プチ矯正治療例12 of 浜松市 矯正審美歯科センター

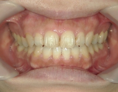
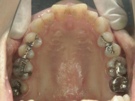
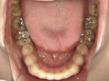
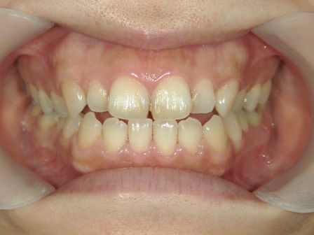
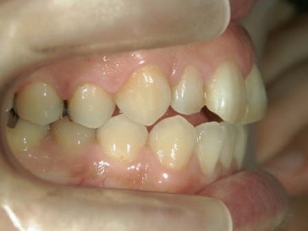
矯正歯科 治療前矯正歯科 治療前

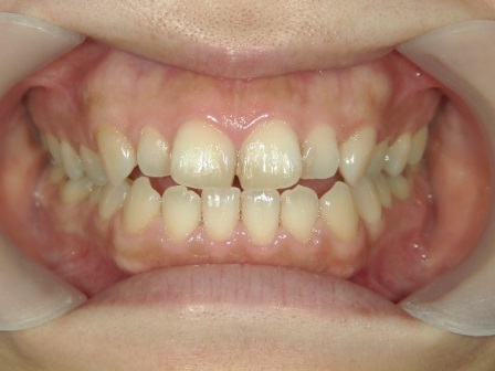
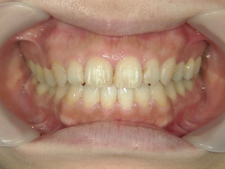
矯正歯科 治療後矯正歯科 プチワイヤー矯正 治療後矯正歯科(プチワイヤー矯正)治療後

プチワイヤー矯正 症例(12)

41歳女性 浜松市中区在住
治療期間 1年
主訴:奥歯で噛んでも上下の前歯があたらない

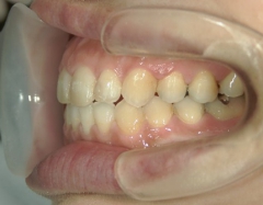
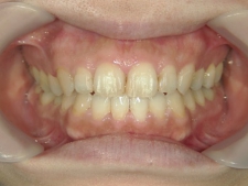
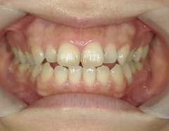
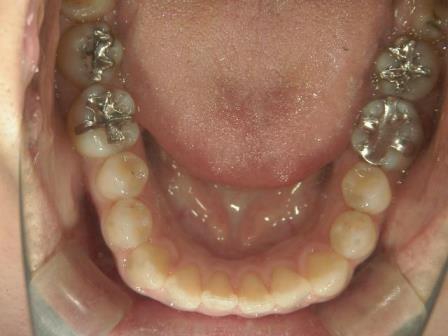
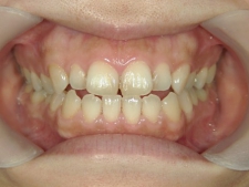
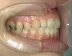
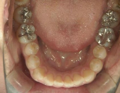
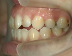
矯正歯科 治療前 
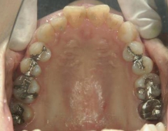
矯正_灰色.pngno.29_8468_治療前_上.JPG矯正_灰色.png

no.29_8468_治療前_右.JPGno.29_8468_治療前_正面.JPGno.29_8468_治療前_左.JPG

矯正_灰色.pngno.29_8468_治療前_下.JPG矯正_灰色.png

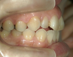
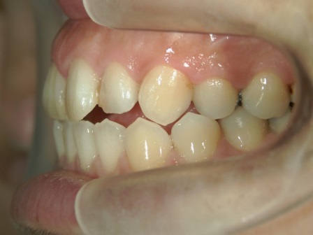
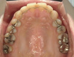
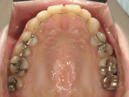
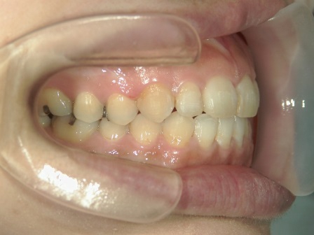
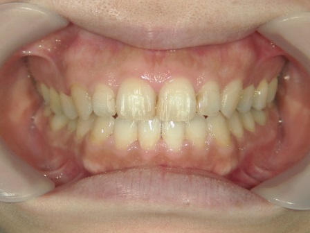
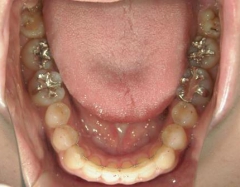
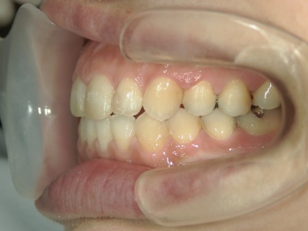
矯正歯科 治療後 
矯正_灰色.pngno.29_8468_治療後_上.JPG矯正_灰色.png

no.29_8468_治療後_右.JPGno.29_8468_治療後_正面.JPGno.29_8468_治療後_左.JPG

矯正_灰色.pngno.29_8468_治療後_下.JPG矯正_灰色.png