全顎矯正治療例6 of 浜松市 矯正審美歯科センター
Top
透明マウスピース矯正
治療例
クリニック
予約
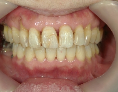
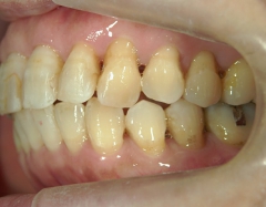
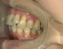
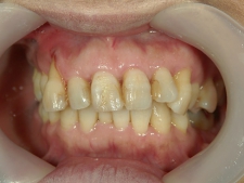
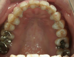
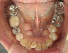
矯正歯科 治療前
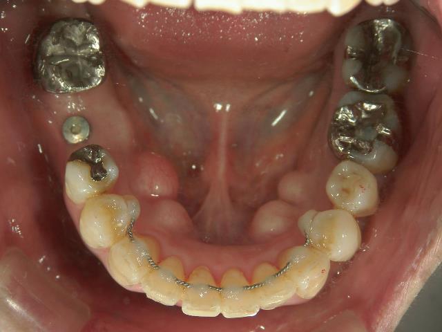
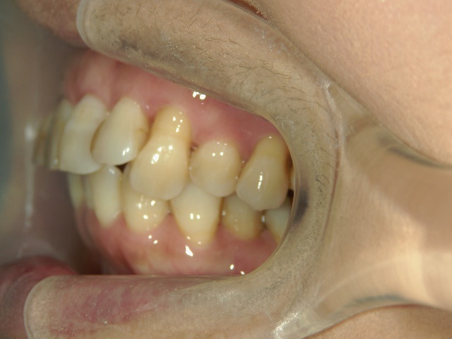
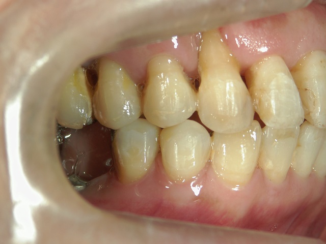
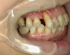
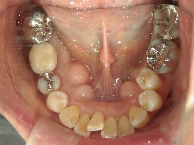
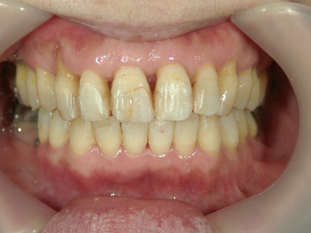
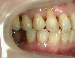
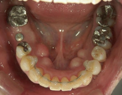
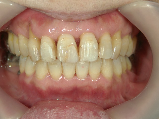
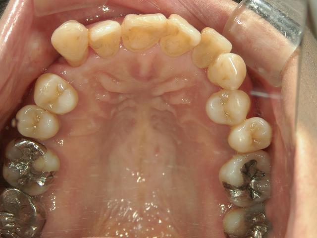
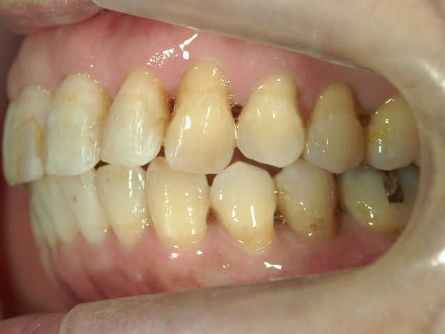
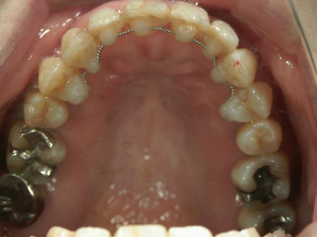
矯正歯科(全顎ワイヤー矯正)治療後
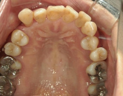
全顎ワイヤー矯正 症例(6
)
58歳女性 浜松市浜北区
在住
治療期間11
ヶ月
全顎矯正治療例5
全顎矯正治療例7
矯正歯科 治療前
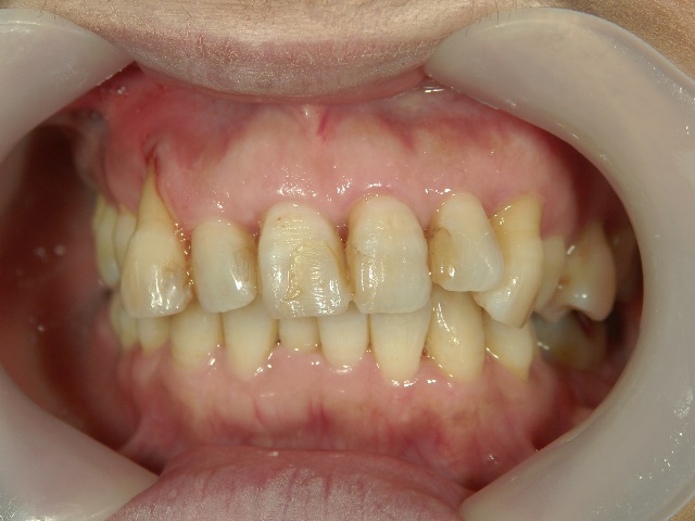
矯正歯科 治療後
全顎矯正治療例5
HOME
全顎矯正治療例7
ページトップへ