全顎矯正治療例5 of 浜松市 矯正審美歯科センター
Top
透明マウスピース矯正
治療例
クリニック
予約
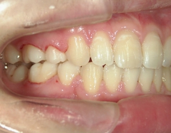
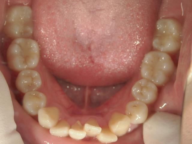
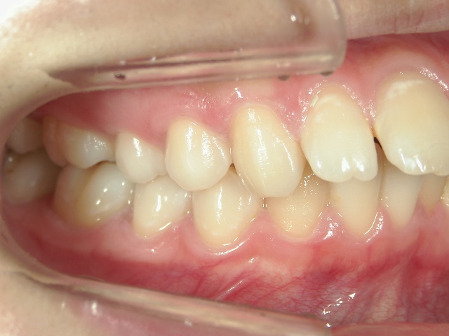
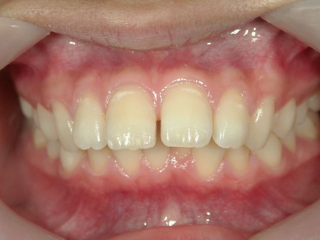
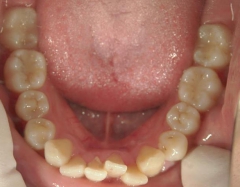
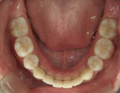
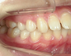
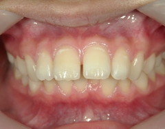
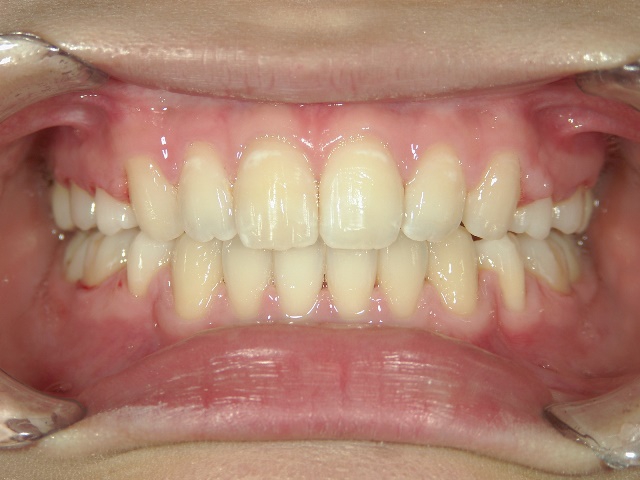
矯正歯科 治療前
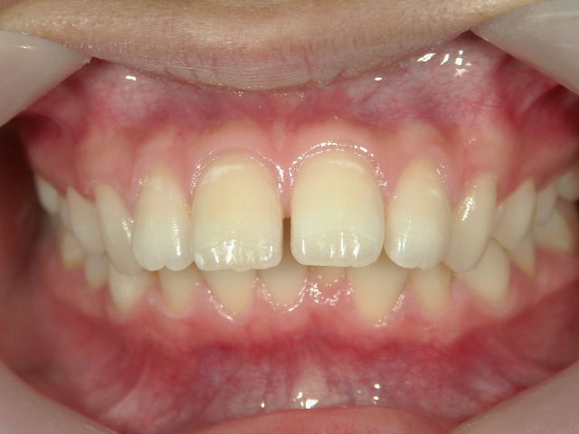
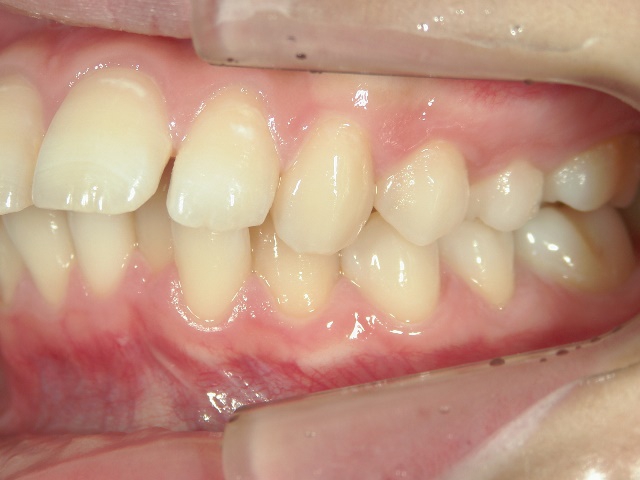
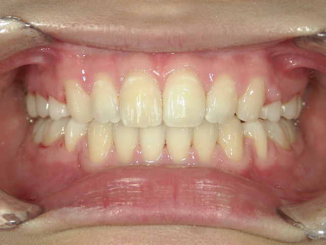
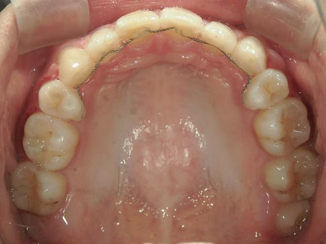
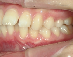
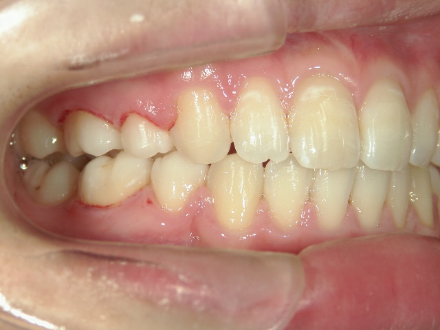
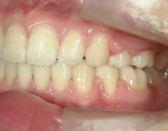
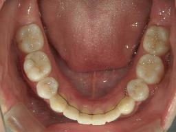
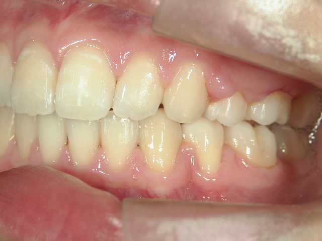
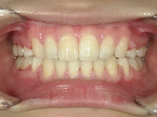
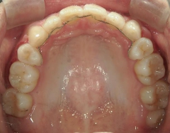
矯正歯科(全顎ワイヤー矯正)治療後
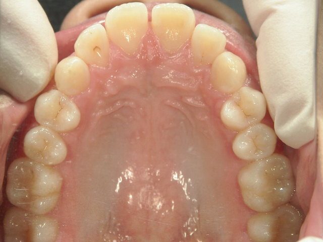
全顎ワイヤー矯正 症例(5)
20歳女性 浜松市東区
在住
治療期間2年4
ヶ月
全顎矯正治療例4
全顎矯正治療例6
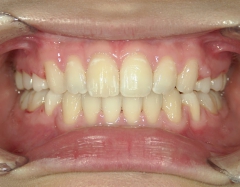
矯正歯科 治療前
矯正歯科 治療後
全顎矯正治療例4
HOME
全顎矯正治療例6
ページトップへ