全顎矯正治療例22 of 浜松市 矯正審美歯科センター

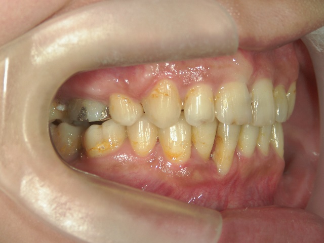
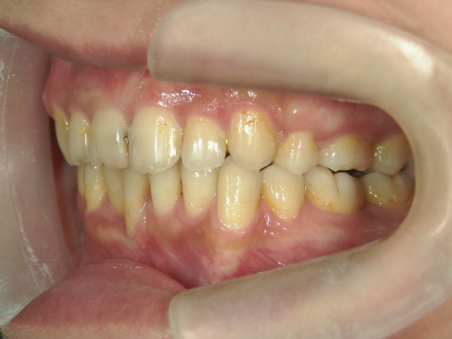
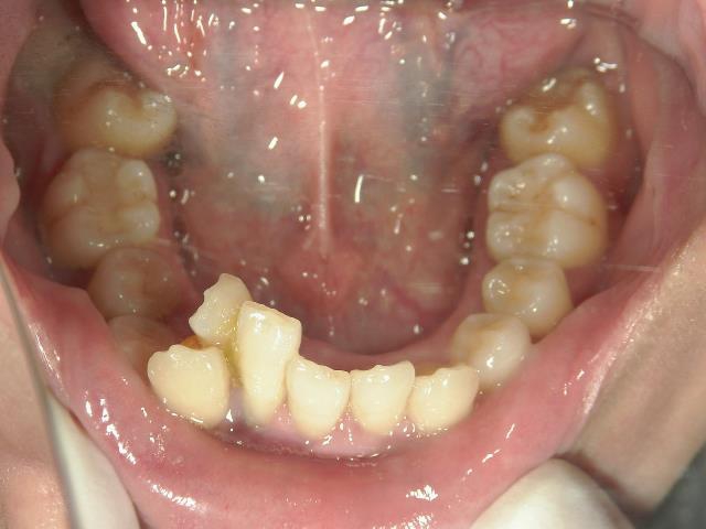
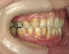
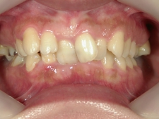
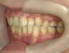
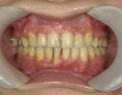
矯正歯科 治療前矯正歯科 治療前

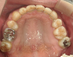
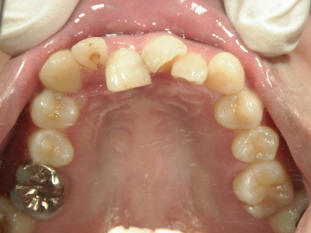
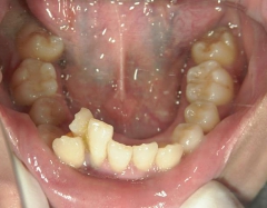
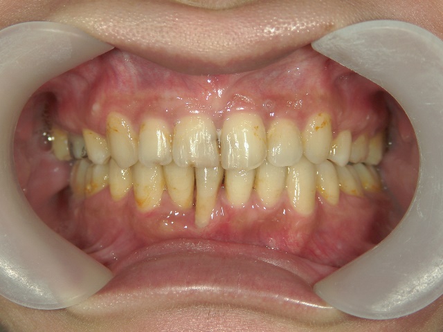
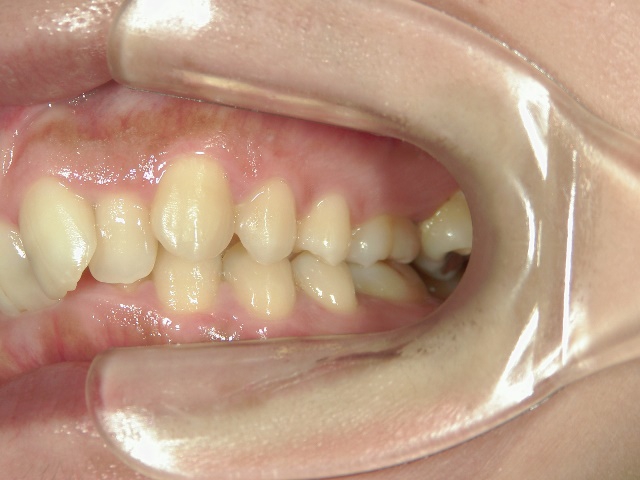
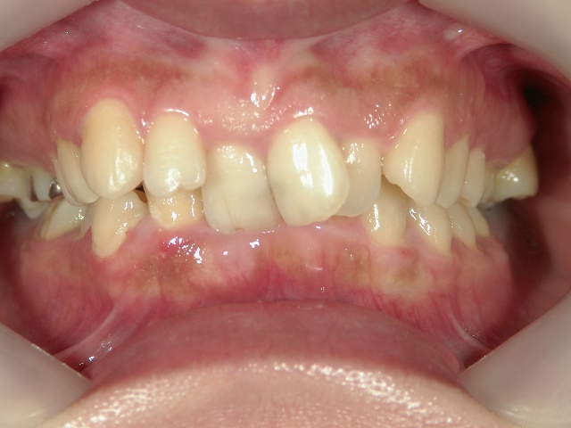
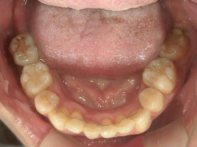
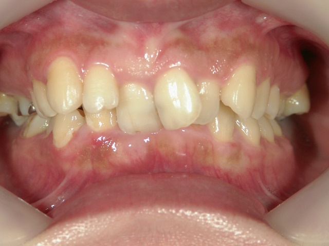
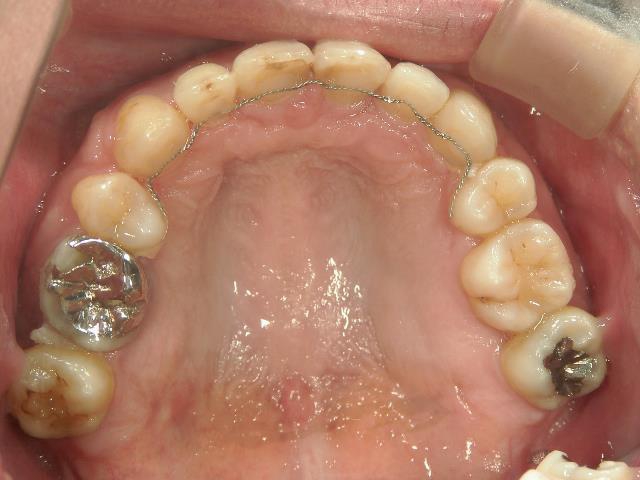
矯正歯科 治療後矯正歯科 全顎ワイヤー矯正 治療後矯正歯科(全顎ワイヤー矯正)治療後

全顎ワイヤー矯正 症例(22

35歳女性 浜松市浜北区在住
治療期間4年1ヶ月
主訴:前歯がでこぼこ、捻転している

矯正歯科 治療前 上下左右4番 計4本を抜歯して、叢生を改善しました。

矯正_灰色.pngno.33_7190_治療前_上.JPG矯正_灰色.png

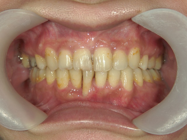
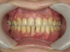
no.33_7190_治療前_右.JPGno.33_7190_治療前_正面.JPGno.33_7190_治療前_左.JPG

矯正_灰色.pngno.33_7190_治療前_下.JPG矯正_灰色.png

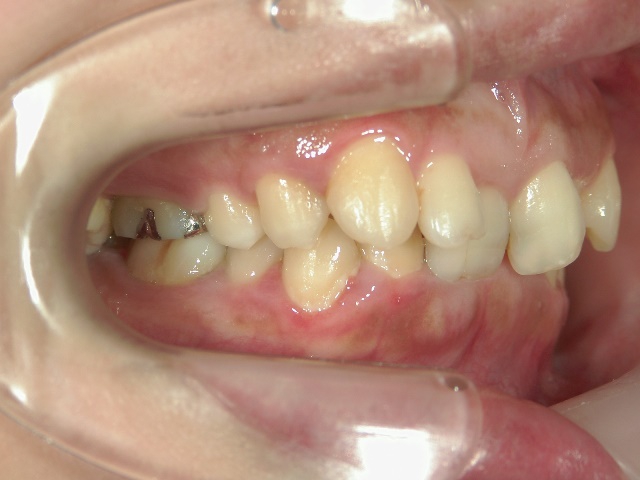
矯正歯科 治療後  

矯正_灰色.pngno.33_7190_治療後_上.JPG矯正_灰色.png

no.33_7190_治療後_右.JPGno.33_7190_治療後_正面.JPGno.33_7190_治療後_左.JPG

矯正_灰色.pngno.33_7190_治療後_下.JPG矯正_灰色.png