アクア治療例9 | 浜松市 矯正審美歯科センター 見えない矯正 ワイヤー矯正 ブライダル矯正

矯正歯科 治療例

画像をクリックすると拡大表示します。

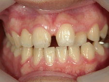
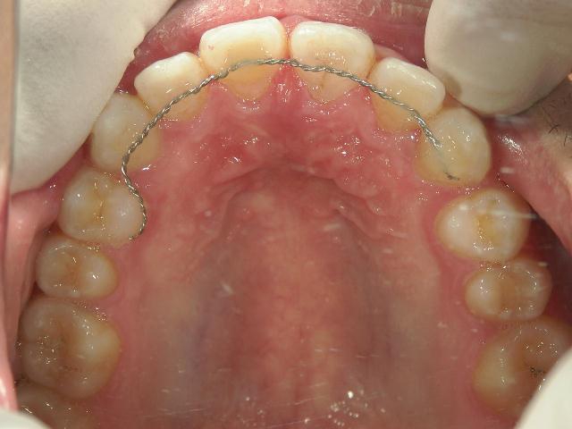
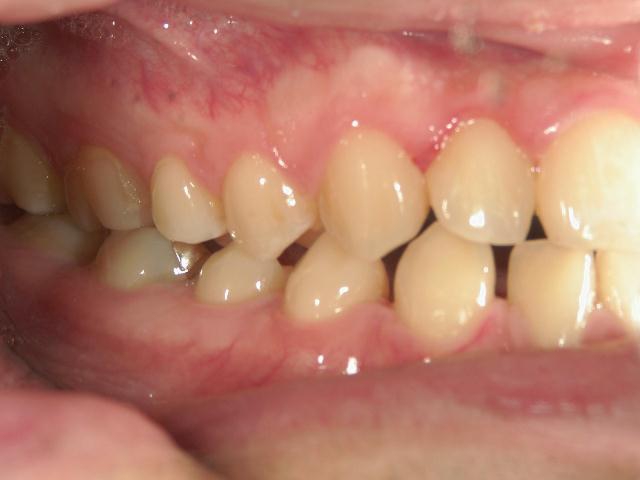
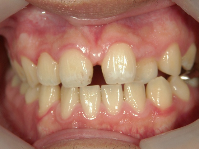
アクアシステム(透明マウスピース矯正)/上顎のみ 症例(9)

23歳 男性 浜松市北区在住 治療期間1年6ヶ月
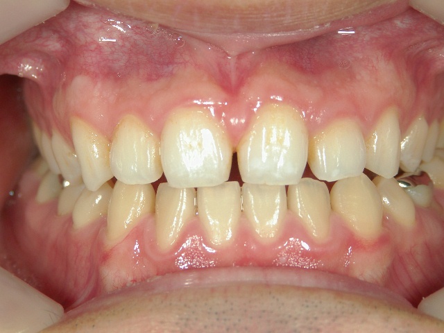
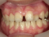
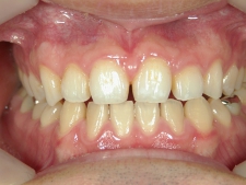
※矯正治療により正中離開(すきっ歯)の治療を行いましたが、歯の形態はご本人の希望により修正致しませんでした。

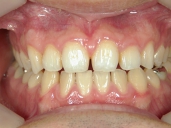
矯正歯科 治療後矯正歯科 治療前

矯正歯科 治療後矯正歯科 アクアシステム(透明マウスピース矯正) 治療後矯正歯科(アクアシステム)治療後

矯正歯科 治療前

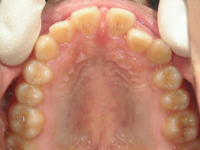
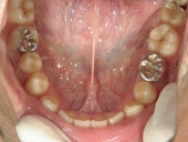
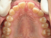
矯正歯科 治療前 上顎



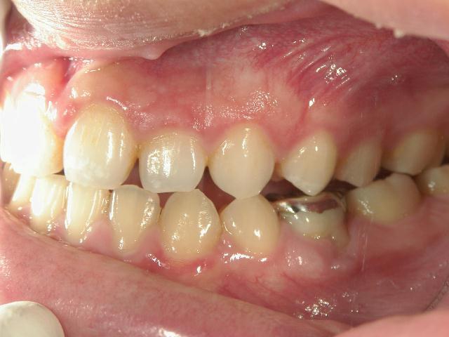
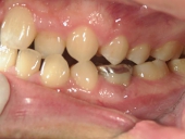
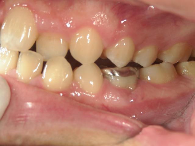
矯正歯科 治療前 右

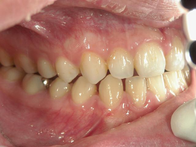
矯正歯科 治療前 正面

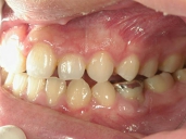
矯正歯科 治療前 左

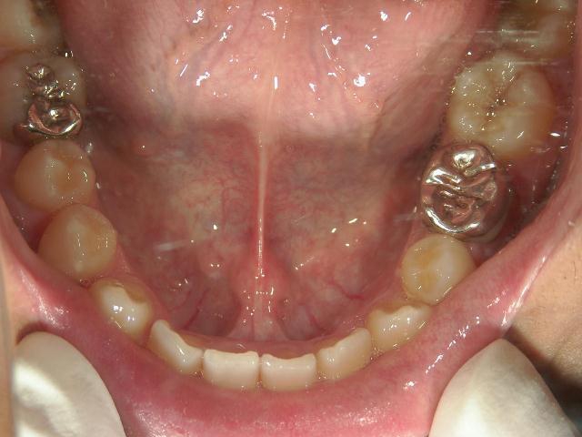
矯正歯科 治療前 下顎



矯正歯科 治療後

矯正歯科 治療後 上顎



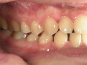
矯正歯科 治療後 右

矯正歯科 治療後 正面

矯正歯科 治療後 左

矯正歯科 治療後 下顎