プチ矯正治療例17 of 浜松市 矯正審美歯科センター

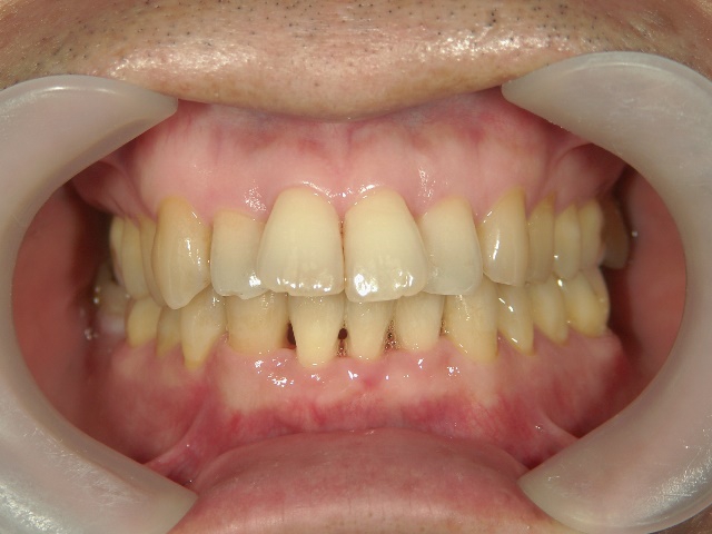
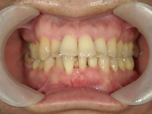
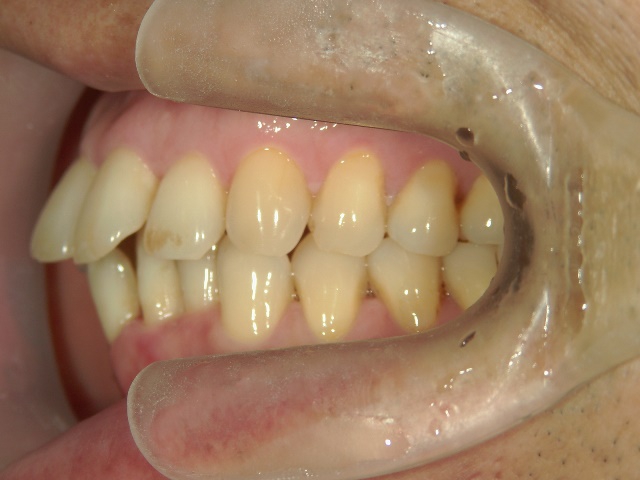
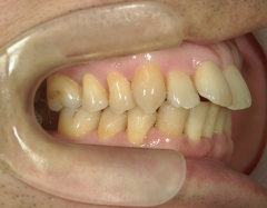
矯正歯科 治療前矯正歯科 治療前

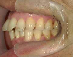
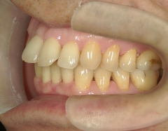
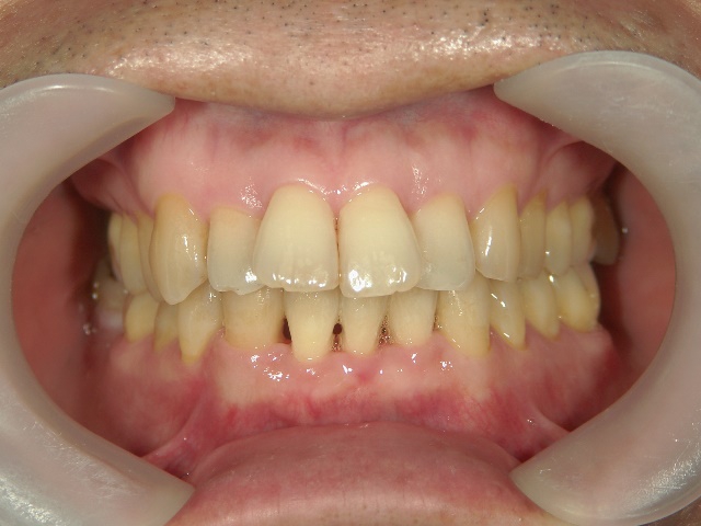
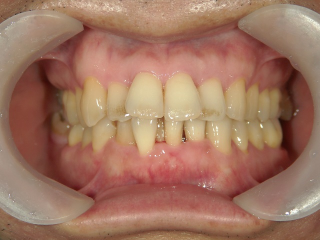
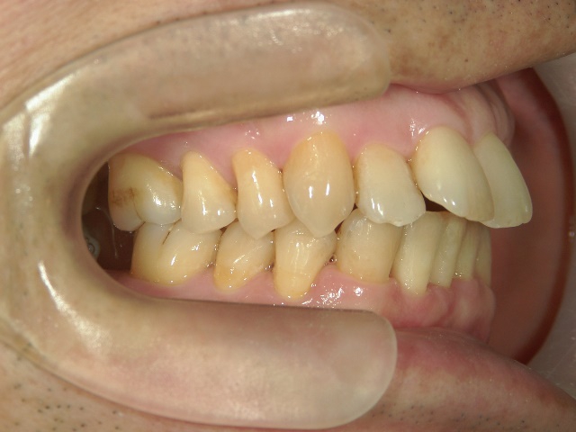
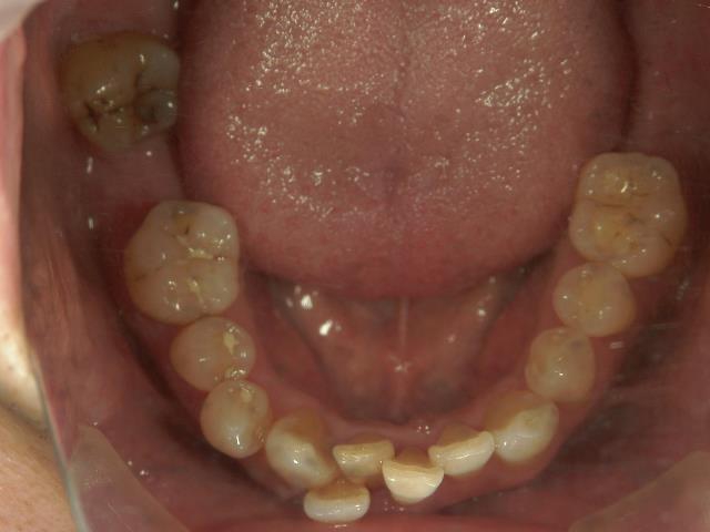
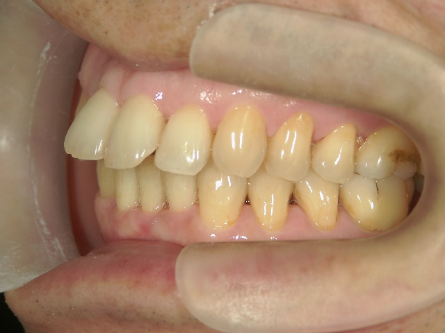
矯正歯科 治療後矯正歯科 プチワイヤー矯正 治療後矯正歯科(プチワイヤー矯正)治療後

プチワイヤー矯正 症例(17)

42歳男性 浜松市中区在住
治療期間 1年
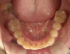
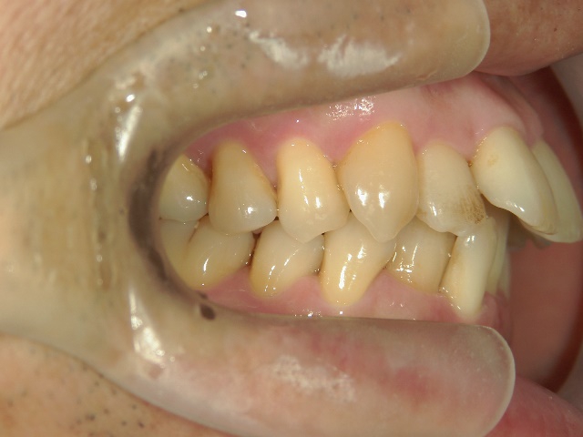
主訴:下顎前歯がでこぼこしている。1本グラグラしているのも気になる。

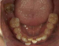
矯正歯科 治療前 
6045_治療前_右.JPG6045_治療前_正面.JPG6045_治療前_左.JPG

矯正_灰色.png6045_治療前_下.JPG矯正_灰色.png

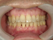
矯正歯科 治療後 左下1番 歯周病のため抜歯
6045_治療後_右.JPG6045_治療後_正面.JPG6045_治療後_左.JPG

矯正_灰色.png6045_治療後_下.JPG矯正_灰色.png