全顎矯正治療例19 of 浜松市 矯正審美歯科センター

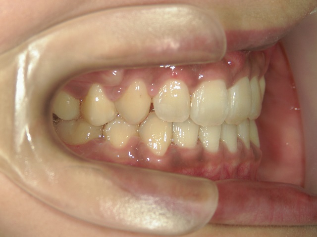
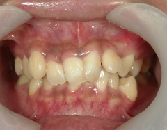
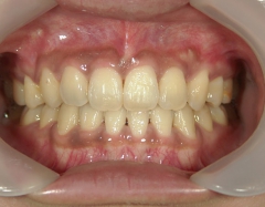
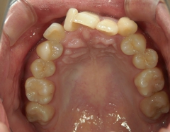
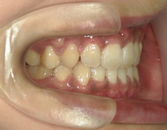
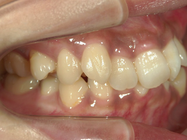
矯正歯科 治療前矯正歯科 治療前

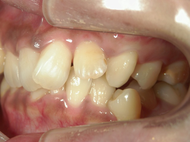
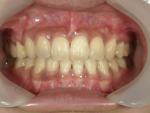
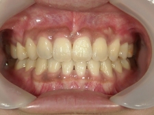
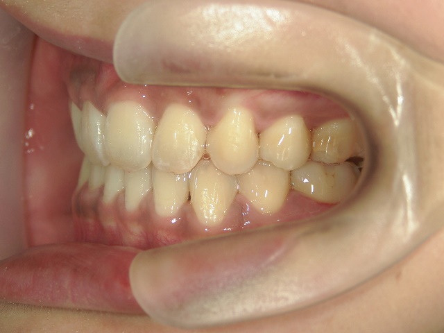
矯正歯科 治療後矯正歯科 全顎ワイヤー矯正 治療後矯正歯科(全顎ワイヤー矯正)治療後

全顎ワイヤー矯正 症例(19)

26歳女性 浜松市西区在住
治療期間2年8ヶ月
主訴:噛み合わせがおかしい。

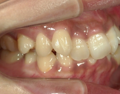
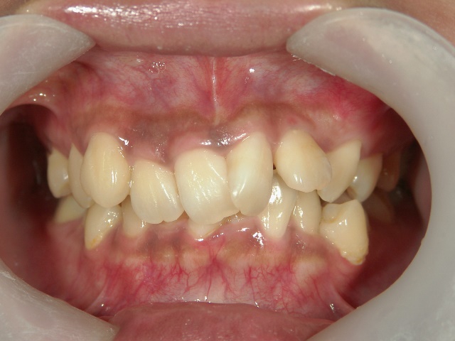
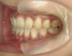
矯正歯科 治療前 右上下4番、左上3番、左下4番 計4本抜歯 (左上3番埋伏歯)叢生改善

矯正_灰色.pngno.29_7780_治療前_上.jpg矯正_灰色.png

no.29_7780_治療前_右.jpgno.29_7780_治療前_正面.jpgno.29_7780_治療前_左.jpg

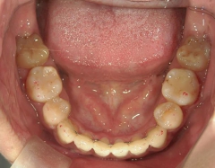
矯正_灰色.pngno.29_7780_治療前_下.jpg矯正_灰色.png

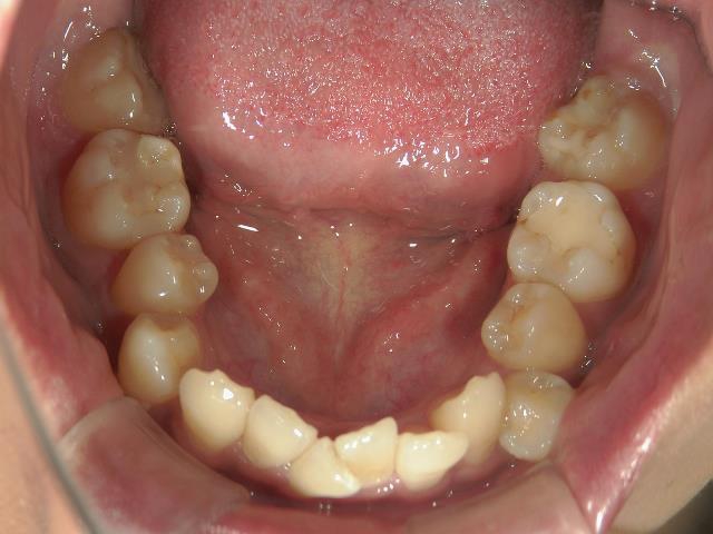
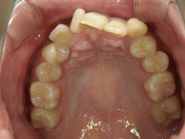
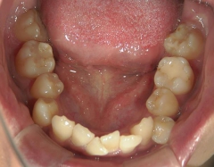
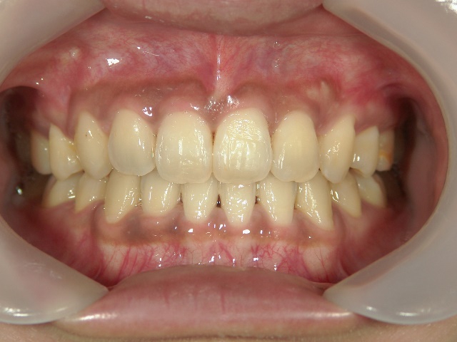
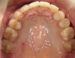
矯正歯科 治療後  

矯正_灰色.pngno.29_7780_治療後_上.jpg矯正_灰色.png

no.29_7780_治療後_右.jpgno.29_7780_治療後_正面.jpgno.29_7780_治療後_左.jpg

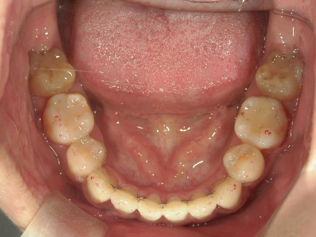
矯正_灰色.pngno.29_7780_治療後_下.jpg矯正_灰色.png