全顎矯正治療例7 of 浜松市 矯正審美歯科センター
Top
透明マウスピース矯正
治療例
クリニック
予約
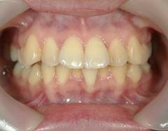
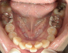
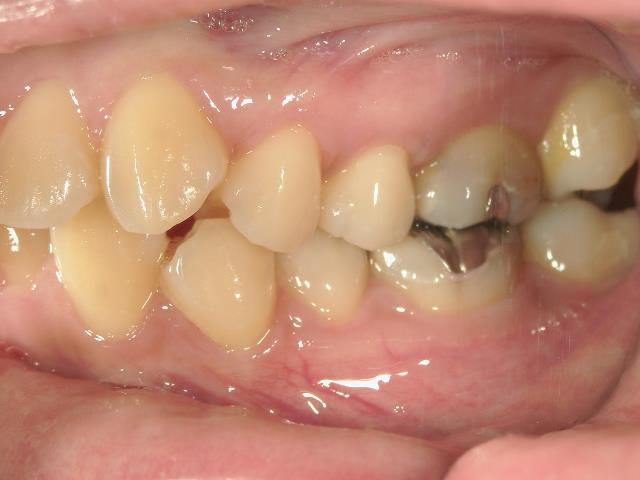
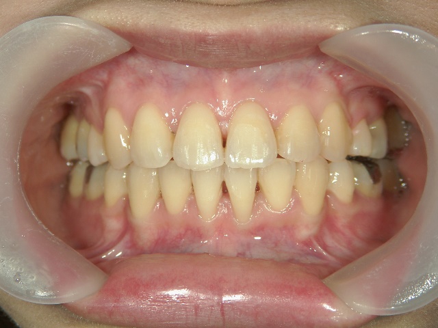
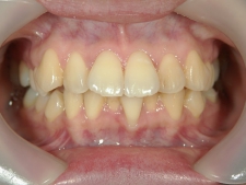
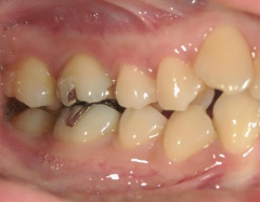
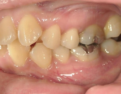
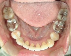
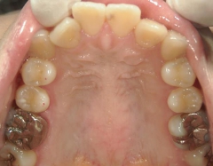
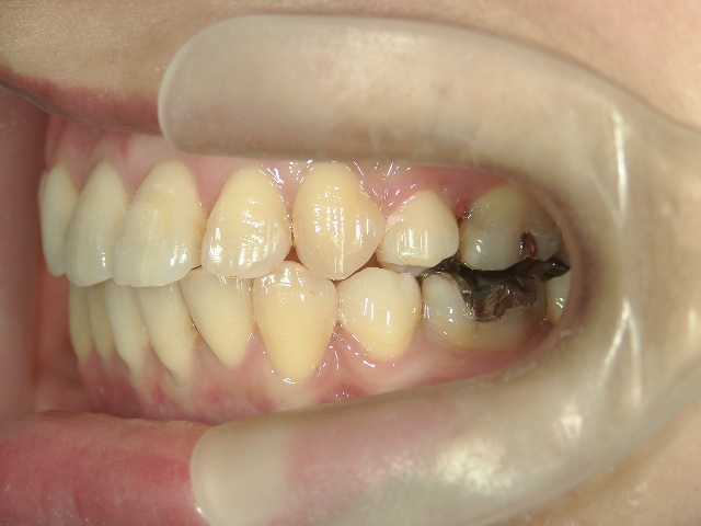
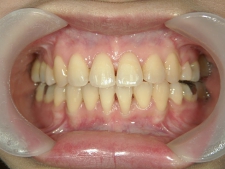
矯正歯科 治療前
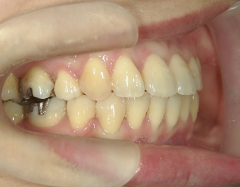
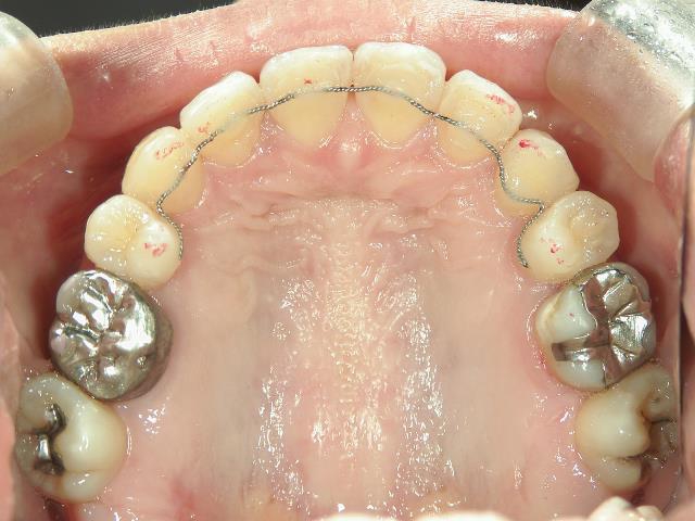
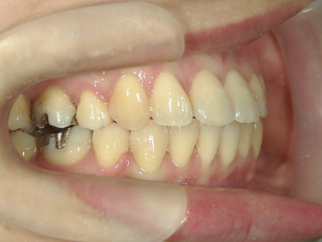
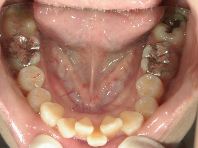
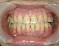
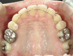
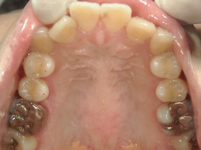
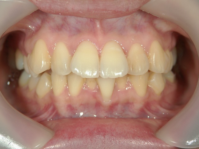
矯正歯科(全顎ワイヤー矯正)治療後
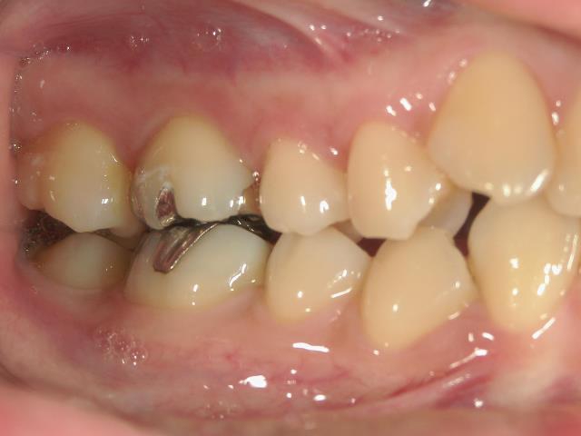
全顎ワイヤー矯正 症例(7
)
28歳女性 浜松市西
区在住
治療期間3
年11ヶ月
全顎矯正治療例6
全顎矯正治療例8
矯正歯科 治療前
矯正歯科 治療後
全顎矯正治療例6
HOME
全顎矯正治療例8
ページトップへ