プチ矯正治療例15 of 浜松市 矯正審美歯科センター

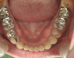
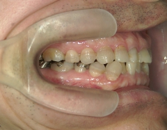
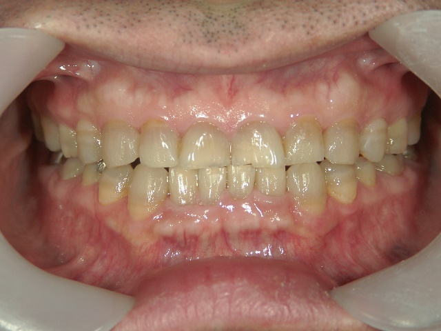
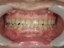
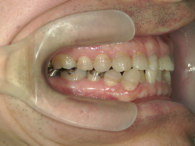
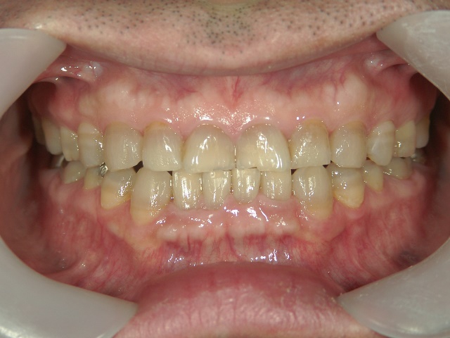
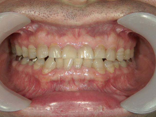
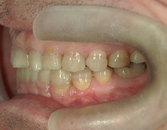
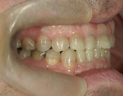
矯正歯科 治療前矯正歯科 治療前

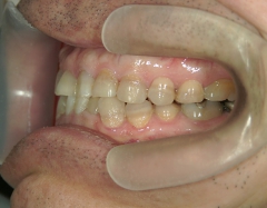
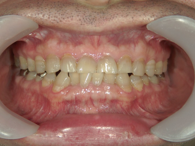
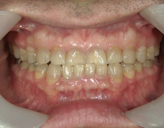
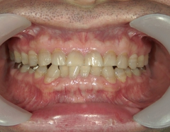
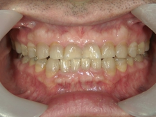
矯正歯科 治療後矯正歯科 プチワイヤー矯正 治療後矯正歯科(プチワイヤー矯正)治療後

プチワイヤー矯正 症例(15)

49歳男性 浜松市浜北区在住
治療期間 11カ月
主訴:下顎の歯並びが原因で、舌先端に隆起物ができた為

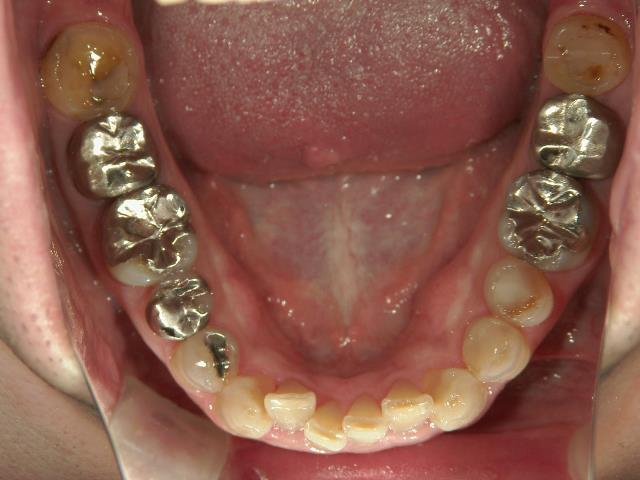
矯正歯科 治療前 
3538_治療前_右.JPG3538_治療前_正面.JPG3538_治療前_左.JPG

矯正_灰色.png3538_治療前_下.JPG矯正_灰色.png

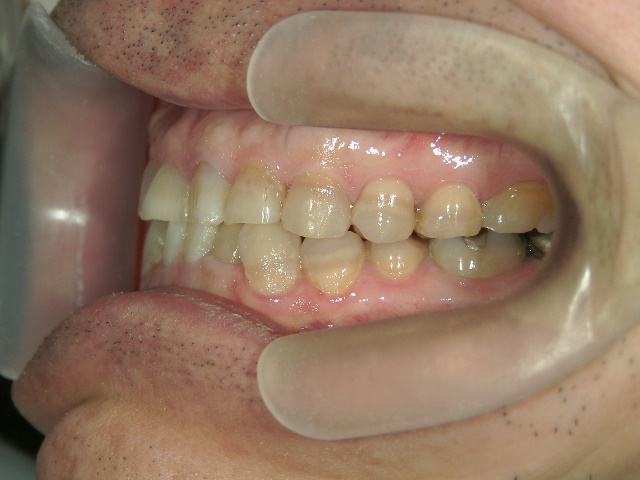
矯正歯科 治療後 
3538_治療後_右.JPG3538_治療後_正面.JPG3538_治療後_左.JPG

矯正_灰色.png3538_治療後_下.JPG矯正_灰色.png