全顎矯正治療例20 of 浜松市 矯正審美歯科センター

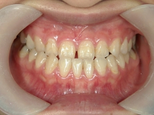
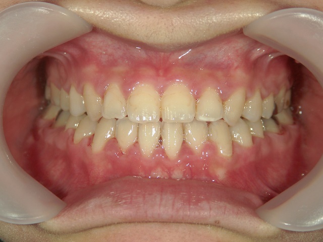
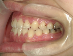
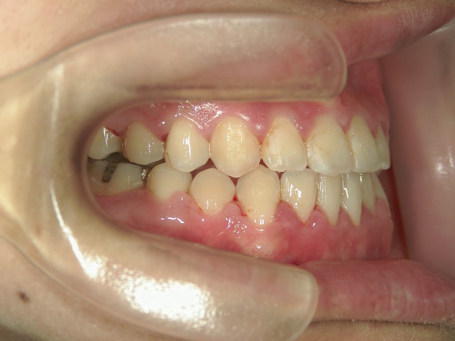
矯正歯科 治療前矯正歯科 治療前

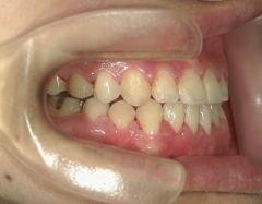
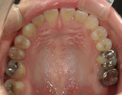
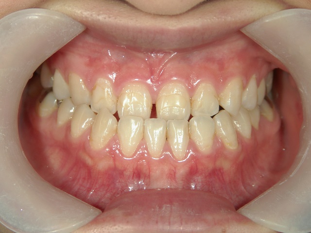
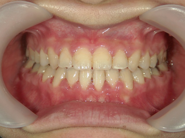
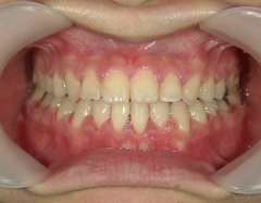
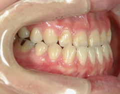
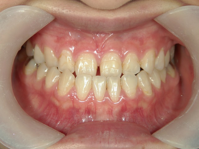
矯正歯科 治療後矯正歯科 全顎ワイヤー矯正 治療後矯正歯科(全顎ワイヤー矯正)治療後

全顎ワイヤー矯正 症例(20)

24歳女性 袋井市在住
治療期間2年10カ月
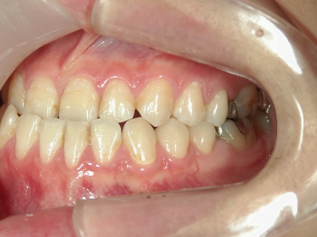
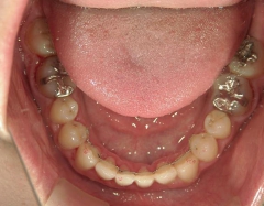
主訴:受け口(反対咬合)を治したい

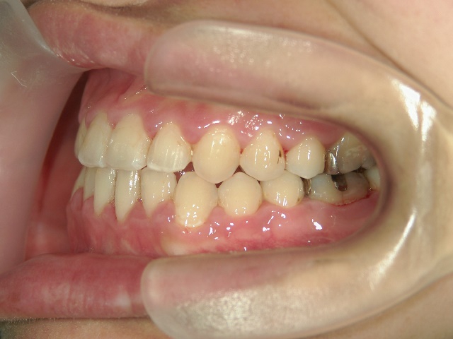
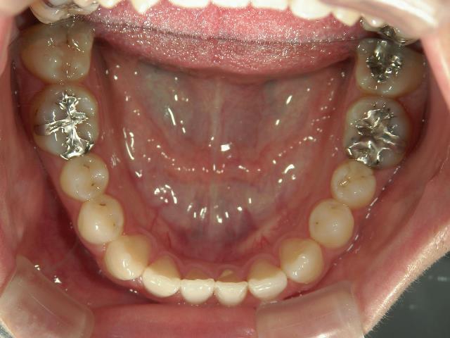
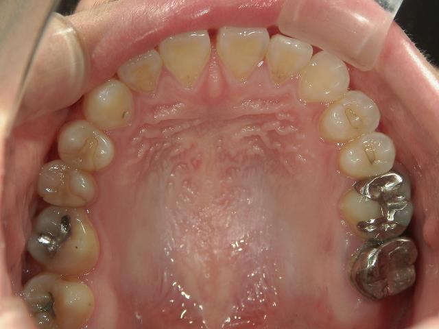
矯正歯科 治療前 急速拡大装置で上顎を広げた後、ワイヤーへ移行 非抜歯  

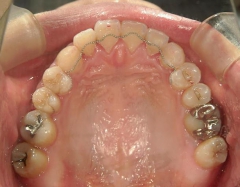
矯正_灰色.pngno.31_7964_治療前_上 .JPG矯正_灰色.png

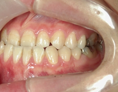
no.31_7964_治療前_右 .JPGno.31_7964_治療前_正面 .JPGno.31_7964_治療前_左 .JPG

矯正_灰色.pngno.31_7964_治療前_下.JPG矯正_灰色.png

矯正歯科 治療後  

矯正_灰色.pngno.31_7964_治療後_上.JPG矯正_灰色.png

no.31_7964_治療後_右 .JPGno.31_7964_治療後_正面 .JPGno.31_7964_治療後_左.JPG

矯正_灰色.pngno.31_7964_治療後_下.JPG矯正_灰色.png