プチ矯正治療例11 of 浜松市 矯正審美歯科センター

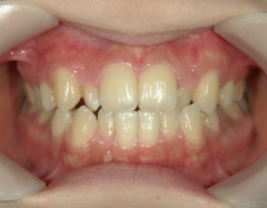
矯正歯科 治療前矯正歯科 治療前

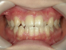
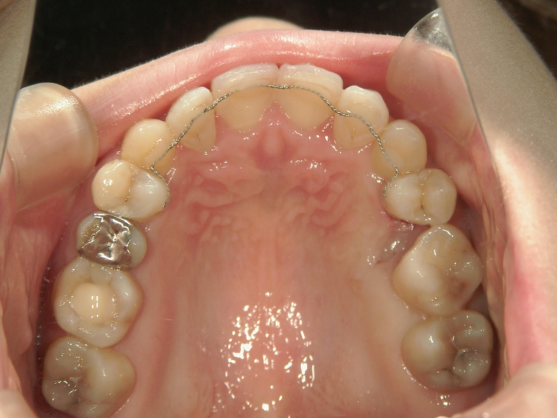
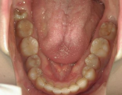
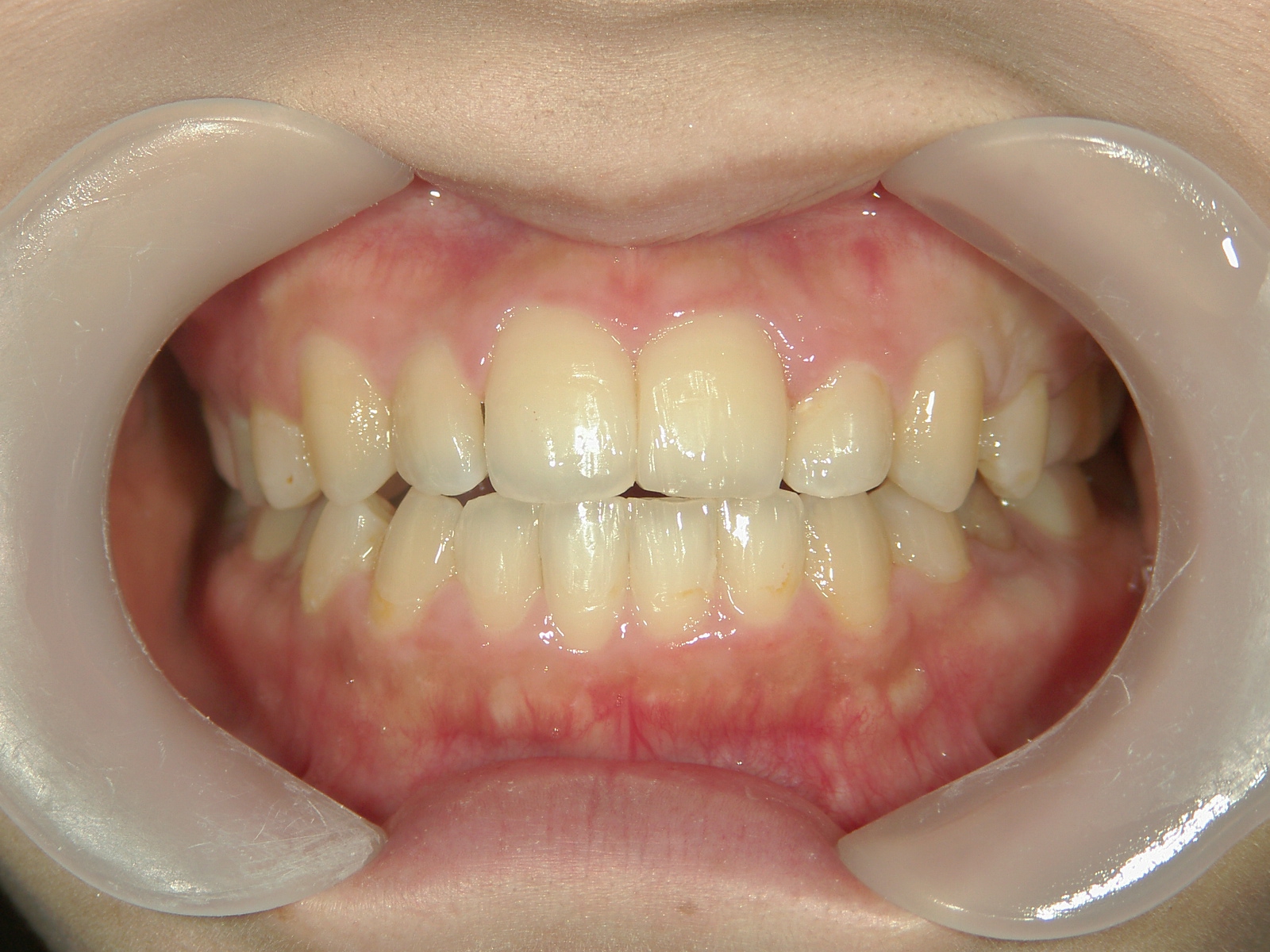
矯正歯科 治療後矯正歯科 プチワイヤー矯正 治療後矯正歯科(プチワイヤー矯正)治療後

プチワイヤー矯正 症例(11)

26歳女性 沼津市在住
治療期間 1年間
主訴:結婚式に向け、乱れた歯並びと八重歯を治したい

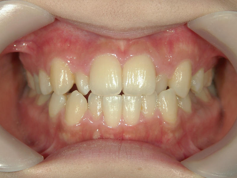
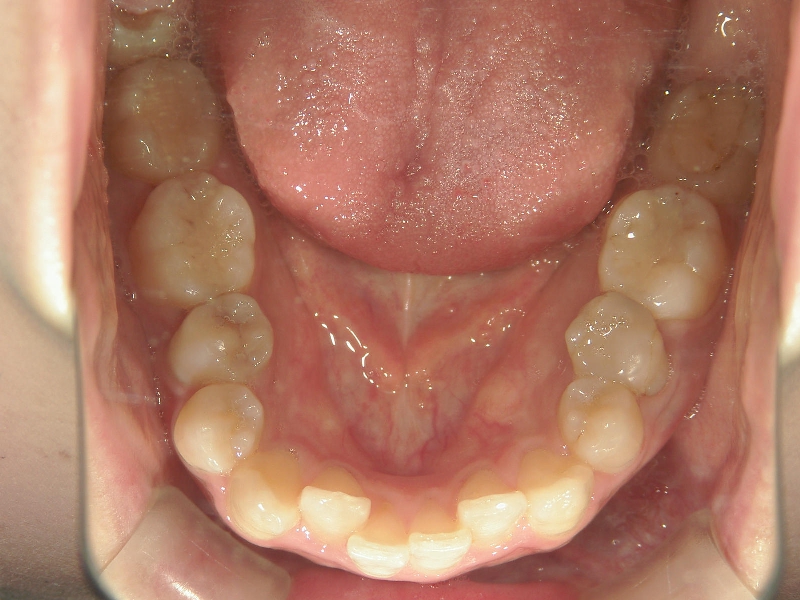
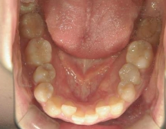
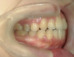
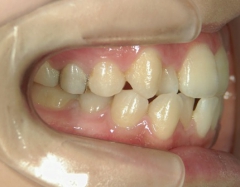
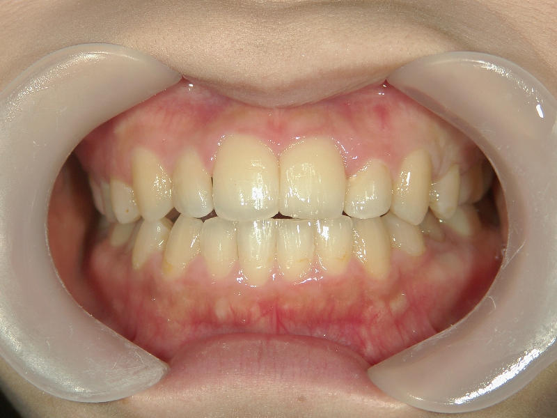
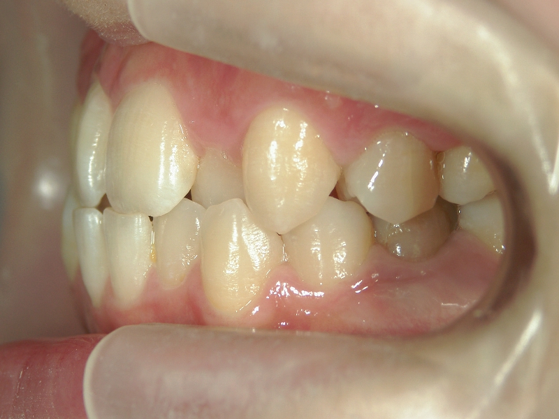
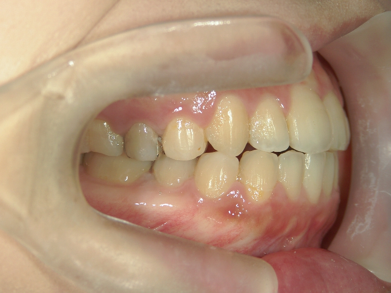
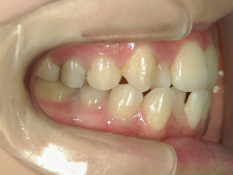
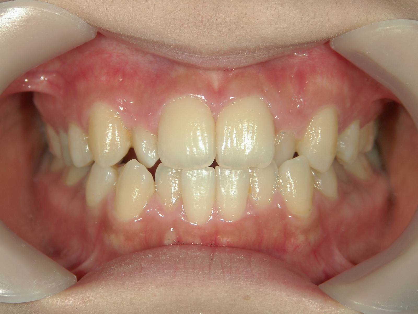
矯正歯科 治療前 
矯正_灰色.pngno.27_8818_治療前_上.JPG矯正_灰色.png

no.27_8818_治療前_右.JPGno.27_8818_治療前_正面.JPGno.27_8818_治療前_左.JPG

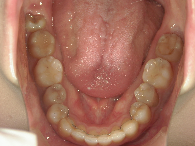
矯正_灰色.pngno.27_8818_治療前_下.JPG矯正_灰色.png

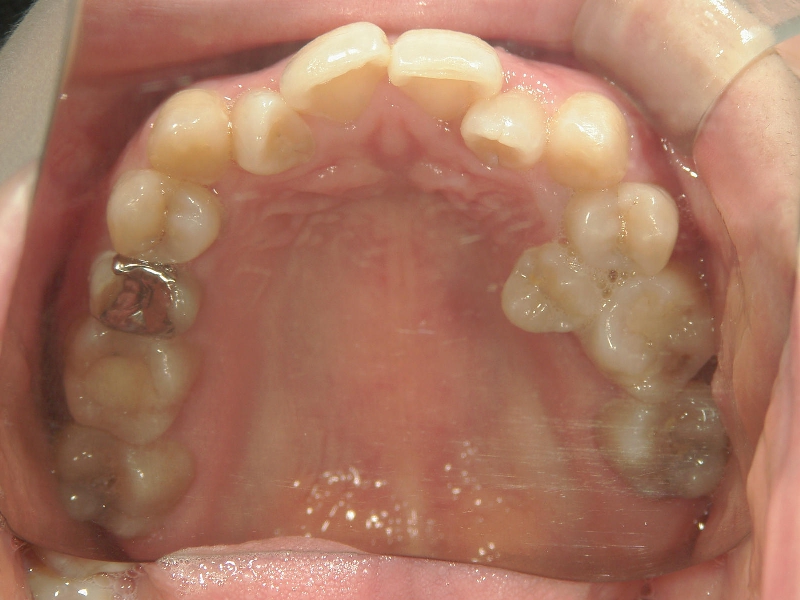
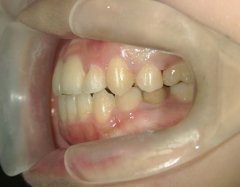
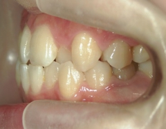
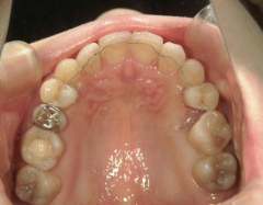
矯正歯科 治療後 
矯正_灰色.pngno.27_8818_治療後_上.JPG矯正_灰色.png

no.27_8818_治療後_右.JPGno.27_8818_治療後_正面.JPGno.27_8818_治療後_左.JPG

矯正_灰色.pngno.27_8818_治療後_下.JPG矯正_灰色.png