プチ矯正治療例2 of 浜松市 矯正審美歯科センター

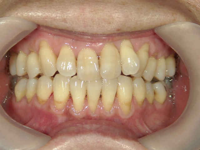
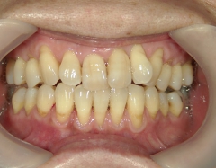
矯正歯科 治療前矯正歯科 治療前

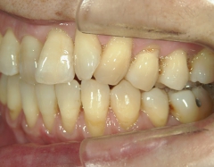
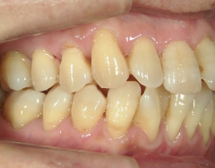
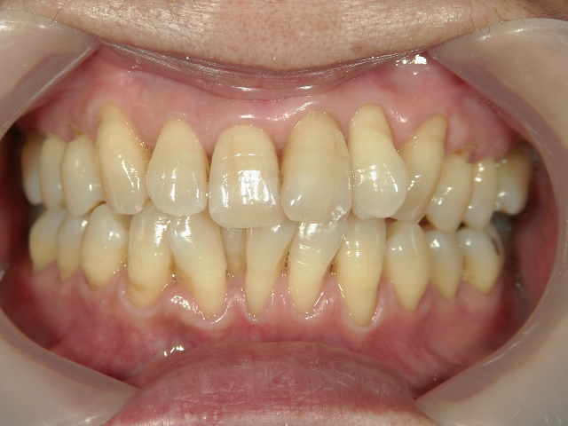
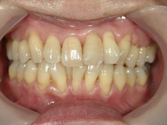
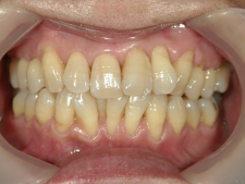
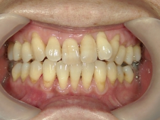
矯正歯科 治療後矯正歯科 プチワイヤー矯正 治療後矯正歯科(プチワイヤー矯正)治療後

プチワイヤー矯正 症例(2)

64歳女性 浜松市中区在住
治療期間 7カ月

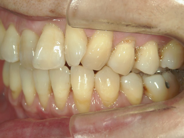
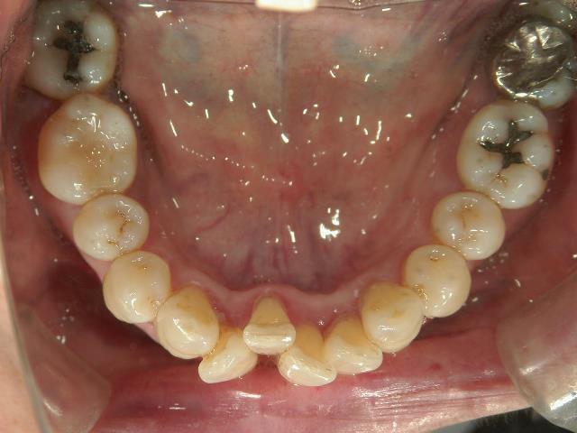
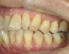
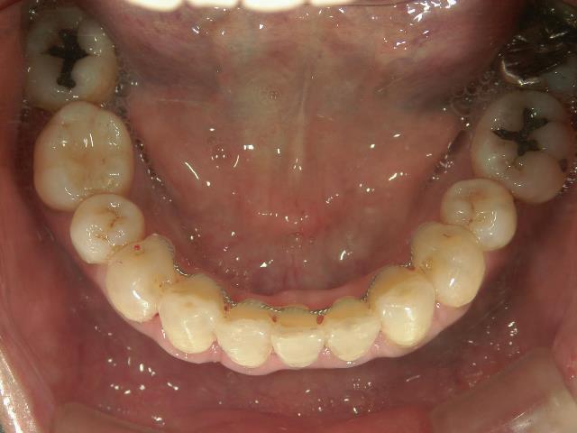
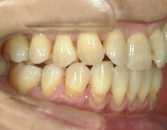
矯正歯科 治療前 
no.12_5333_治療前_左.jpgno.12_5333_治療前_正面.jpgno.12_5333_治療前_右.jpg

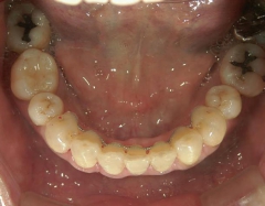
矯正_灰色.pngno.12_5333_治療前_下.jpg矯正_灰色.png

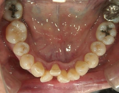
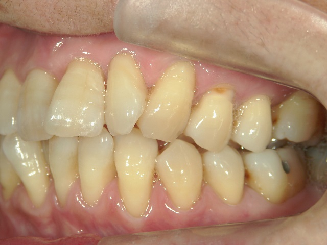
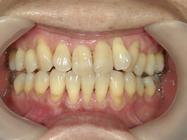
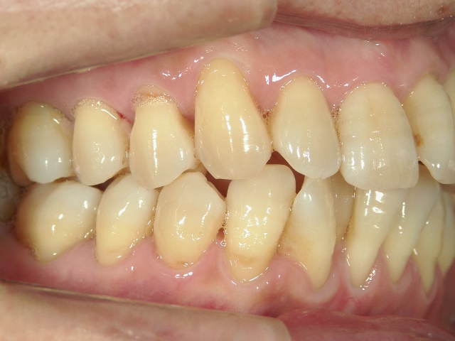
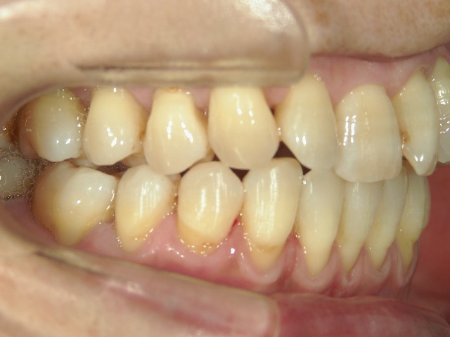
矯正歯科 治療後 
no.12_5333_治療後_左.jpgno.12_5333_治療後_正面.jpgno.12_5333_治療後_右.jpg

矯正_灰色.pngno.12_5333_治療後_下.jpg矯正_灰色.png