プチ矯正治療例16 of 浜松市 矯正審美歯科センター

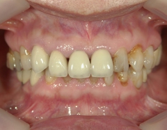
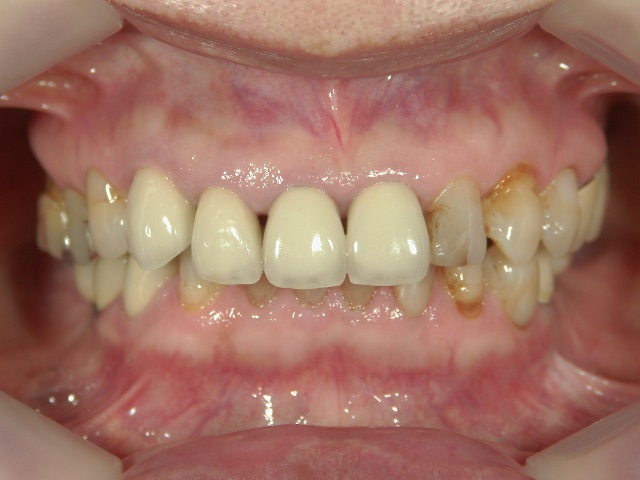
矯正歯科 治療前矯正歯科 治療前

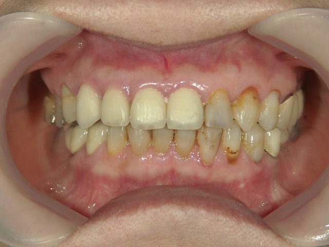
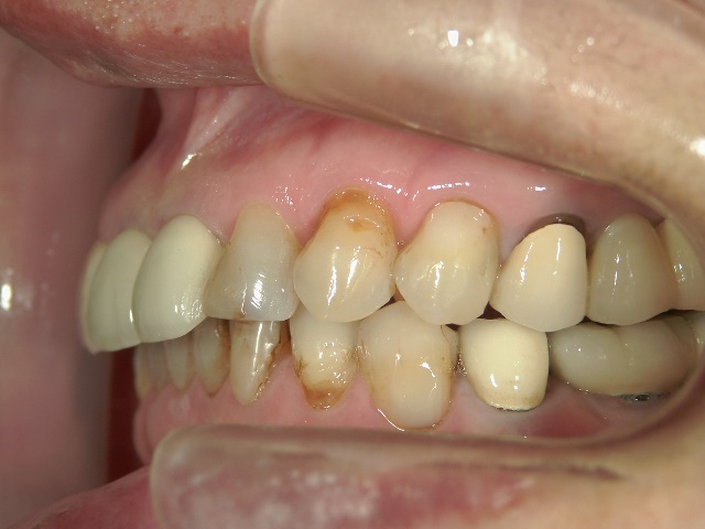
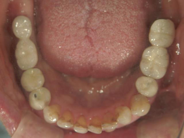
矯正歯科 治療後矯正歯科 プチワイヤー矯正 治療後矯正歯科(プチワイヤー矯正)治療後

プチワイヤー矯正 症例(16

67歳女性 浜松市中区在住
治療期間 1年1カ月
主訴:前歯の噛み合わせが深い

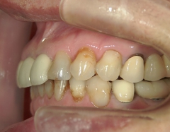
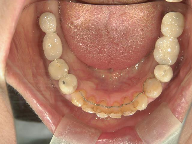
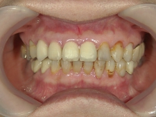
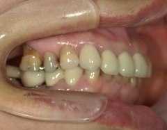
矯正歯科 治療前 
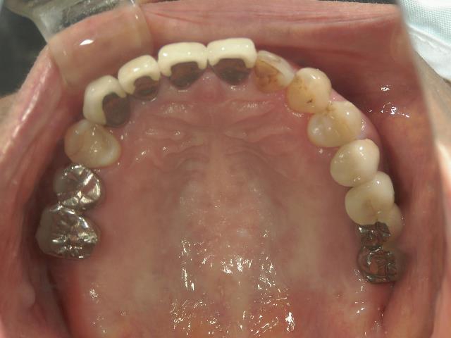
矯正_灰色.png3983_治療前_上.JPG矯正_灰色.png

3983_治療前_右.JPG3983_治療前_正面.JPG3983_治療前_左.JPG

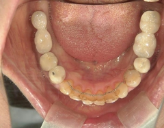
矯正_灰色.png3983_治療前_下s.JPG矯正_灰色.png

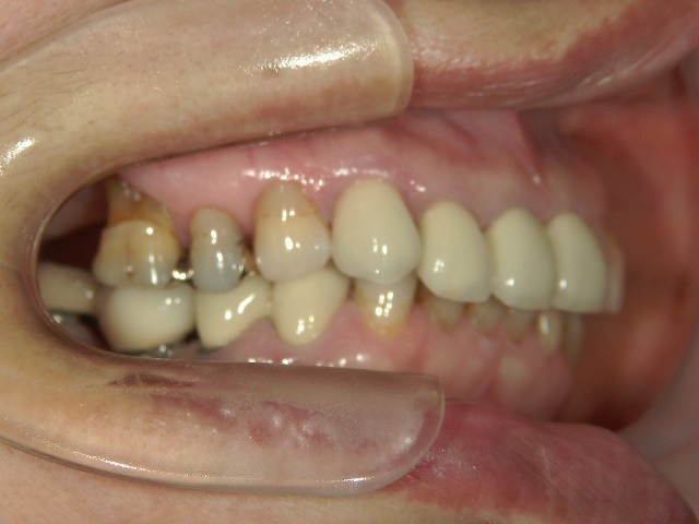
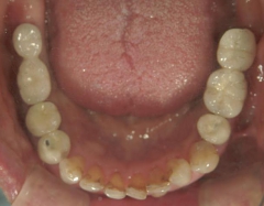
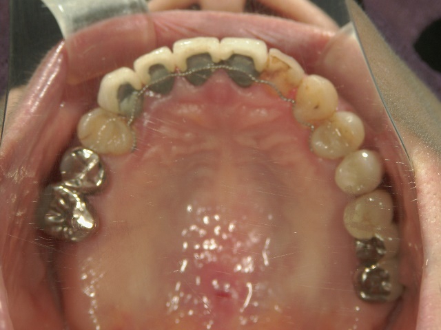
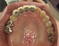
矯正歯科 治療後 前歯を圧下し、ディープバイトを改善
矯正_灰色.png3983_治療後_上.JPG矯正_灰色.png

3983_治療後_右.JPG3983_治療後_正面.JPG3983_治療後_左.JPG

矯正_灰色.png3983_治療後_下.JPG矯正_灰色.png