全顎矯正治療例8 of 浜松市 矯正審美歯科センター
Top
透明マウスピース矯正
治療例
クリニック
予約
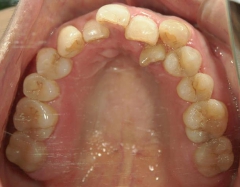
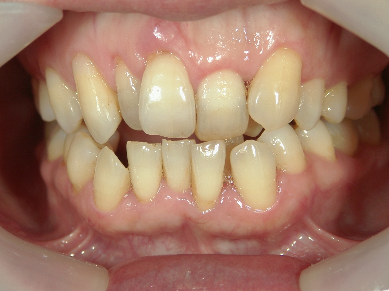
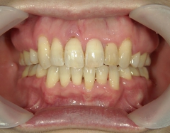
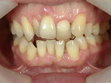
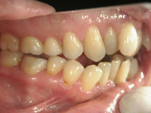
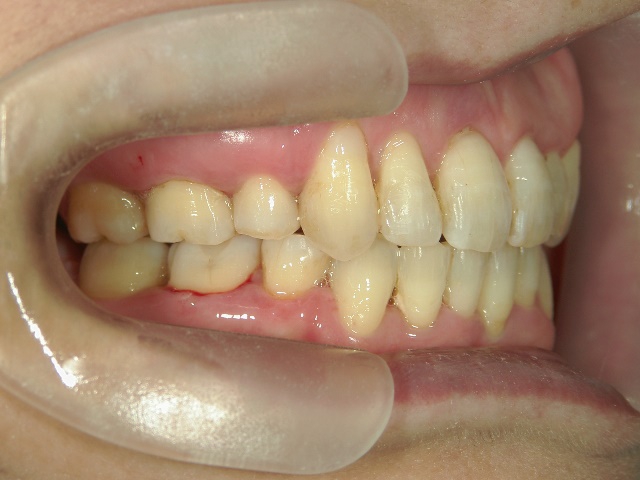
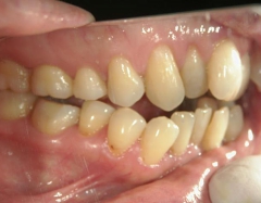
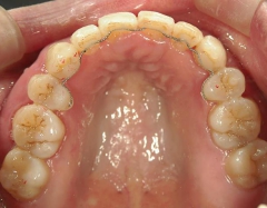
矯正歯科 治療前
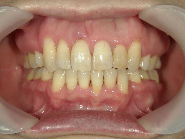
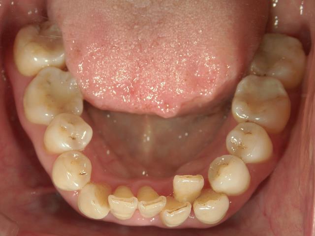
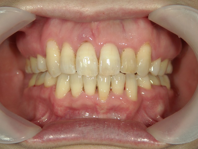
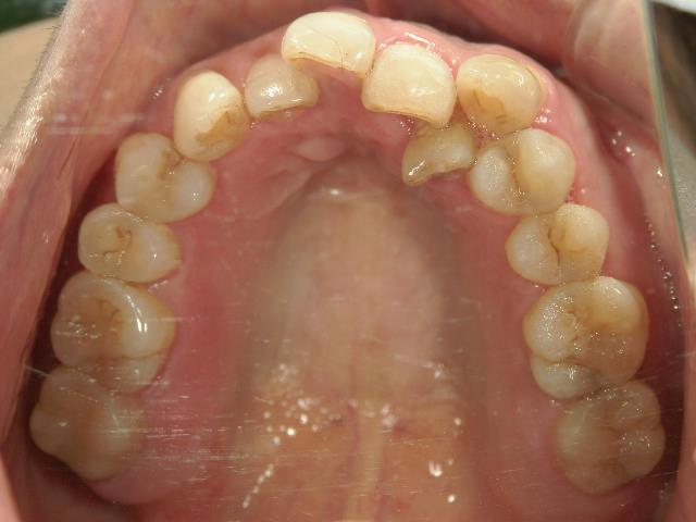
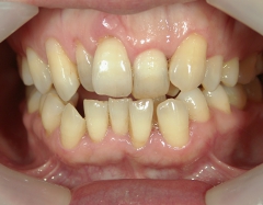
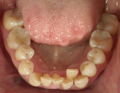
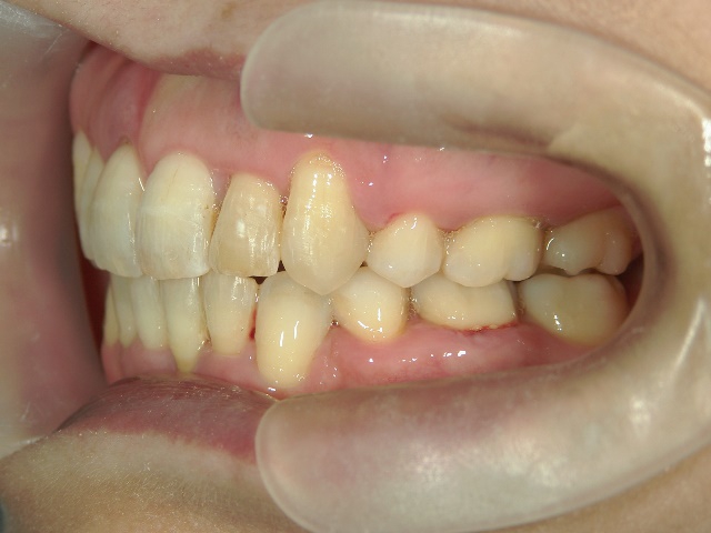
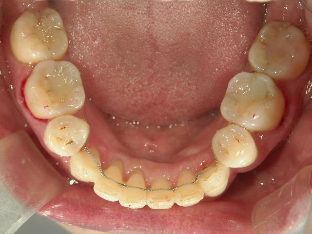
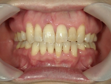
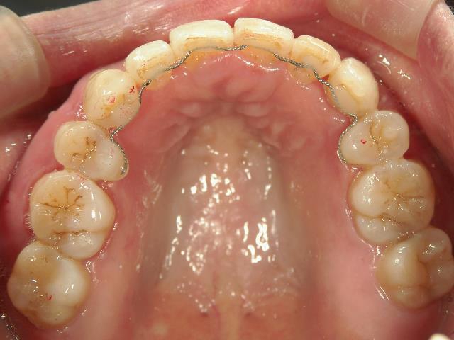
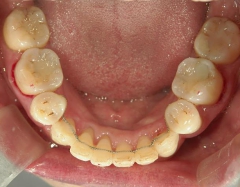
矯正歯科(全顎ワイヤー矯正)治療後
全顎ワイヤー矯正 症例(8
)
54歳女性 浜松市東
区在住
治療期間3
年2ヶ月
全顎矯正治療例7
全顎矯正治療例9
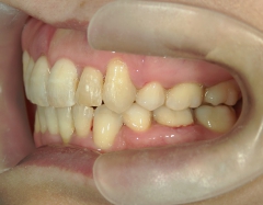
矯正歯科 治療前
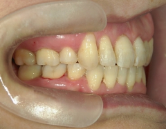
矯正歯科 治療後
全顎矯正治療例7
HOME
全顎矯正治療例9
ページトップへ