アクア治療例19 | 浜松市 矯正審美歯科センター 見えない矯正 ワイヤー矯正 ブライダル矯正

矯正歯科 治療例

画像をクリックすると拡大表示します。

アクアシステム(透明マウスピース矯正)/上下顎 症例(19)

51歳 女性 浜松市東区在住 治療期間1年7ヶ月

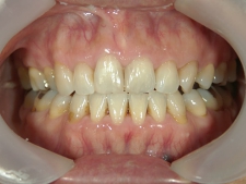
矯正歯科 治療前矯正歯科 治療前

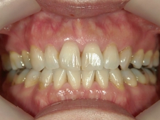
矯正歯科 治療後矯正歯科 アクアシステム矯正 治療後矯正歯科(アクアシステム矯正)治療後

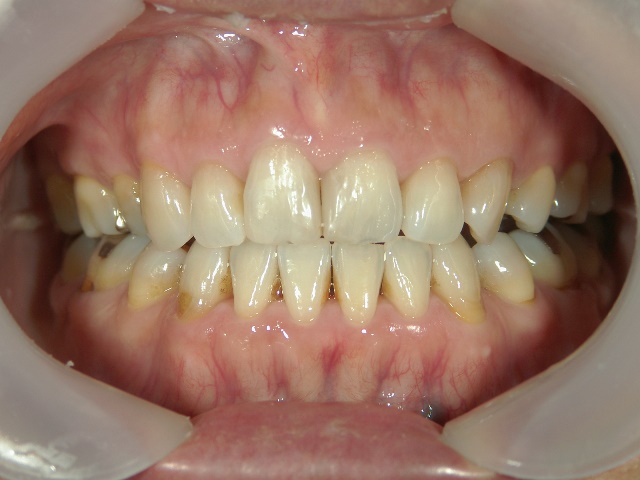
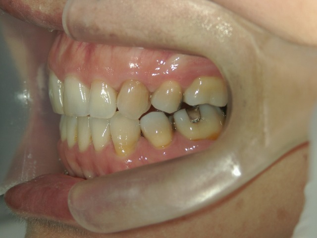
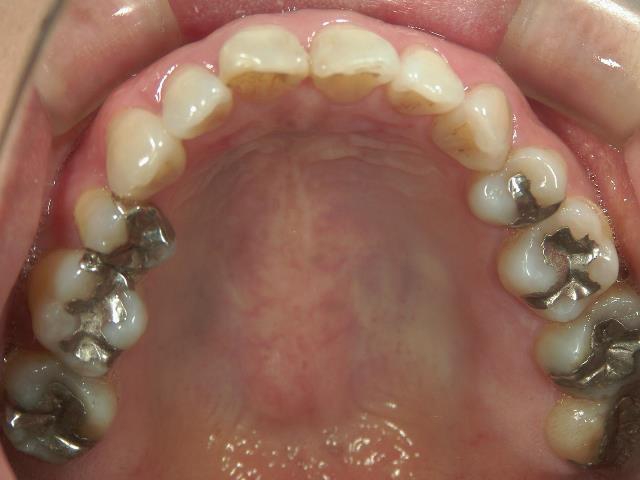
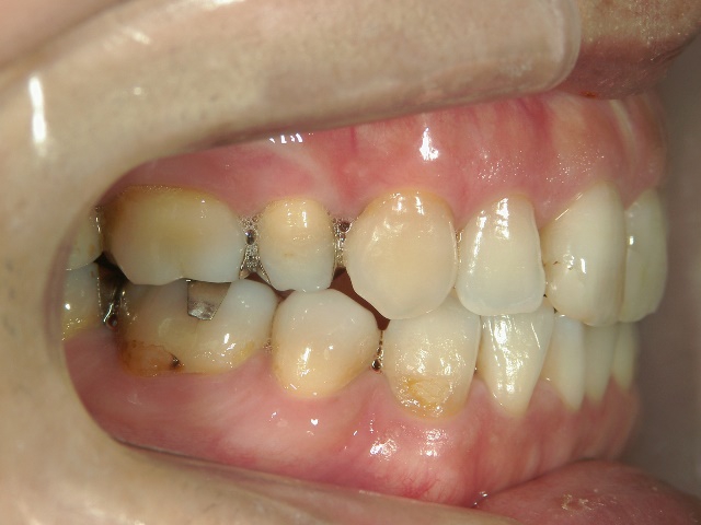
矯正歯科 治療前

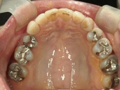
矯正歯科 治療前 上顎



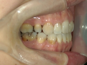
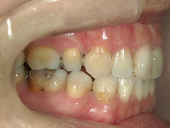
矯正歯科 治療前 右

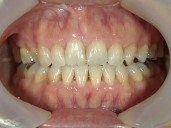
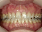
矯正歯科 治療前 正面

矯正歯科 治療前 左

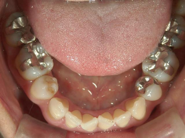
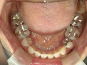
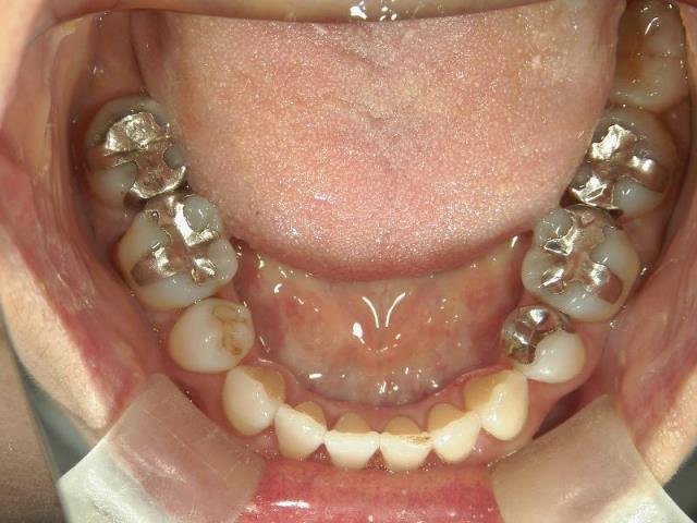
矯正歯科 治療前 下顎



矯正歯科 治療後

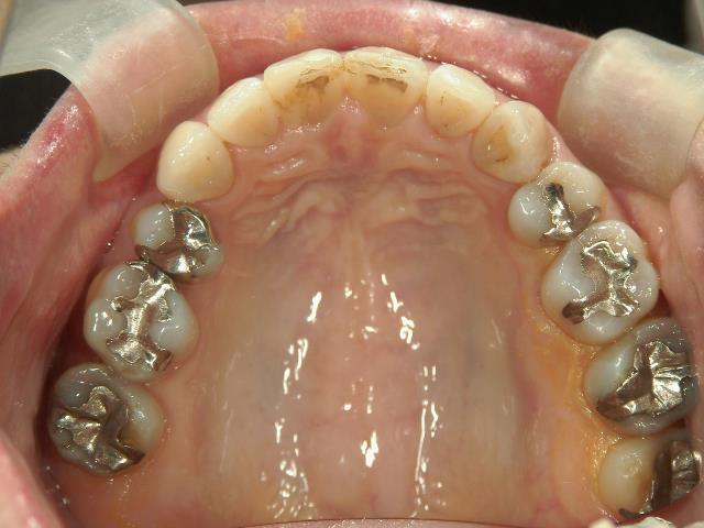
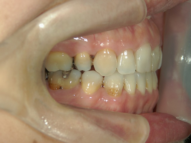
矯正歯科 治療後 上顎



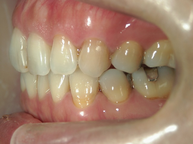
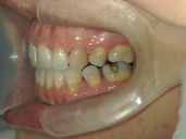
矯正歯科 治療後 右

矯正歯科 治療後 正面

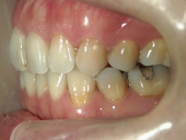
矯正歯科 治療後 左

矯正歯科 治療後 下顎