全顎矯正治療例21 of 浜松市 矯正審美歯科センター

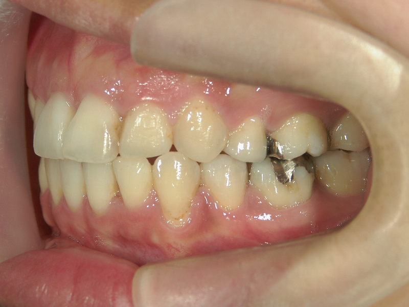
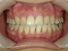
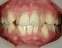
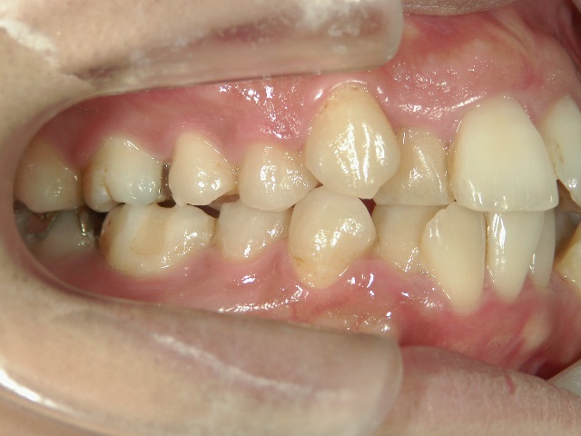
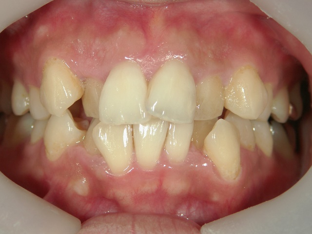
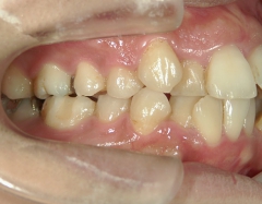
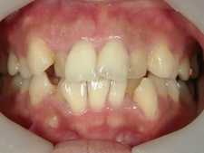
矯正歯科 治療前矯正歯科 治療前

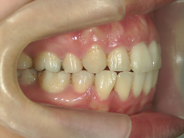
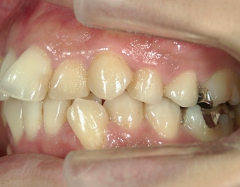
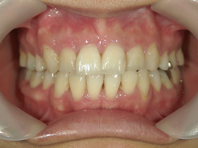
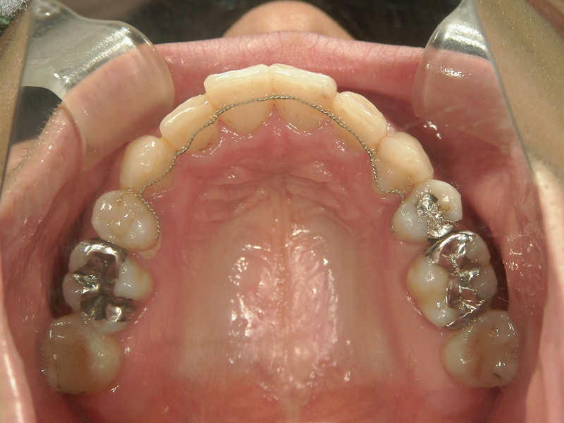
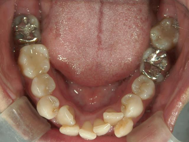
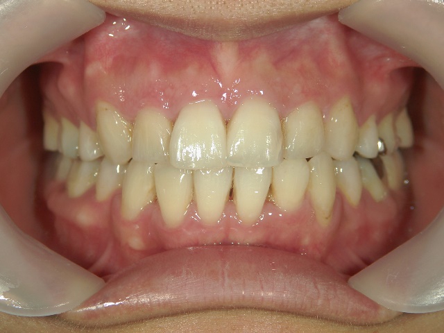
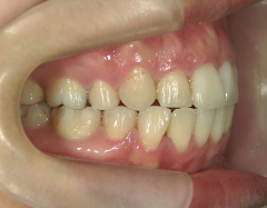
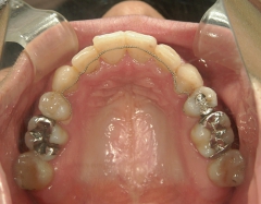
矯正歯科 治療後矯正歯科 全顎ワイヤー矯正 治療後矯正歯科(全顎ワイヤー矯正)治療後

全顎ワイヤー矯正 症例(21

26歳女性 浜松市浜北区在住
治療期間2年
主訴:上下の前歯の歯並びが悪いのが気になる

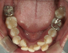
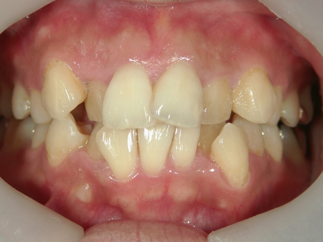
矯正歯科 治療前 上下左右4番 計4本を抜歯して叢生を改善しました。

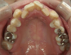
矯正_灰色.pngno.31_1962_治療前_上.JPG矯正_灰色.png

no.31_1962_治療前_右.JPGno.31_1962_治療前_正面.JPGno.31_1962_治療前_左.JPG

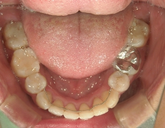
矯正_灰色.pngno.31_1962_治療前_下.JPG矯正_灰色.png

矯正歯科 治療後  

矯正_灰色.pngno.31_1962_治療後_上.JPG矯正_灰色.png

no.31_1962_治療後_右.JPGno.31_1962_治療後_正面.JPGno.31_1962_治療後_左.JPG

矯正_灰色.pngno.31_1962_治療後_下.JPG矯正_灰色.png