プチ矯正治療例9 of 浜松市 矯正審美歯科センター

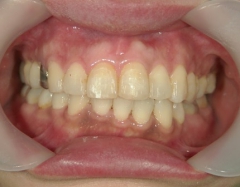
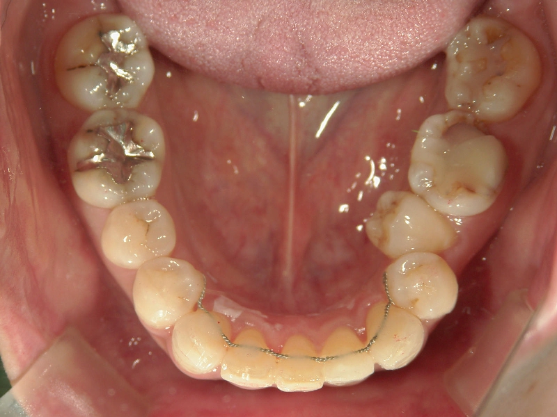
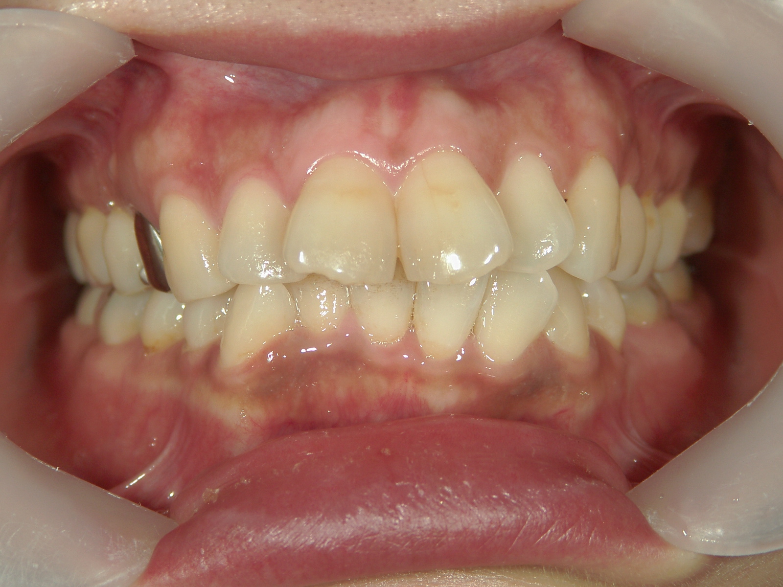
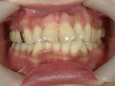
矯正歯科 治療前矯正歯科 治療前

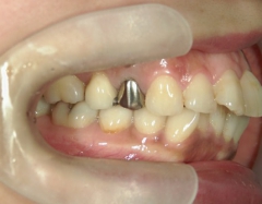
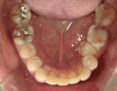
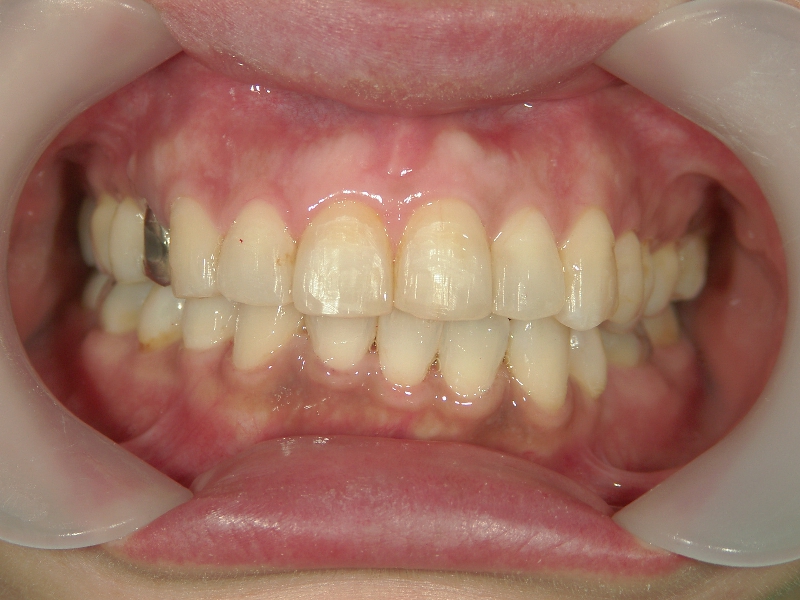
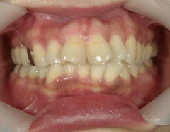
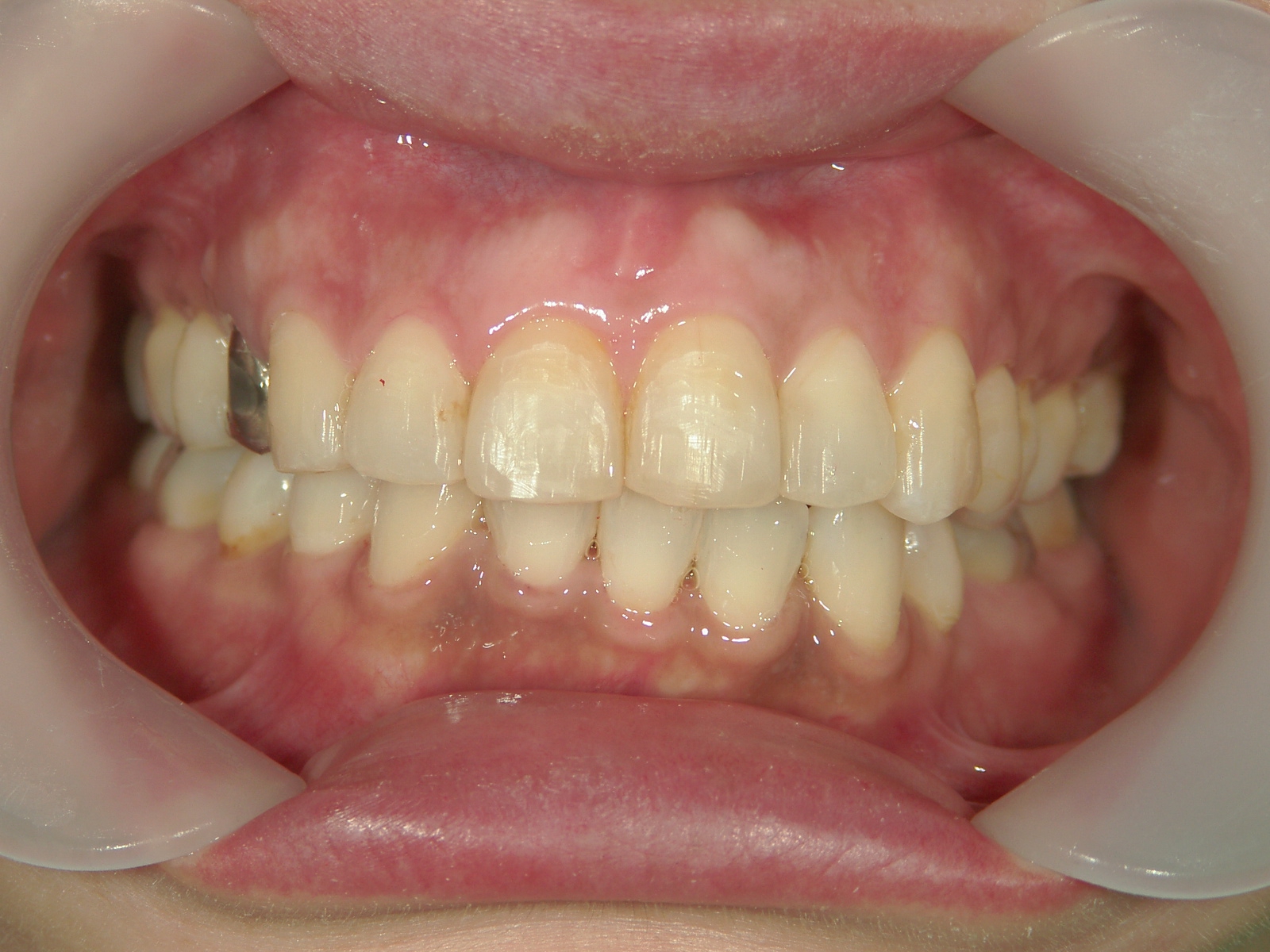
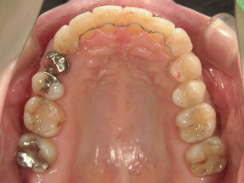
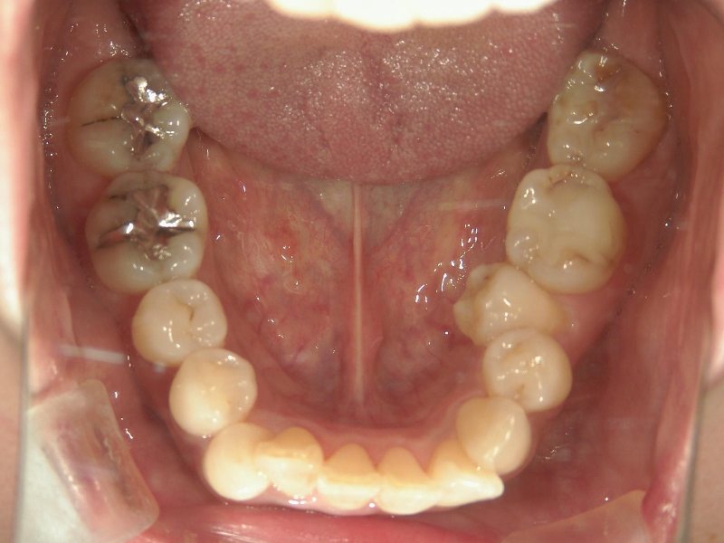
矯正歯科 治療後矯正歯科 プチワイヤー矯正 治療後矯正歯科(プチワイヤー矯正)治療後

プチワイヤー矯正 症例(9)

39歳女性 浜松市東区→大阪在住
治療期間 1年間
主訴:前歯が捻じれているのが気になる

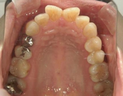
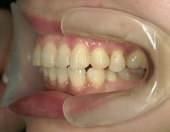
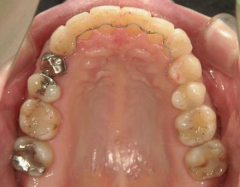
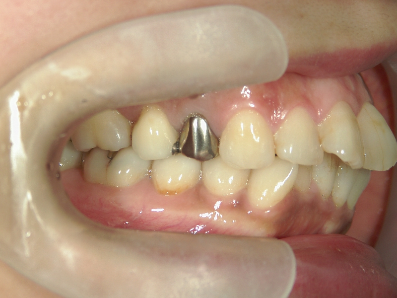
矯正歯科 治療前 
矯正_灰色.pngno.25_8838_治療前_上.JPG矯正_灰色.png

no.25_8838_治療前_右.JPGno.25_8838_治療前_正面.JPGno.25_8838_治療前_左.JPG

矯正_灰色.pngno.25_8838_治療前_下.JPG矯正_灰色.png

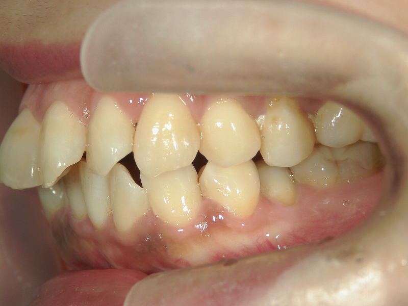
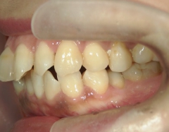
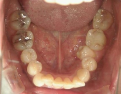
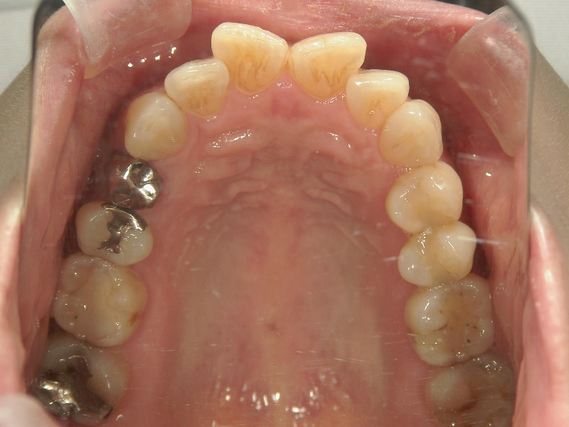
矯正歯科 治療後 
矯正_灰色.pngno.25_8838_治療後_上.JPG矯正_灰色.png

no.25_8838_治療後_右.jpgno.25_8838_治療後_正面.JPGno.25_8838_治療後_左.JPG

矯正_灰色.pngno.25_8838_治療後_下.JPG矯正_灰色.png