プチ矯正治療例1 of 浜松市 矯正審美歯科センター

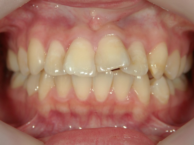
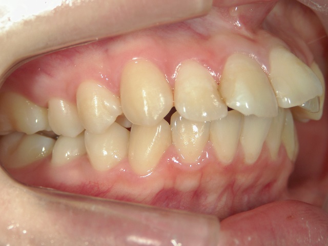
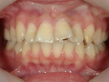
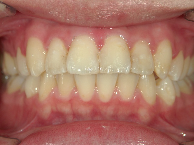
矯正歯科 治療前矯正歯科 治療前

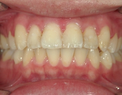
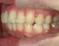
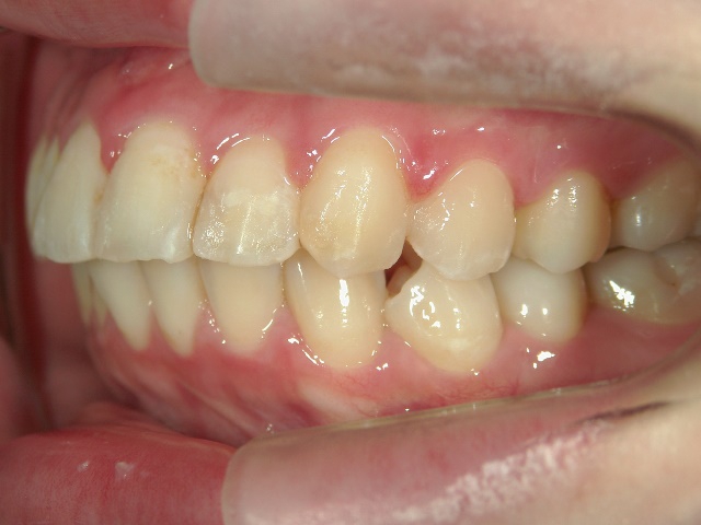
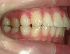
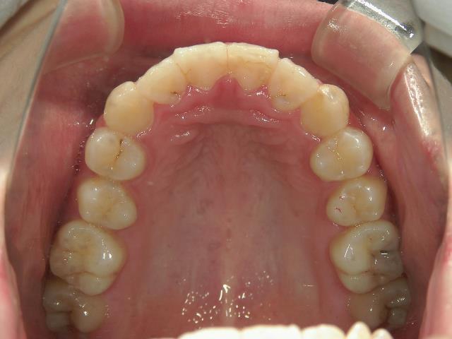
矯正歯科 治療後矯正歯科 プチワイヤー矯正 治療後矯正歯科(プチワイヤー矯正)治療後

プチワイヤー矯正 症例(1

19歳女性 浜松市中区在住
治療期間 8カ月

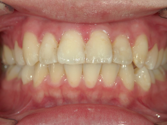
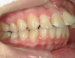
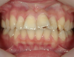
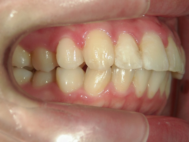
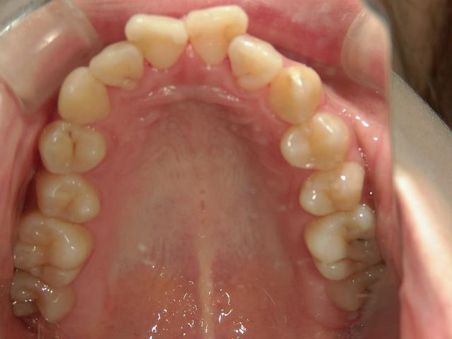
矯正歯科 治療前 
矯正_灰色.pngno.6_8296_治療前_上.jpg矯正_灰色.png

no.6_8296_治療前_右.jpgno.6_8296_治療前_正面.jpgno.6_8296_治療前_左.jpg

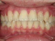
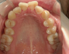
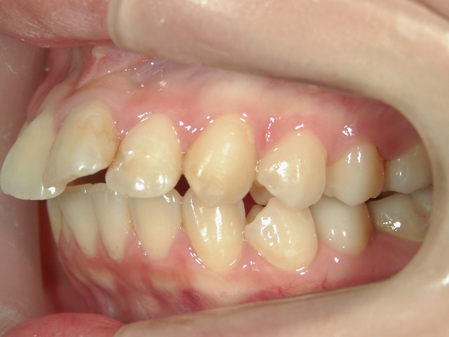
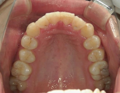
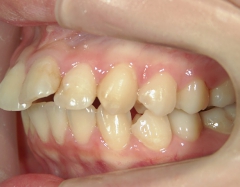
矯正歯科 治療後 
矯正_灰色.pngno.6_8296_治療後_上.jpg矯正_灰色.png

no.6_8296_治療後_右.jpgno.6_8296_治療後_正面.jpgno.6_8296_治療後_左.jpg