全顎矯正治療例4 of 浜松市 矯正審美歯科センター
Top
透明マウスピース矯正
治療例
クリニック
予約
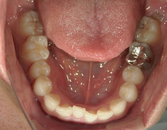
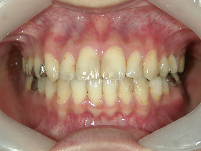
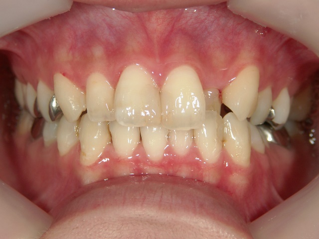
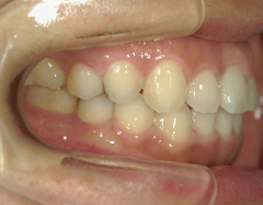
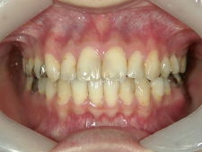
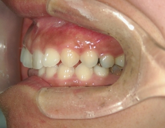
矯正歯科 治療前
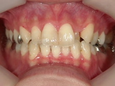
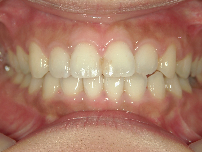
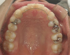
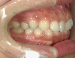
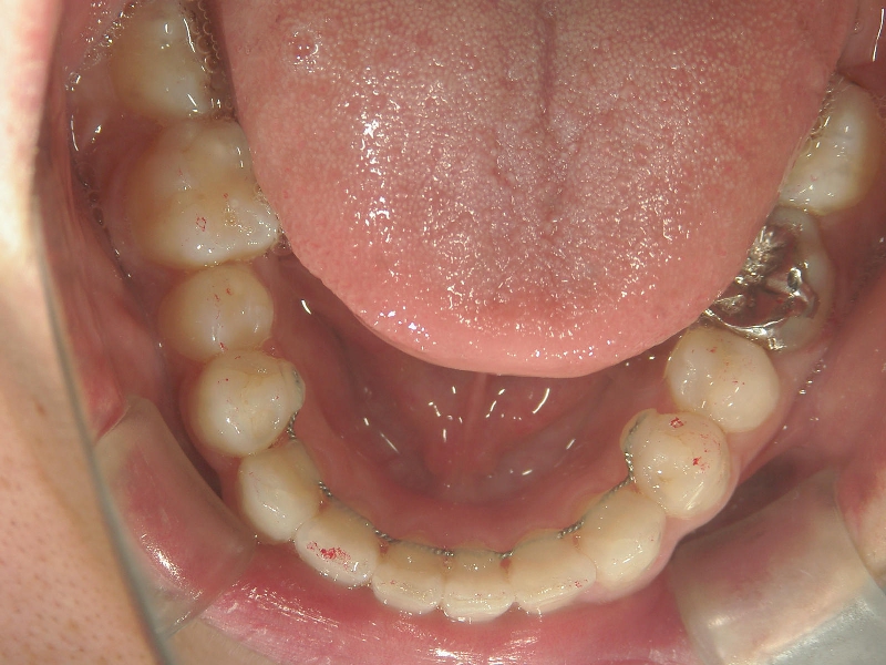
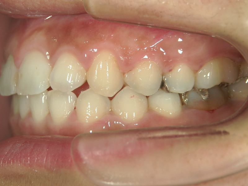
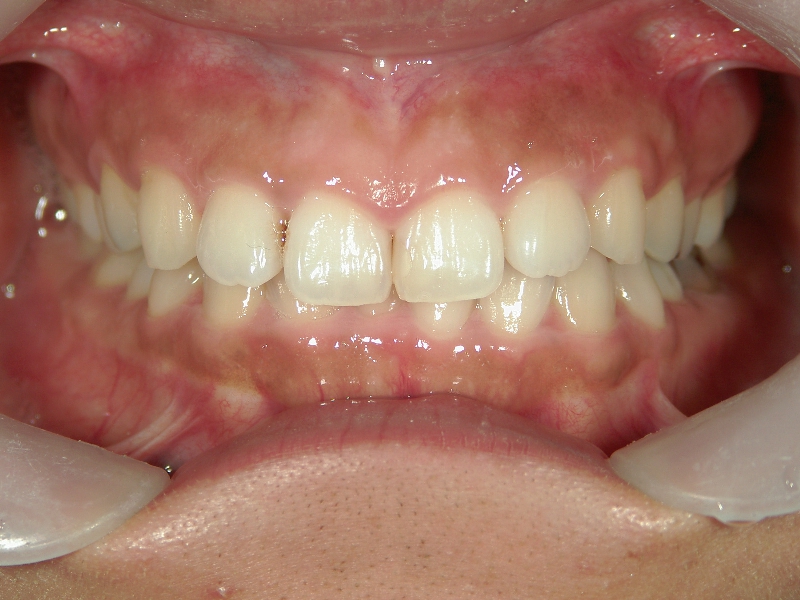
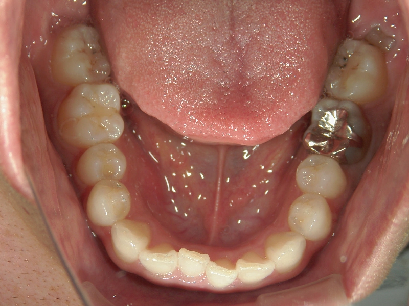
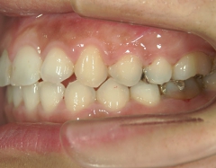
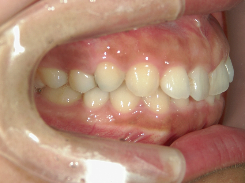
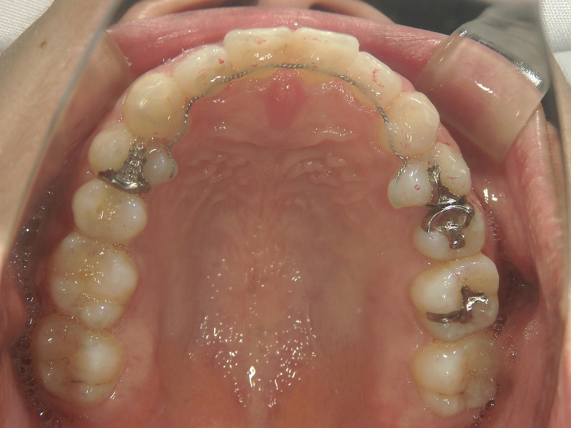
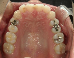
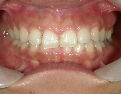
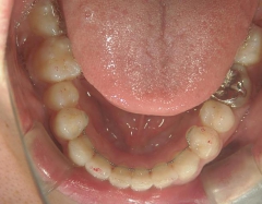
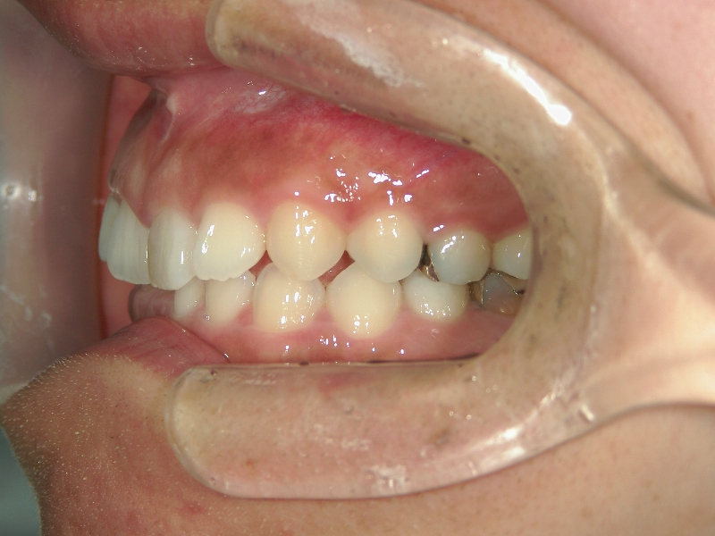
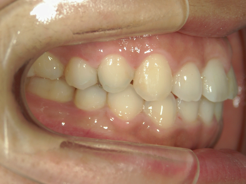
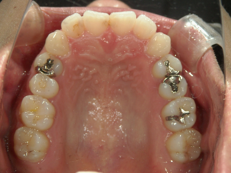
矯正歯科(全顎ワイヤー矯正)治療後
全顎ワイヤー矯正 症例(4
)
30歳女性 浜松市浜北区
在住
治療期間3
年8ヶ月
全顎矯正治療例3
全顎矯正治療例5
矯正歯科 治療前
矯正歯科 治療後
全顎矯正治療例3
HOME
全顎矯正治療例5
ページトップへ