舌側矯正治療例1 | 浜松市 矯正審美歯科センター 見えない矯正 ワイヤー矯正 ブライダル矯正

矯正歯科 治療例

画像をクリックすると拡大表示します。

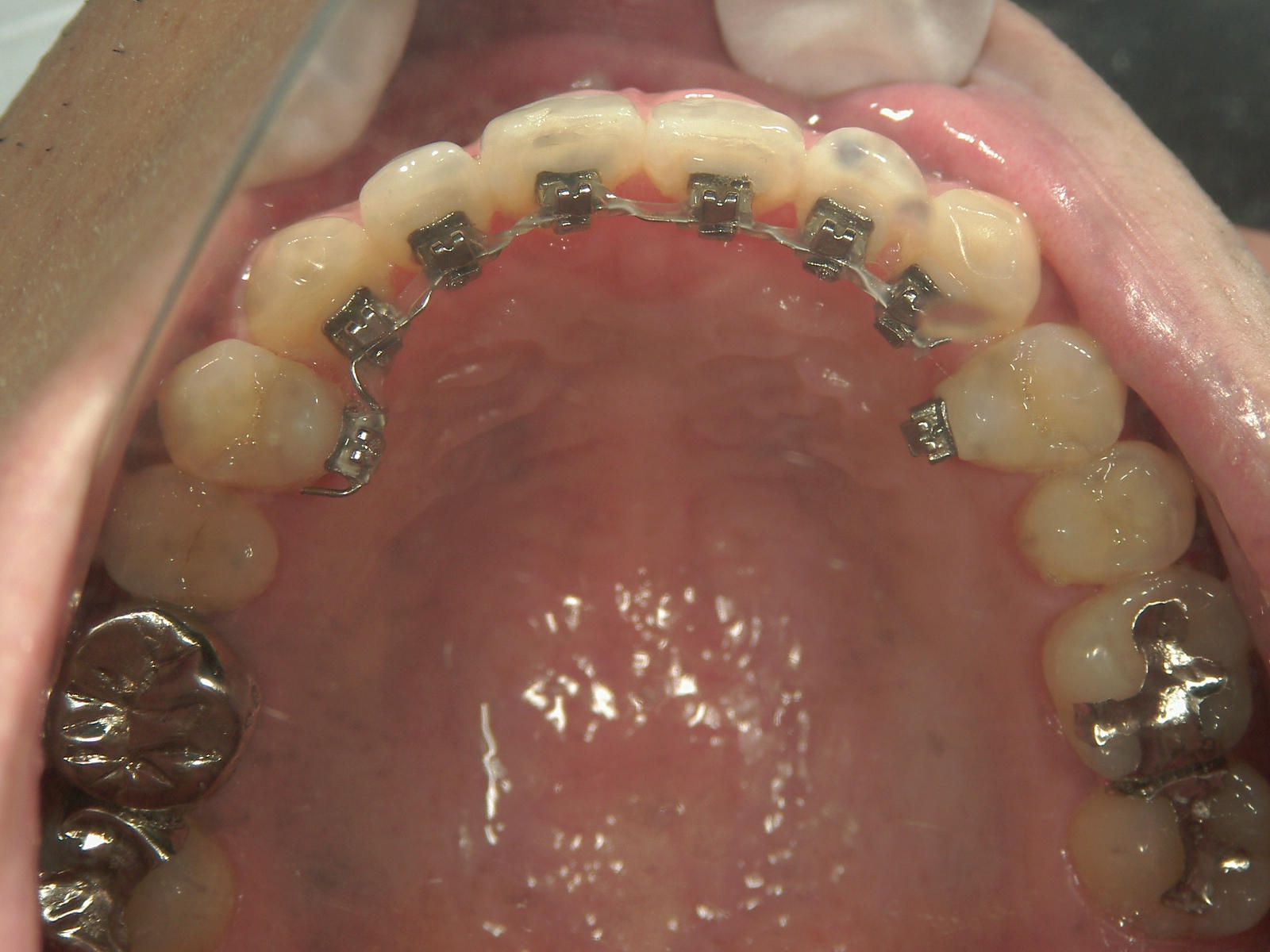
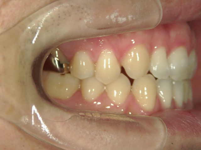
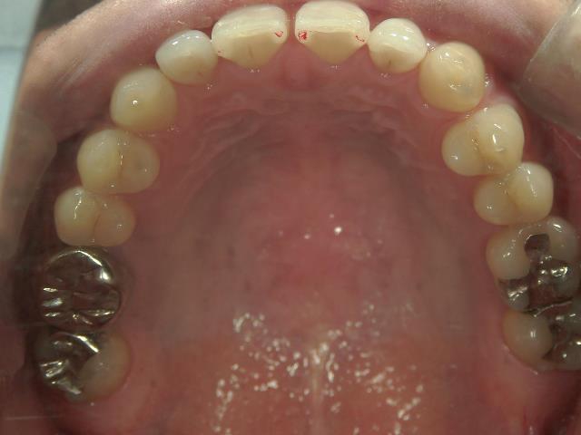
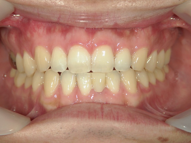
舌側プチワイヤー矯正/上顎のみ 症例(1)

35歳 男性 浜松市中区在住 治療期間6ヶ月

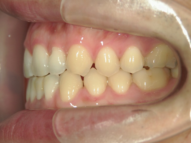
矯正歯科 治療前矯正歯科 治療前

矯正歯科 治療後矯正歯科 プチワイヤー矯正 治療後矯正歯科(プチワイヤー矯正)治療後

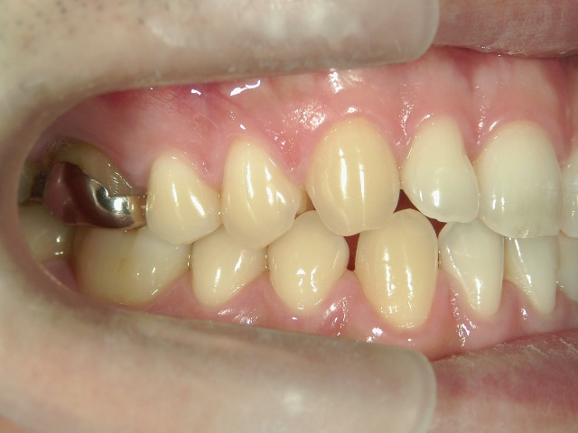
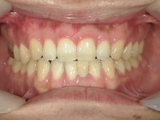
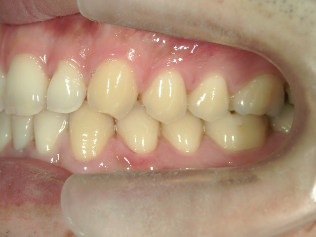
矯正歯科 治療前

矯正歯科 治療前 上顎



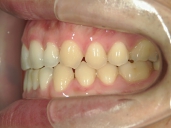
矯正歯科 治療前 右

矯正歯科 治療前 正面

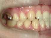
矯正歯科 治療前 左

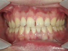
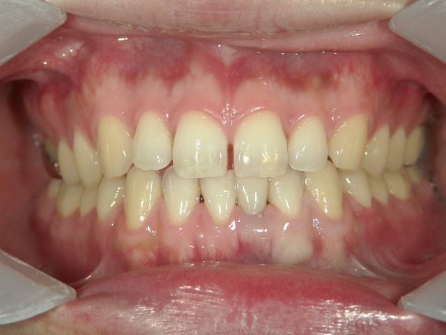
矯正歯科 治療後

矯正歯科 治療後 上顎

矯正歯科 治療後 左

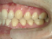
矯正歯科 治療後 右

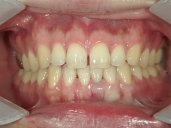
矯正歯科 治療後 正面

矯正歯科 治療後 左