プチ矯正治療例14 of 浜松市 矯正審美歯科センター

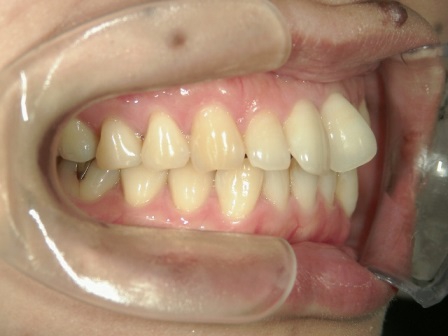
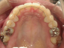
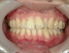
矯正歯科 治療前矯正歯科 治療前

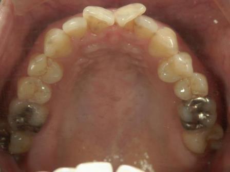
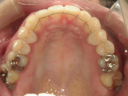
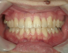
矯正歯科 治療後矯正歯科 プチワイヤー矯正 治療後矯正歯科(プチワイヤー矯正)治療後

プチワイヤー矯正 症例(14)

34歳女性 袋井市在住
治療期間 9カ月

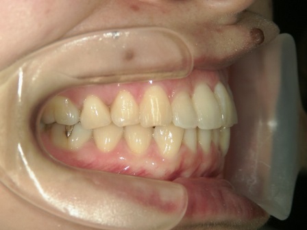
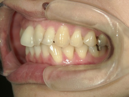
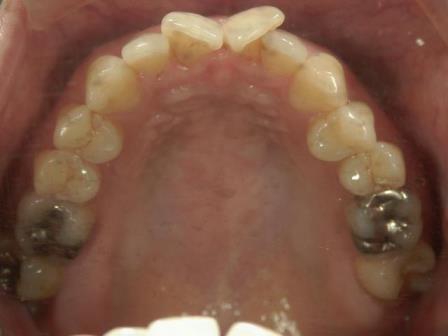
矯正歯科 治療前 
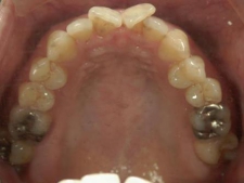
矯正_灰色.pngno.33_8991_治療前_上.JPG矯正_灰色.png

no.33_8991_治療前_右.JPGno.33_8991_治療前_正面.JPGno.33_8991_治療前_左.JPG

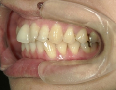
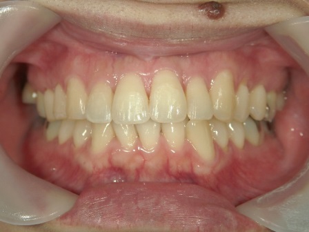
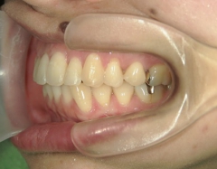
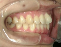
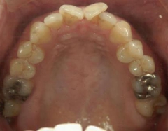
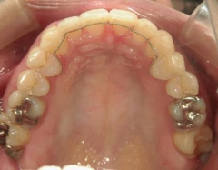
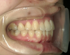
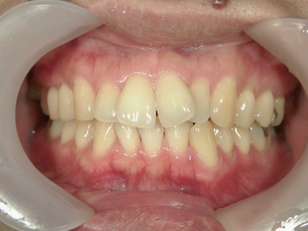
矯正歯科 治療後 
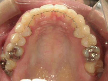
矯正_灰色.pngno.33_8991_治療後_上.JPG矯正_灰色.png

no.33_8991_治療後_右.JPGno.33_8991_治療後_正面.JPGno.33_8991_治療後_左.JPG