プチ矯正治療例18 of 浜松市 矯正審美歯科センター

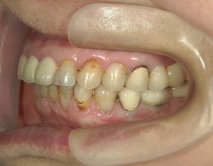
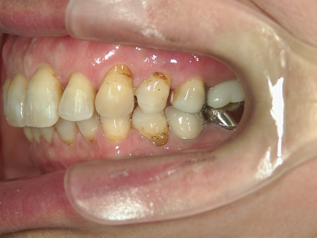
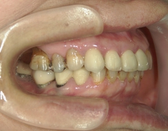
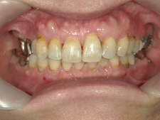
矯正歯科 治療前矯正歯科 治療前

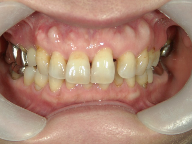
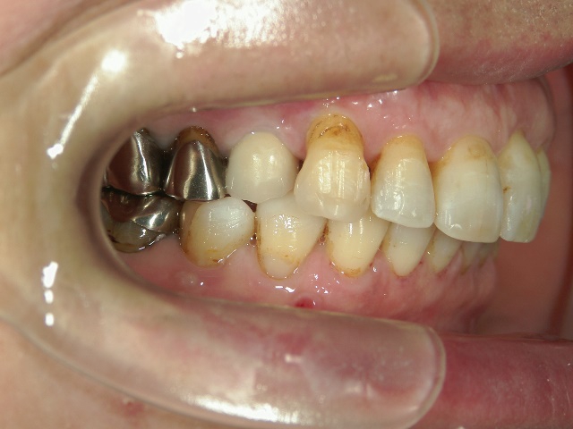
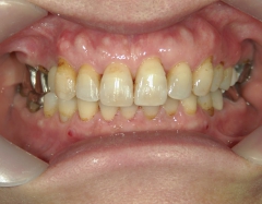
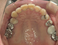
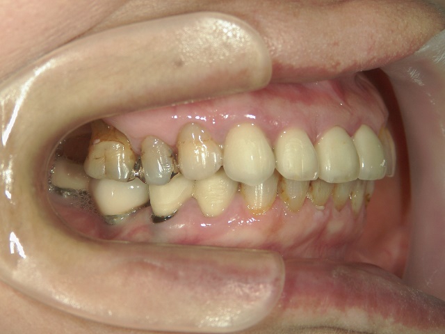
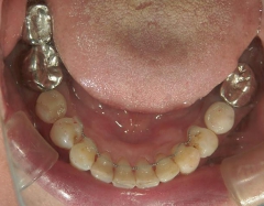
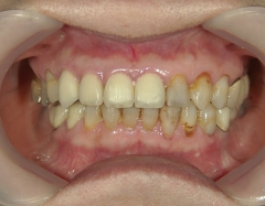
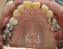
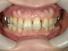
矯正歯科 治療後矯正歯科 プチワイヤー矯正 治療後矯正歯科(プチワイヤー矯正)治療後

プチワイヤー矯正 症例(18

65歳女性 浜松市浜北区在住
治療期間 1年7カ月

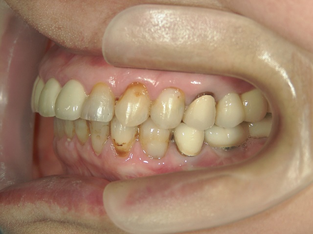
矯正歯科 治療前 
矯正_灰色.png5725_治療前_上.jpg矯正_灰色.png

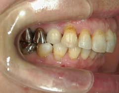
5725_治療後_左.jpg5725_治療後_正面.jpg5725_治療後_右.jpg

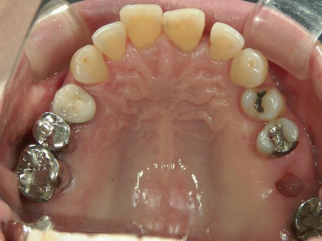
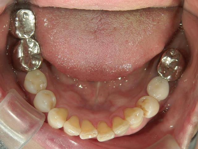
矯正_灰色.png5725_治療前_下.jpg矯正_灰色.png

矯正歯科 治療後 前歯を圧下し、ディープバイトを改善
矯正_灰色.png5725_治療後_上.jpg矯正_灰色.png

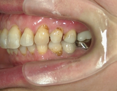
3983_治療後_右.JPG3983_治療後_正面.JPG3983_治療後_左.JPG

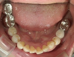
矯正_灰色.png5725_治療後_下.jpg矯正_灰色.png