プチ矯正治療例19 of 浜松市 矯正審美歯科センター

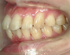
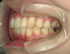
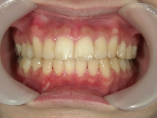
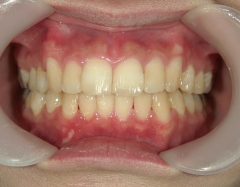
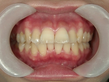
矯正歯科 治療前矯正歯科 治療前

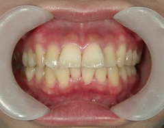
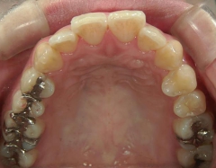
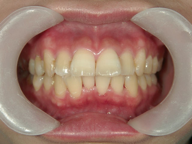
矯正歯科 治療後矯正歯科 プチワイヤー矯正 治療後矯正歯科(プチワイヤー矯正)治療後

プチワイヤー矯正 症例(19

23歳女性 磐田市在住
治療期間 1年7カ月

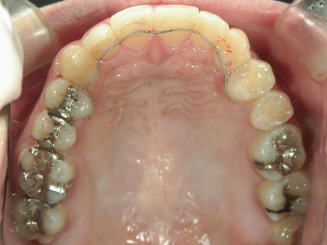
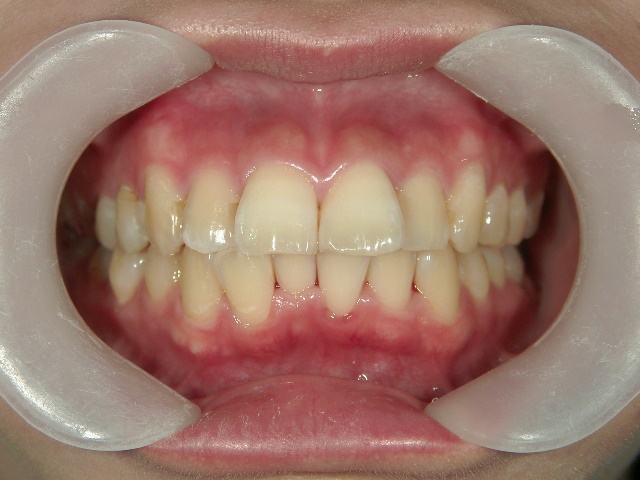
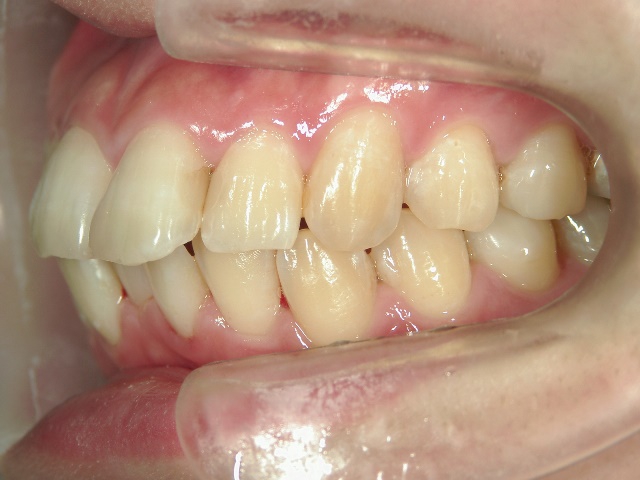
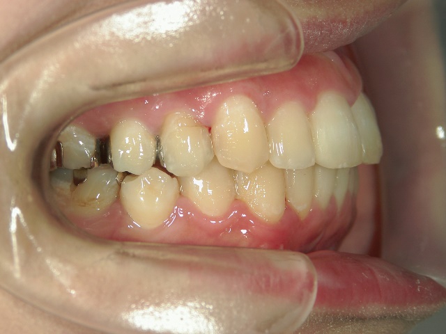
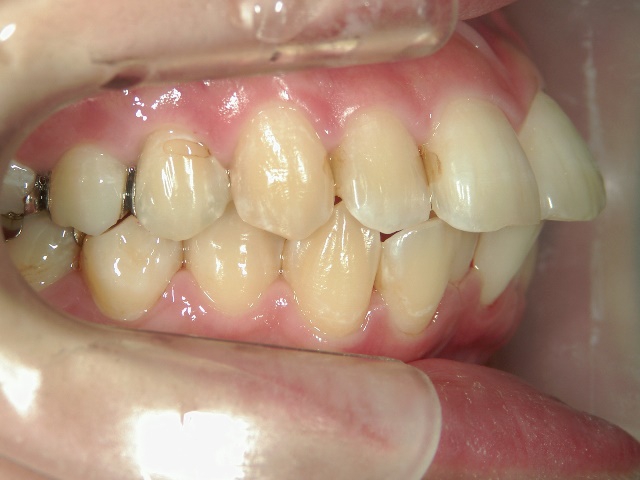
矯正歯科 治療前 
矯正_灰色.pngno.15_8317_治療前_上.jpg矯正_灰色.png

no.15_8317_治療前_右.jpgno.15_8317_治療前_正面.jpgno.15_8317_治療前_左.jpg

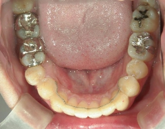
矯正_灰色.pngno.15_8317_治療前_下.jpg矯正_灰色.png

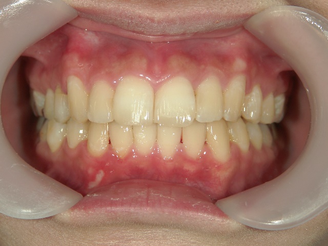
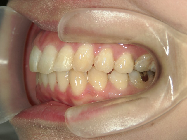
矯正歯科 治療後 
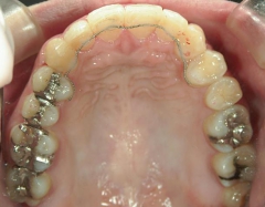
矯正_灰色.pngno.15_8317_治療後_上.jpg矯正_灰色.png

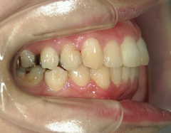
no.15_8317_治療後_右.jpgno.15_8317_治療後_正面.jpgno.15_8317_治療後_左.jpg

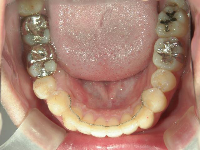
矯正_灰色.pngno.15_8317_治療後_下.jpg矯正_灰色.png