プチ矯正治療例10 of 浜松市 矯正審美歯科センター

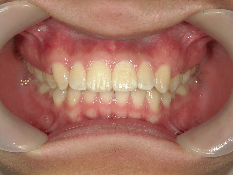
矯正歯科 治療前矯正歯科 治療前

矯正歯科 治療後矯正歯科 プチワイヤー矯正 治療後矯正歯科(プチワイヤー矯正)治療後

プチワイヤー矯正 症例(10)

17歳男性 浜松市南区在住
治療期間 2年1カ月(患者様ご多忙で中断期間あり)

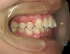
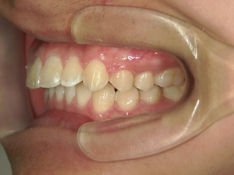
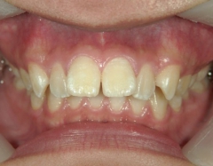
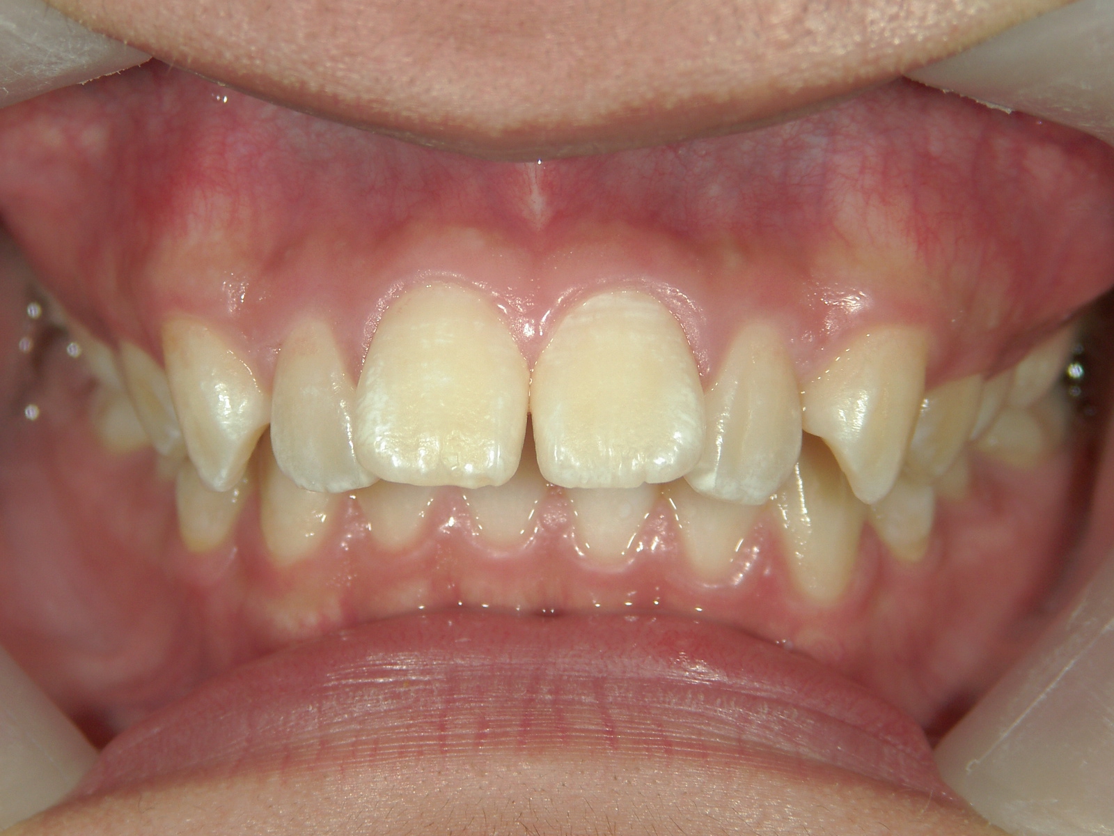
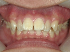
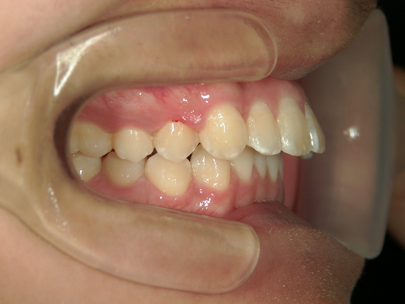
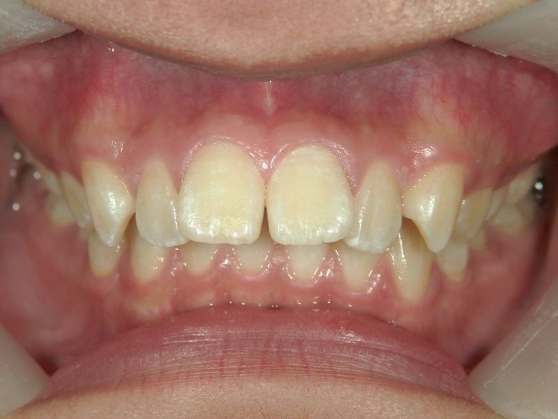
矯正歯科 治療前 
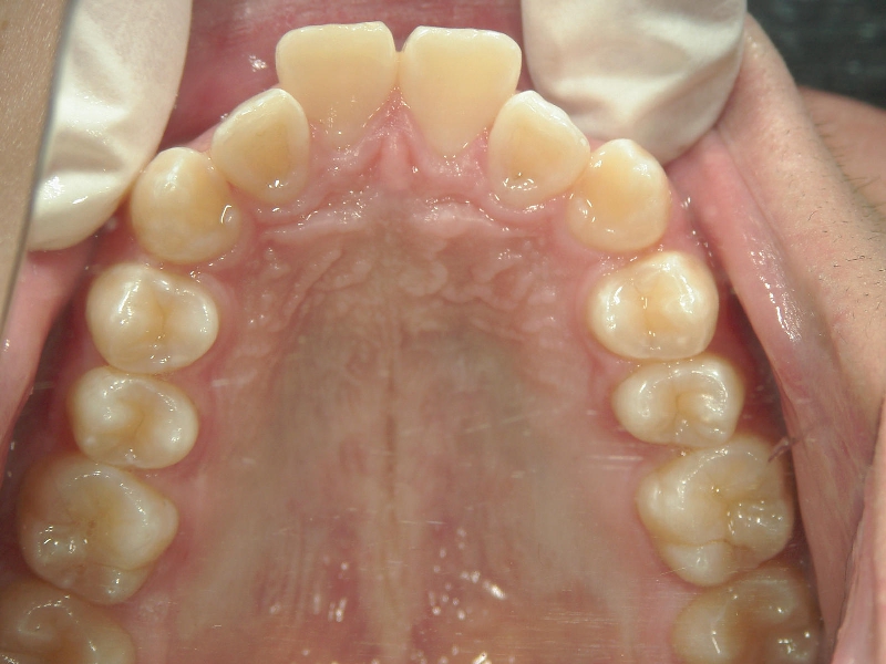
矯正_灰色.pngno.26_8278_治療前_上.JPG矯正_灰色.png

no.26_8278_治療前_右.JPGno.26_8278_治療前_正面.JPGno.26_8278_治療前_左.JPG

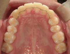
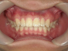
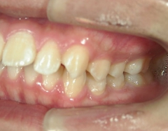
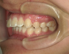
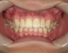
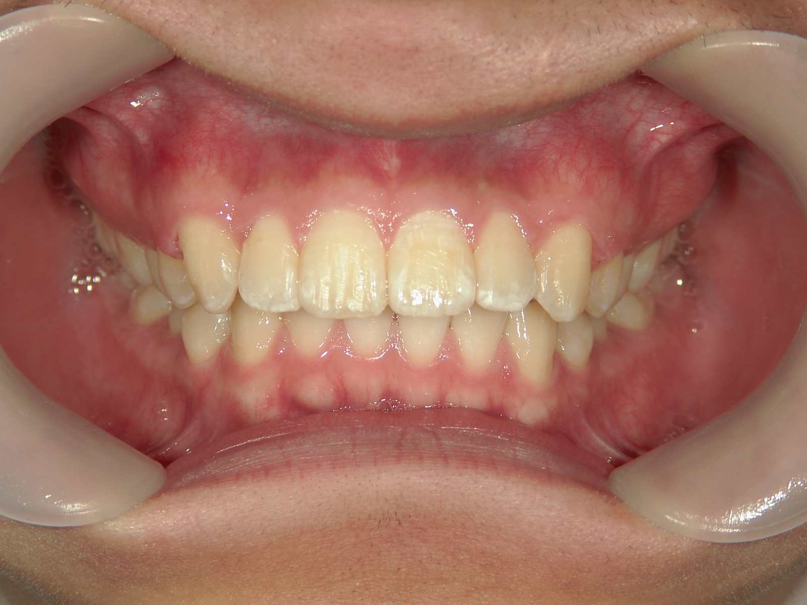
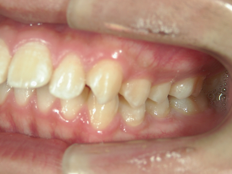
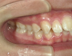
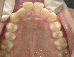
矯正歯科 治療後 アクアシステム→プチワイヤー矯正へ変更
矯正_灰色.pngno.26_8278_治療後_上.JPG矯正_灰色.png

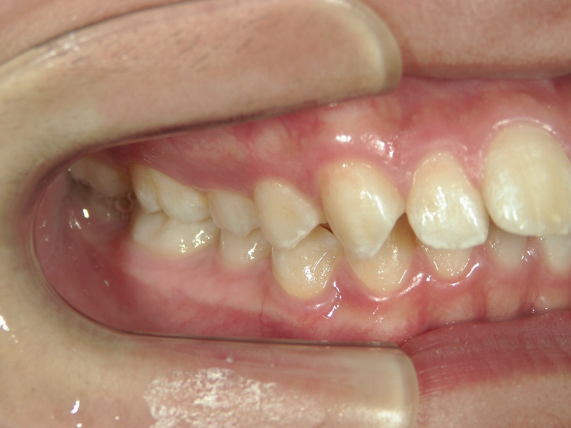
no.26_8278_治療後_右.JPGno.26_8278_治療後_正面.JPGno.26_8278_治療後_左.JPG