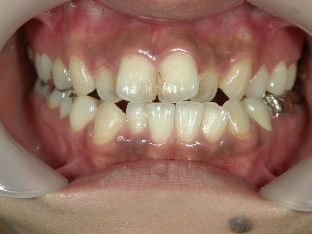
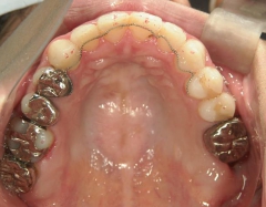
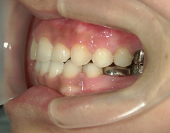
矯正歯科 治療前矯正歯科 治療前

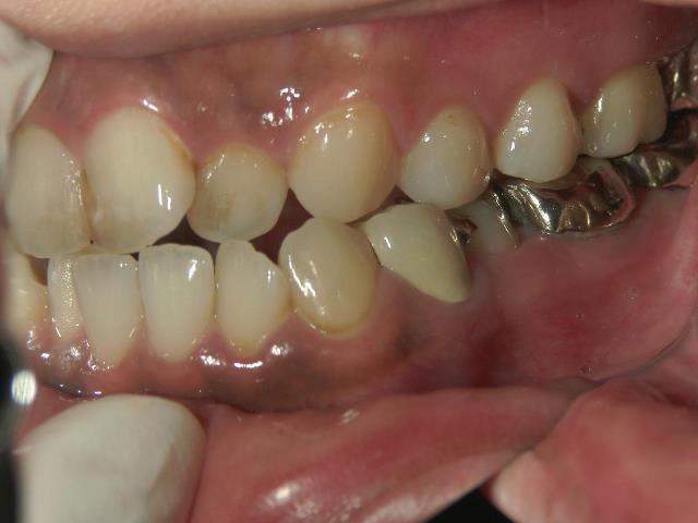
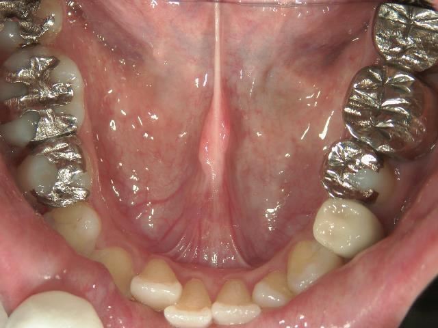
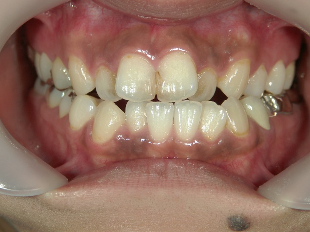
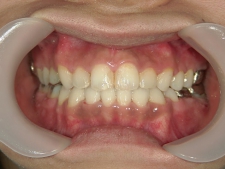
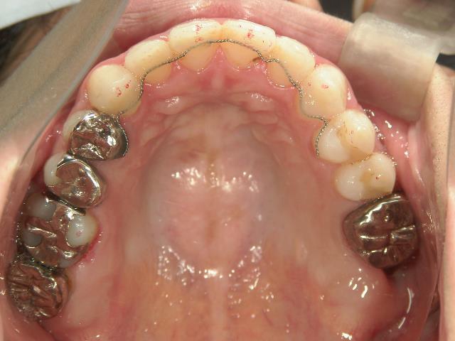
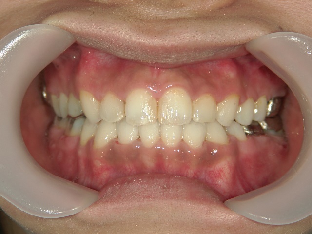
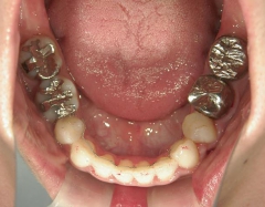
矯正歯科 治療後矯正歯科 全顎ワイヤー矯正 治療後矯正歯科(全顎ワイヤー矯正)治療後

全顎ワイヤー矯正 症例(18)

30歳女性 浜松市北区在住
治療期間3年4ヶ月
主訴:前歯の歯並びが気になる。

矯正歯科 治療前 上顎を装置(QH)で拡大後ワイヤー矯正へ移行、右下5番左下4番 計2本抜歯叢生改善

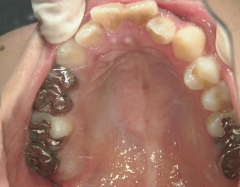
矯正_灰色.pngno.28_6958_治療前_上.jpg矯正_灰色.png

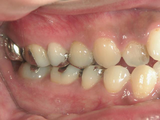
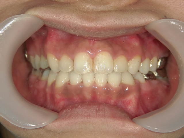
no.28_6958_治療前_右.jpgno.28_6958_治療前_正面.jpgno.28_6958_治療前_左.jpg

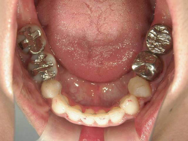
矯正_灰色.pngno.28_6958_治療前_下.jpg矯正_灰色.png

矯正歯科 治療後  

矯正_灰色.pngno.28_6958_治療後_上.jpg矯正_灰色.png

no.28_6958_治療後_右.jpgno.28_6958_治療後_正面.jpgno.28_6958_治療後_左.jpg

矯正_灰色.pngno.28_6958_治療後_下.jpg矯正_灰色.png