アクア治療例10 | 浜松市 矯正審美歯科センター 見えない矯正 ワイヤー矯正 ブライダル矯正

矯正歯科 治療例

画像をクリックすると拡大表示します。

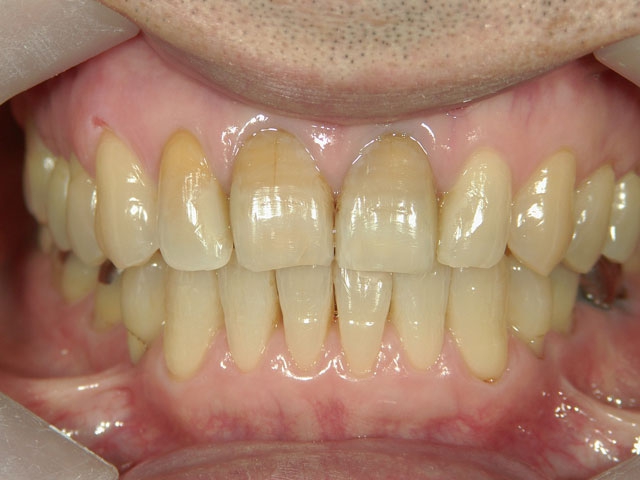
アクアシステム(透明マウスピース矯正)/下顎のみ 症例(10)

61歳 男性 浜松市中区在住 治療期間1年

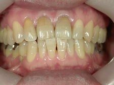
矯正歯科 治療前矯正歯科 治療前

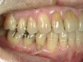
矯正歯科 治療後矯正歯科 アクアシステム(透明マウスピース矯正) 治療後矯正歯科(アクアシステム)治療後

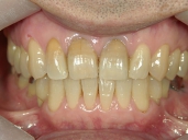
矯正歯科 治療前

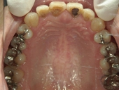
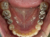
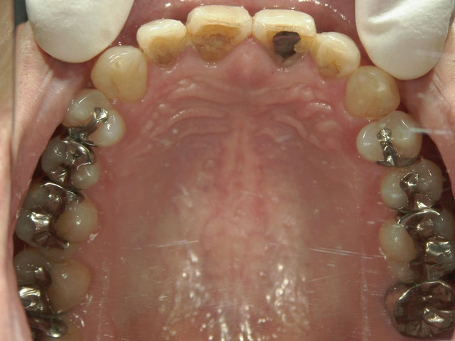
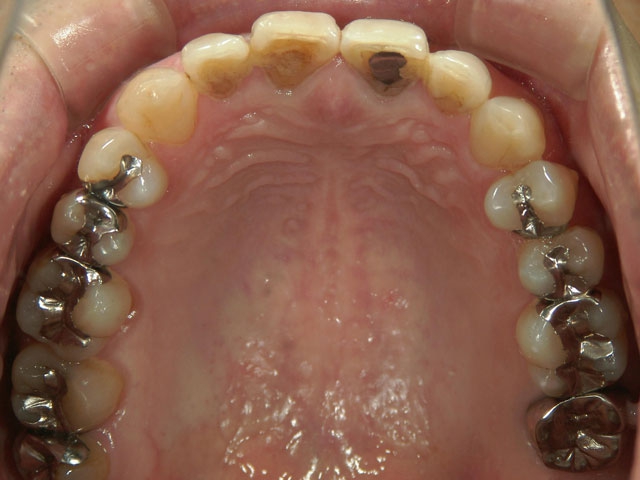
矯正歯科 治療前 上顎



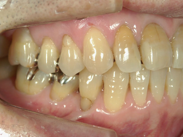
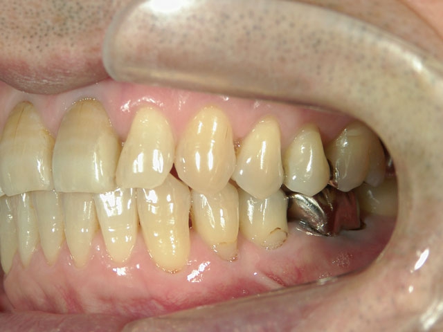
矯正歯科 治療前 右

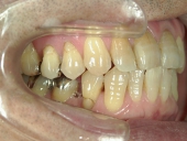
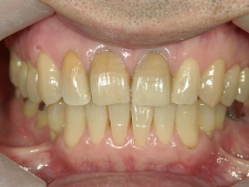
矯正歯科 治療前 正面

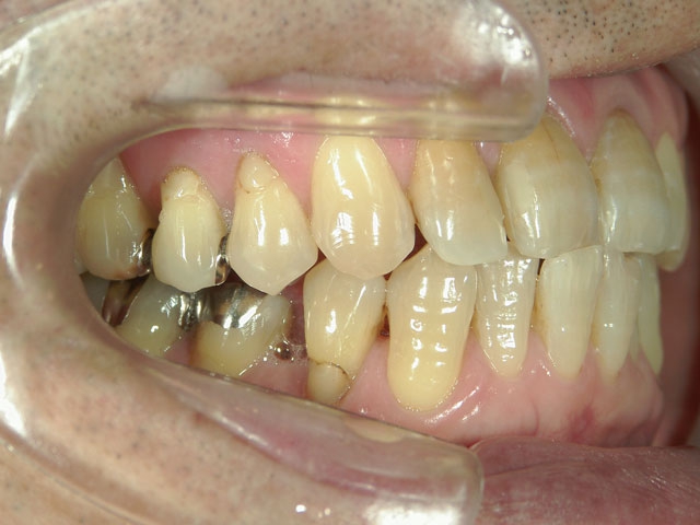
矯正歯科 治療前 左

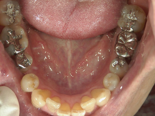
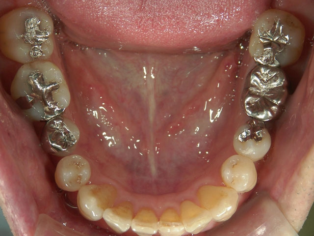
矯正歯科 治療前 下顎



矯正歯科 治療後

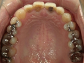
矯正歯科 治療後 上顎



矯正歯科 治療後 右

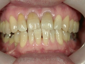
矯正歯科 治療後 正面

矯正歯科 治療後 左

矯正歯科 治療後 下顎