プチ矯正治療例13 of 浜松市 矯正審美歯科センター

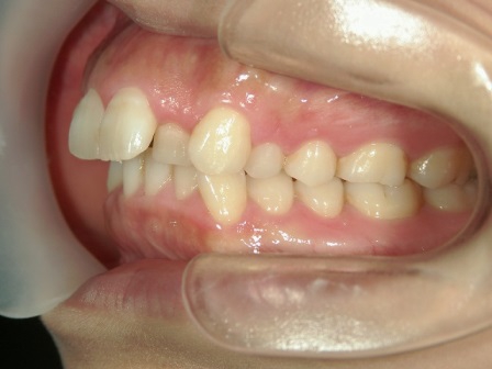
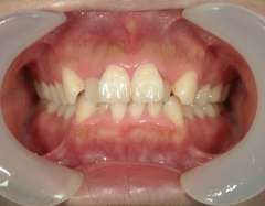
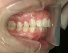
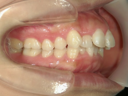
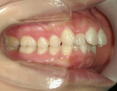
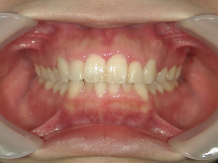
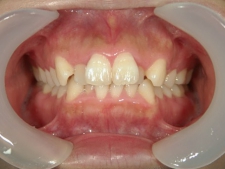
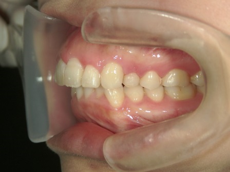
矯正歯科 治療前矯正歯科 治療前

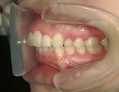
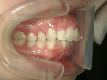
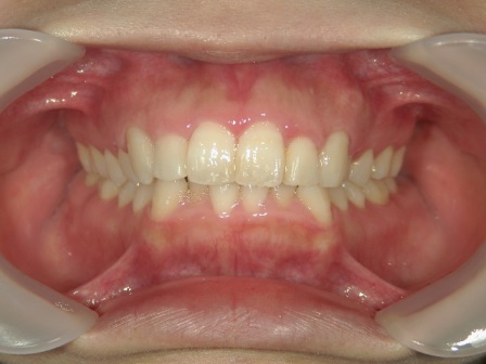
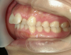
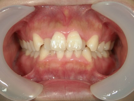
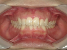
矯正歯科 治療後矯正歯科 プチワイヤー矯正 治療後矯正歯科(プチワイヤー矯正)治療後

プチワイヤー矯正 症例(13)

28歳女性 浜松市西区在住
治療期間 7カ月

矯正歯科 治療前 
矯正_灰色.pngno.31_9028_治療前_上.JPG矯正_灰色.png

no.31_9028_治療前_右.JPGno.31_9028_治療前_正面.JPGno.31_9028_治療前_左.JPG

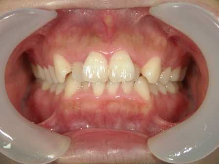
矯正歯科 治療後 
矯正_灰色.pngno.31_9028_治療後_上.JPG矯正_灰色.png

no.31_9028_治療後_右.JPGno.31_9028_治療後_正面.JPGno.31_9028_治療後_左.JPG